Cell Signaling Technology Logo - Extra Large

Phospho-ATR (Ser428) Antibody #2853

Filter:
  • WB

    Product Specifications

    REACTIVITY H M R Mk
    SENSITIVITY Endogenous
    MW (kDa) 300
    SOURCE Rabbit
    Application Key:
    • WB-Western Blotting 
    Species Cross-Reactivity Key:
    • H-Human 
    • M-Mouse 
    • R-Rat 
    • Mk-Monkey 

    Product Information

    Product Usage Information

    Application Dilution
    Western Blotting 1:1000

    Storage

    Supplied in 10 mM sodium HEPES (pH 7.5), 150 mM NaCl, 100 µg/ml BSA and 50% glycerol. Store at –20°C. Do not aliquot the antibody.

    实验步骤

    Specificity / Sensitivity

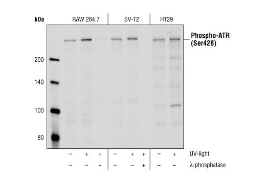
    Phospho-ATR (Ser428) Antibody detects endogenous levels of ATR only when phosphorylated at serine 428.

    Species Reactivity:

    Human, Mouse, Rat, Monkey

    Source / Purification

    Polyclonal antibodies are produced by immunizing animals with a synthetic peptide corresponding to residues surrounding Ser428 of human ATR. Antibodies are purified by protein A and peptide affinity chromatography.

    Background

    Ataxia telangiectasia mutated kinase (ATM) and ataxia telangiectasia and Rad3-related kinase (ATR) are PI3 kinase-related kinase (PIKK) family members that phosphorylate multiple substrates on serine or threonine residues that are followed by a glutamine in response to DNA damage or replication blocks (1-3). Despite the essential role of ATR in cell cycle signaling and DNA repair processes, little is known about its activation. ATR was long thought to exist in a constitutively active state in cells, with DNA damage-induced signaling occurring via recruitment of ATR to single stranded DNA and sites of replication stress. Phosphorylation of ATR at serine 428 in response to UV-induced DNA damage has been suggested as a means of activating ATR (4,5). Recent work has shown autophosphorylation of ATR at threonine 1989. Like ATM Ser1981, phosphorylation of ATR Thr1989 occurs in response to DNA damage, indicating that phosphorylation at this site is important in ATR-mediated signaling (6,7).

    Alternate Names

    ataxia telangiectasia and Rad3 related; Ataxia telangiectasia and Rad3-related protein; ATR; ATR serine/threonine kinase; FCTCS; FRAP-related protein 1; FRAP-related protein-1; FRP1; MEC1; MEC1, mitosis entry checkpoint 1, homolog; protein kinase ATR; Rad3 related protein; SCKL; SCKL1; Serine/threonine-protein kinase ATR

    For Research Use Only. Not for Use in Diagnostic Procedures.
    Cell Signaling Technology is a trademark of Cell Signaling Technology, Inc.
    All other trademarks are the property of their respective owners. Visit our Trademark Information page.