Cell Signaling Technology Logo - Extra Large
Trial Size Available Flag
Recombinant Flag
Recombinant: Superior lot-to-lot consistency, continuous supply, and animal-free manufacturing.

PARP (46D11) Rabbit Monoclonal Antibody #9532

Filter:
  • WB
  • IP
  • eCLIP

    Product Specifications

    REACTIVITY H M R Mk
    SENSITIVITY Endogenous
    MW (kDa) 116, 89
    Source/Isotype Rabbit
    Application Key:
    • WB-Western Blotting 
    • IP-Immunoprecipitation 
    • eCLIP-eCLIP 
    Species Cross-Reactivity Key:
    • H-Human 
    • M-Mouse 
    • R-Rat 
    • Mk-Monkey 

    Product Information

    Product Usage Information

    Application Dilution
    Western Blotting 1:1000
    Simple Western™ 1:10 - 1:50
    Immunoprecipitation 1:200
    eCLIP 1:200
    For more information about the RBP-eCLIP service please visit Eclipsebio.

    Storage

    Supplied in 10 mM sodium HEPES (pH 7.5), 150 mM NaCl, 100 µg/ml BSA, 50% glycerol and less than 0.02% sodium azide. Store at –20°C. Do not aliquot the antibody.

    For a carrier free (BSA and azide free) version of this product see product #17245.

    实验步骤

    Specificity / Sensitivity

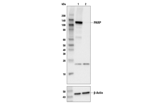
    PARP (46D11) Rabbit Monoclonal Antibody detects endogenous levels of total full-length PARP-1 and the large fragment (89 kDa) produced by caspase cleavage at Asp214. This antibody does not cross-react with PARP-2 and PARP-3.

    Species Reactivity:

    Human, Mouse, Rat, Monkey

    Source / Purification

    Monoclonal antibody is produced by immunizing animals with a synthetic peptide corresponding to residues surrounding Gly623 of human PARP-1.

    Background

    PARP, a 116 kDa nuclear poly (ADP-ribose) polymerase, appears to be involved in DNA repair in response to environmental stress (1). This protein can be cleaved by many ICE-like caspases in vitro (2,3) and is one of the main cleavage targets of caspase-3 in vivo (4,5). In human PARP, the cleavage occurs between Asp214 and Gly215, which separates the PARP amino-terminal DNA-binding domain (24 kDa) from the carboxy-terminal catalytic domain (89 kDa) (2,4). PARP helps cells to maintain their viability; cleavage of PARP facilitates cellular disassembly and serves as a marker of cells undergoing apoptosis (6).

    Alternate Names

    ADP-ribosyltransferase (NAD+); ADP-ribosyltransferase diphtheria toxin-like 1; ADP-ribosyltransferase NAD(+); ADPRT; ADPRT 1; ADPRT1; ARTD1; DNA ADP-ribosyltransferase PARP1; NAD(+) ADP-ribosyltransferase 1; pADPRT-1; PARP; PARP-1; PARP1; poly (ADP-ribose) polymerase; poly (ADP-ribose) polymerase 1; poly (ADP-ribose) polymerase family, member 1; Poly [ADP-ribose] polymerase 1; poly(ADP-ribose) polymerase; poly(ADP-ribose) polymerase 1; poly(ADP-ribose) synthetase; poly(ADP-ribosyl)transferase; Poly[ADP-ribose] synthase 1; PPOL; Protein poly-ADP-ribosyltransferase PARP1

    For Research Use Only. Not for Use in Diagnostic Procedures.
    Cell Signaling Technology is a trademark of Cell Signaling Technology, Inc.
    Alexa Fluor is a registered trademark of Life Technologies Corporation.
    All other trademarks are the property of their respective owners. Visit our Trademark Information page.