Cell Signaling Technology Logo - Extra Large
Trial Size Available Flag
Recombinant Flag
Recombinant: Superior lot-to-lot consistency, continuous supply, and animal-free manufacturing.

Phospho-14-3-3 zeta/delta (Ser58)/eta (Ser59)/gamma (Ser59)/beta/alpha (Ser60) (E6B3G) Rabbit Monoclonal Antibody #52631

Filter:
  • WB

    Product Specifications

    REACTIVITY H M R
    SENSITIVITY Endogenous
    MW (kDa) 28
    Source/Isotype Rabbit IgG
    Application Key:
    • WB-Western Blotting 
    Species Cross-Reactivity Key:
    • H-Human 
    • M-Mouse 
    • R-Rat 

    Product Information

    Product Usage Information

    Application Dilution
    Western Blotting 1:1000

    Storage

    Supplied in 10 mM sodium HEPES (pH 7.5), 150 mM NaCl, 100 µg/ml BSA, 50% glycerol and less than 0.02% sodium azide. Store at –20°C. Do not aliquot the antibody.

    实验步骤

    Specificity / Sensitivity

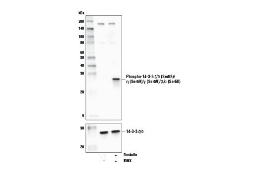
    Phospho-14-3-3 zeta/delta (Ser58)/eta (Ser59)/gamma (Ser59)/beta/alpha (Ser60) (E6B3G) Rabbit Monoclonal Antibody detects endogenous levels of 14-3-3 ζ/δ only when phosphorylated at Ser58, 14-3-3 η and 14-3-3 γ only when phosphorylated at Ser59, and 14-3-3 α/β only when phosphorylated at Ser60. This antibody does not cross-react with 14-3-3 ε, 14-3-3 θ, or 14-3-3 σ. This antibody also recognizes a non-specific band of unknown origin at 80 kDa and 180 kDa.

    Species Reactivity:

    Human, Mouse, Rat

    The antigen sequence used to produce this antibody shares 100% sequence homology with the species listed here, but reactivity has not been tested or confirmed to work by CST. Use of this product with these species is not covered under our Product Performance Guarantee.

    Species predicted to react based on 100% sequence homology:

    Monkey, Chicken, Bovine, Pig

    Source / Purification

    Monoclonal antibody is produced by immunizing animals with a synthetic phosphopeptide corresponding to residues surrounding Ser58 of human 14-3-3 ζ/δ protein.

    Background

    The 14-3-3 family of proteins plays a key regulatory role in signal transduction, checkpoint control, apoptotic and nutrient-sensing pathways (1,2). 14-3-3 proteins are highly conserved and ubiquitously expressed. There are at least seven isoforms, β, γ, ε, σ, ζ, τ, and η that have been identified in mammals. The initially described α and δ isoforms are confirmed to be phosphorylated forms of β and ζ, respectively (3). Through their amino-terminal α helical region, 14-3-3 proteins form homo- or heterodimers that interact with a wide variety of proteins: transcription factors, metabolic enzymes, cytoskeletal proteins, kinases, phosphatases, and other signaling molecules (3,4). The interaction of 14-3-3 proteins with their targets is primarily through a phospho-Ser/Thr motif. However, binding to divergent phospho-Ser/Thr motifs, as well as phosphorylation independent interactions has been observed (4). 14-3-3 binding masks specific sequences of the target protein, and therefore, modulates target protein localization, phosphorylation state, stability, and molecular interactions (1-4). 14-3-3 proteins may also induce target protein conformational changes that modify target protein function (4,5). Distinct temporal and spatial expression patterns of 14-3-3 isoforms have been observed in development and in acute response to extracellular signals and drugs, suggesting that 14-3-3 isoforms may perform different functions despite their sequence similarities (4). Several studies suggest that 14-3-3 isoforms are differentially regulated in cancer and neurological syndromes (2,3).
    Phosphorylation of 14-3-3ζ at Ser58 may regulate dimerization and affect its ability to interact with partner proteins, including p53 and ASK1 (6,7).

    Alternate Names

    14-3-3 alpha; 14-3-3 beta; 14-3-3 delta; 14-3-3 eta; 14-3-3 gamma; 14-3-3 protein beta/alpha; 14-3-3 protein beta/alpha, N-terminally processed; 14-3-3 protein eta; 14-3-3 protein gamma; 14-3-3 protein gamma, N-terminally processed; 14-3-3 protein zeta/delta; 14-3-3 protein/cytosolic phospholipase A2; 14-3-3 zeta; 14-3-3-zeta; 14-3-3GAMMA; 1433B; 1433F; 1433G; 1433Z; brain protein 14-3-3, beta isoform; EIEE56; epididymis luminal protein 4; epididymis secretory protein Li 1; epididymis secretory protein Li 3; epididymis secretory protein Li 93; GW128; HEL-S-1; HEL-S-3; HEL-S-93; HEL4; HS1; KCIP-1; MGC111427; MGC126532; MGC138156; phospholipase A2; POPCHAS; PPP1R170; Protein 1054; Protein AS1; Protein kinase C inhibitor protein 1; protein kinase C inhibitor protein-1; protein phosphatase 1, regulatory subunit 170; tyrosine 3-monooxygenase/tryptophan 5-monooxygenase activation protein beta; tyrosine 3-monooxygenase/tryptophan 5-monooxygenase activation protein eta; tyrosine 3-monooxygenase/tryptophan 5-monooxygenase activation protein gamma; tyrosine 3-monooxygenase/tryptophan 5-monooxygenase activation protein zeta; tyrosine 3-monooxygenase/tryptophan 5-monooxygenase activation protein, alpha polypeptide; tyrosine 3-monooxygenase/tryptophan 5-monooxygenase activation protein, beta polypeptide; tyrosine 3-monooxygenase/tryptophan 5-monooxygenase activation protein, delta polypeptide; tyrosine 3-monooxygenase/tryptophan 5-monooxygenase activation protein, eta polypeptide; tyrosine 3-monooxygenase/tryptophan 5-monooxygenase activation protein, gamma polypeptide; tyrosine 3-monooxygenase/tryptophan 5-monooxygenase activation protein, zeta polypeptide; tyrosine 3/tryptophan 5 -monooxygenase activation protein, zeta polypeptide; YWHA1; YWHAA; YWHAB; YWHAD; YWHAG; YWHAH; YWHAZ

    For Research Use Only. Not for Use in Diagnostic Procedures.
    Cell Signaling Technology is a trademark of Cell Signaling Technology, Inc.
    All other trademarks are the property of their respective owners. Visit our Trademark Information page.