Cell Signaling Technology Logo - Extra Large
Trial Size Available Flag
Recombinant Flag
Recombinant: Superior lot-to-lot consistency, continuous supply, and animal-free manufacturing.

Phospho-alpha-Adducin (Ser12) (E5X8Y) Rabbit Monoclonal Antibody #84214

Filter:
  • WB
  • IP

    Product Specifications

    REACTIVITY H
    SENSITIVITY Endogenous
    MW (kDa) 120
    Source/Isotype Rabbit IgG
    Application Key:
    • WB-Western Blotting 
    • IP-Immunoprecipitation 
    Species Cross-Reactivity Key:
    • H-Human 

    Product Information

    Product Usage Information

    Application Dilution
    Western Blotting 1:1000
    Immunoprecipitation 1:100

    Storage

    Supplied in 10 mM sodium HEPES (pH 7.5), 150 mM NaCl, 100 µg/ml BSA, 50% glycerol and less than 0.02% sodium azide. Store at –20°C. Do not aliquot the antibody.

    实验步骤

    Specificity / Sensitivity

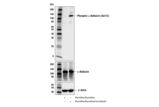
    Phospho-alpha-Adducin (Ser12) (E5X8Y) Rabbit Monoclonal Antibody recognizes endogenous levels of α-adducin protein only when phosphorylated at Ser12. In some cell lines, this antibody cross-reacts with a 150 kDa band of unknown origin. This band appears to be upregulated in mitosis.

    Species Reactivity:

    Human

    The antigen sequence used to produce this antibody shares 100% sequence homology with the species listed here, but reactivity has not been tested or confirmed to work by CST. Use of this product with these species is not covered under our Product Performance Guarantee.

    Species predicted to react based on 100% sequence homology:

    Mouse, Rat

    Source / Purification

    Monoclonal antibody is produced by immunizing animals with a synthetic peptide corresponding to residues surrounding Ser12 of human α-adducin protein.

    Background

    The adducins (ADD) are cytoskeleton-associated proteins that help cap the ends of actin filaments, promote association between spectrin and actin, and participate in synapse assembly. The three closely related genes ADD1, ADD2, and ADD3 encode the α-adducin, β-adducin, and γ-adducin proteins (1). Research studies indicate that β-adducin is found at high levels in brain and hematopoietic tissues, whereas both α-adducin and γ-adducin are ubiquitously expressed (2). Adducin protein function is regulated by phosphorylation at a number of sites. Both PKA and PKC can phosphorylate α-adducin at Ser726 and β-adducin at Ser713, which inhibits calmodulin binding and adducin activity (3-5). Additionally, PKA (but not PKC) can phosphorylate β-adducin at Ser408, Ser436, and Ser481, which negatively affects spectrin-actin interactions (3). Phosphorylation of α-adducin at Thr445 and Thr480 by Rho-kinase regulates cell motility and membrane ruffling (6). Finally, CDK-1 phosphorylation of α-adducin at Ser12 and Ser355 during mitosis leads to association of α-adducin with the mitotic spindle, suggesting that α-adducin may play a role in mitotic regulation (7). Because α-adducin plays a role in regulating renal sodium reabsorption, it is not surprising that a number of studies show a relationship between ADD1 genetic polymorphisms and the development of hypertension (8-10).

    Alternate Names

    ADD1; ADDA; adducin 1; adducin 1 (alpha); Alpha-adducin; erythrocyte adducin alpha subunit; Erythrocyte adducin subunit alpha; MGC3339; MGC44427

    For Research Use Only. Not for Use in Diagnostic Procedures.
    Cell Signaling Technology is a trademark of Cell Signaling Technology, Inc.
    All other trademarks are the property of their respective owners. Visit our Trademark Information page.