Recombinant: Superior lot-to-lot consistency, continuous supply, and animal-free manufacturing.
PAX9 (D9F1N) Rabbit Monoclonal Antibody #12847
Filter:
- WB
Product Specifications
| REACTIVITY | H M R |
| SENSITIVITY | Endogenous |
| MW (kDa) | 38 |
| Source/Isotype | Rabbit IgG |
Application Key:
- WB-Western Blotting
Species Cross-Reactivity Key:
- H-Human
- M-Mouse
- R-Rat
Product Information
Product Usage Information
| Application | Dilution |
|---|---|
| Western Blotting | 1:1000 |
Storage
Supplied in 10 mM sodium HEPES (pH 7.5), 150 mM NaCl, 100 µg/ml BSA, 50% glycerol and less than 0.02% sodium azide. Store at –20°C. Do not aliquot the antibody.
实验步骤
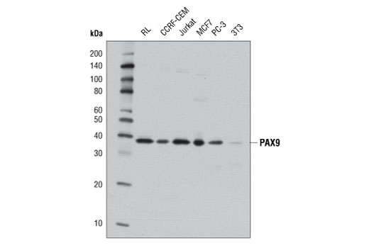
Specificity / Sensitivity
PAX9 (D9F1N) Rabbit Monoclonal Antibody recognizes endogenous levels of total PAX9 protein.
Species Reactivity:
Human, Mouse, Rat
The antigen sequence used to produce this antibody shares 100% sequence homology with the species listed here, but reactivity has not been tested or confirmed to work by CST. Use of this product with these species is not covered under our Product Performance Guarantee.
Species predicted to react based on 100% sequence homology:
Monkey
Source / Purification
Monoclonal antibody is produced by immunizing animals with a synthetic peptide corresponding to residues surrounding Asp141 of human PAX9 protein.
Background
Paired box (PAX) proteins are a family of transcription factors that play important and diverse roles in animal development (1). Nine PAX proteins (PAX1-9) have been described in humans and other mammals. They are defined by the presence of an amino-terminal "paired" domain, consisting of two helix-turn-helix motifs, with DNA binding activity (2). PAX proteins are classified into four structurally distinct subgroups (I-IV) based on the absence or presence of a carboxy-terminal homeodomain and a central octapeptide region. Subgroup I (PAX1 and 9) contains the octapeptide but lacks the homeodomain; subgroup II (PAX2, 5, and 8) contains the octapeptide and a truncated homeodomain; subgroup III (PAX3 and 7) contains the octapeptide and a complete homeodomain; and subgroup IV (PAX4 and 6) contains a complete homeodomain but lacks the octapeptide region (2). PAX proteins play critically important roles in development by regulating transcriptional networks responsible for embryonic patterning and organogenesis (3); a subset of PAX proteins also maintain functional importance during postnatal development (4). Research studies have implicated genetic mutations that result in aberrant expression of PAX genes in a number of cancer subtypes (1-3), with members of subgroups II and III identified as potential mediators of tumor progression (2).
PAX9 is expressed in pharyngeal arch mesenchyme (5,6), and is essential for embryonic development of the teeth and other pharyngeal arch derivatives (5,7). In mice, deletion of PAX9 results in an absence of structures derived from the pharyngeal pouches (e.g. thymus, parathyroid glands) (5), while in humans, PAX9 mutations are frequently associated with congenital tooth agenesis syndromes such as oligodontia and hypodontia (8,9). PAX9 appears to interact with other transcription factors (e.g. MSX1) to regulate the expression of BMP-family proteins (e.g. BMP4) that orchestrate pharyngeal arch development (10,11). Increased expression of PAX9, resulting from amplification at the PAX9 locus, has also been linked in research studies to an increased incidence of lung cancer (12).
PAX9 is expressed in pharyngeal arch mesenchyme (5,6), and is essential for embryonic development of the teeth and other pharyngeal arch derivatives (5,7). In mice, deletion of PAX9 results in an absence of structures derived from the pharyngeal pouches (e.g. thymus, parathyroid glands) (5), while in humans, PAX9 mutations are frequently associated with congenital tooth agenesis syndromes such as oligodontia and hypodontia (8,9). PAX9 appears to interact with other transcription factors (e.g. MSX1) to regulate the expression of BMP-family proteins (e.g. BMP4) that orchestrate pharyngeal arch development (10,11). Increased expression of PAX9, resulting from amplification at the PAX9 locus, has also been linked in research studies to an increased incidence of lung cancer (12).
- Lang, D. et al. (2007) Biochem Pharmacol 73, 1-14.
- Robson, E.J. et al. (2006) Nat Rev Cancer 6, 52-62.
- Wang, Q. et al. (2008) J Cell Mol Med 12, 2281-94.
- Blake, J.A. et al. (2008) Dev Dyn 237, 2791-803.
- Peters, H. et al. (1998) Genes Dev 12, 2735-47.
- Peters, H. et al. (1998) Eur J Oral Sci 106 Suppl 1, 38-43.
- Hetzer-Egger, C. et al. (2002) Eur J Immunol 32, 1175-81.
- Bergendal, B. et al. (2011) Am J Med Genet A 155A, 1616-22.
- Suda, N. et al. (2011) J Dent Res 90, 382-6.
- Nakatomi, M. et al. (2010) Dev Biol 340, 438-49.
- Wang, Y. et al. (2011) J Dent Res 90, 311-6.
- Kendall, J. et al. (2007) Proc Natl Acad Sci U S A 104, 16663-8.
Alternate Names
paired box 9; Paired box protein Pax-9; paired domain gene 9; PAX9; STHAG3
限制使用
除非 CST 的合法授书代表以书面形式书行明确同意,否书以下条款适用于 CST、其关书方或分书商提供的书品。 任何书充本条款或与本条款不同的客书条款和条件,除非书 CST 的合法授书代表以书面形式书独接受, 否书均被拒书,并且无效。
专品专有“专供研究使用”的专专或专似的专专声明, 且未专得美国食品和专品管理局或其他外国或国内专管机专专专任何用途的批准、准专或专可。客专不得将任何专品用于任何专断或治专目的, 或以任何不符合专专声明的方式使用专品。CST 专售或专可的专品提供专作专最专用专的客专,且专用于研专用途。将专品用于专断、专防或治专目的, 或专专售(专独或作专专成)或其他商专目的而专专专品,均需要 CST 的专独专可。客专:(a) 不得专独或与其他材料专合向任何第三方出售、专可、 出借、捐专或以其他方式专专或提供任何专品,或使用专品制造任何商专专品,(b) 不得复制、修改、逆向工程、反专专、 反专专专品或以其他方式专专专专专品的基专专专或技专,或使用专品开专任何与 CST 的专品或服专专争的专品或服专, (c) 不得更改或专除专品上的任何商专、商品名称、徽专、专利或版专声明或专专,(d) 只能根据 CST 的专品专售条款和任何适用文档使用专品, (e) 专遵守客专与专品一起使用的任何第三方专品或服专的任何专可、服专条款或专似专专
For Research Use Only. Not for Use in Diagnostic Procedures.
Cell Signaling Technology is a trademark of Cell Signaling Technology, Inc.
All other trademarks are the property of their respective owners. Visit our
Trademark Information page.