Render Target: STATIC
Render Timestamp:
5/28/2026, 7:50:43 PM EDT
5/28/2026, 11:50:43 PM UTC
Commit: 7ed46ecc04b401f23a28df741b5078df405d23e4
XML generation date: 2025-11-13 17:58:18.983
Product last modified at: 2026-03-20T08:11:29.691Z
Cell Signaling Technology Logo - Extra Large
1% for the planet logo
PDP - Template Name: Polyclonal Antibody
PDP - Template ID: *******59c6464

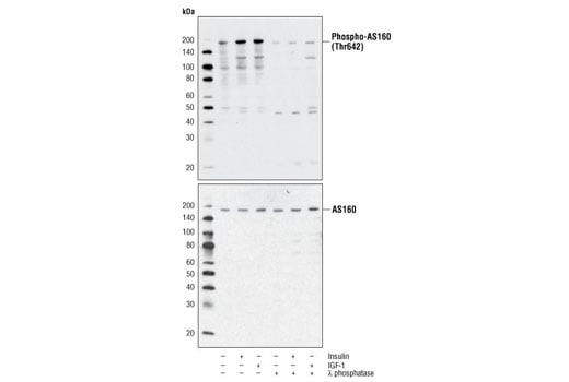
Phospho-AS160 (Thr642) Antibody #4288

Filter:
  • WB

    Product Specifications

    REACTIVITY H
    SENSITIVITY Endogenous
    MW (kDa) 160
    SOURCE Rabbit
    Application Key:
    • WB-Western Blotting 
    Species Cross-Reactivity Key:
    • H-Human 

    Product Information

    Product Usage Information

    Application Dilution
    Western Blotting 1:1000

    Storage

    Supplied in 10 mM sodium HEPES (pH 7.5), 150 mM NaCl, 100 µg/ml BSA and 50% glycerol. Store at –20°C. Do not aliquot the antibody.

    实验步骤

    Specificity / Sensitivity

    Phospho-AS160 (Thr642) Antibody detects endogenous levels of AS160 protein only when phosphorylated at Thr642.

    Species Reactivity:

    Human

    The antigen sequence used to produce this antibody shares 100% sequence homology with the species listed here, but reactivity has not been tested or confirmed to work by CST. Use of this product with these species is not covered under our Product Performance Guarantee.

    Species predicted to react based on 100% sequence homology:

    Mouse, Rat

    Source / Purification

    Polyclonal antibodies are produced by immunizing animals with a synthetic peptide corresponding to the sequence around Thr642 of human AS160. Antibodies are purified by protein A and peptide affinity chromatography.

    Background

    Insulin is a major hormone controlling critical energy functions, such as glucose and lipid metabolism. Insulin binds to and activates the insulin receptor (IR) tyrosine kinase, which phosphorylates and recruits adaptor proteins. The signaling pathway initiated by insulin and its receptor stimulates glucose uptake in muscle cells and adipocytes through translocation of the Glut4 glucose transporter from the cytoplasm to the plasma membrane (1). A 160 kDa substrate of the Akt Ser/Thr kinase (AS160, TBC1D4) is a Rab GTPase-activating protein that regulates insulin-stimulated Glut4 trafficking. AS160 is expressed in many tissues including brain, kidney, liver, and brown and white fat (2). Multiple Akt phosphorylation sites have been identified on AS160 in vivo, with five sites (Ser318, Ser570, Ser588, Thr642, and Thr751) showing increased phosphorylation following insulin treatment (2,3). Studies using recombinant AS160 demonstrate that insulin-stimulated phosphorylation of AS160 is a crucial step in Glut4 translocation (3) and is reduced in some patients with type 2 diabetes (4). The interaction of 14-3-3 regulatory proteins with AS160 phosphorylated at Thr642 is a necessary step for Glut4 translocation (5). Phosphorylation of AS160 by AMPK is involved in the regulation of contraction-stimulated Glut4 translocation (6).

    Alternate Names

    Acrg embryonic lethality minimal region ortholog; Akt substrate of 160 kDa; AS160; DKFZp779C0666; KIAA0603; NIDDM5; TBC (Tre-2, BUB2, CDC16) domain-containing protein; TBC1 domain family member 4; TBC1 domain family, member 4; TBC1D4; TBCD4

    For Research Use Only. Not for Use in Diagnostic Procedures.
    Cell Signaling Technology is a trademark of Cell Signaling Technology, Inc.
    All other trademarks are the property of their respective owners. Visit our Trademark Information page.