Cell Signaling Technology Logo - Extra Large
Trial Size Available Flag

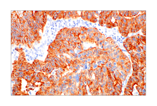
Pan-Keratin (AE1/AE3) Mouse Monoclonal Antibody #67306

Filter:
  • IHC
  • IF

    Product Specifications

    REACTIVITY H
    SENSITIVITY Endogenous
    MW (kDa)
    Source/Isotype Mouse IgG1
    Application Key:
    • IHC-Immunohistochemistry 
    • IF-Immunofluorescence 
    Species Cross-Reactivity Key:
    • H-Human 

    Product Information

    Product Usage Information

    Application Dilution
    IHC Leica Bond 1:400 - 1:1600
    Immunohistochemistry (Paraffin) 1:50 - 1:200
    Immunofluorescence (Immunocytochemistry) 1:100 - 1:400

    Storage

    Supplied in a PBS-based buffer with ~1% BSA and less than 0.1% sodium azide. Stable for 12 months when stored at 4°C. Do not aliquot the antibody.

    Note: This product is only available in the format listed above. We are unable to provide this in a carrier free, custom formulation.

    实验步骤

    Specificity / Sensitivity

    Pan-Keratin (AE1/AE3) Mouse Monoclonal Antibody recognizes endogenous levels of acidic and basic subfamilies of keratin proteins. The acidic keratins have molecular weights of 56.5, 55, 51, 50, 50, 48, 46, 45, and 40 kDa. The basic keratins have molecular weights of 65-67, 64, 59, 58, 56, and 52 kDa.

    Species Reactivity:

    Human

    Source / Purification

    Monoclonal antibody is produced by immunizing animals with a full-length protein to human epidermal keratins.

    Background

    Keratins (cytokeratins) are intermediate filament proteins that are mainly expressed in epithelial cells. Keratin heterodimers composed of an acidic keratin (or type I keratin, keratins K9-K28) and a basic keratin (or type II keratin, keratins K1-K8 and K71-K80) assemble to form filaments. Keratin isoforms demonstrate tissue- and differentiation-specific profiles that make them useful as research and clinical biomarkers (1,2).

    Dysregulation/mutations in keratin genes can lead to a variety of disorders affecting the skin, hair, nails, and other epithelial tissues (3). While expression of keratins can be variable, immunohistochemical staining of keratins is widely used to help in the identification and classification of epithelial tumors, and may also provide prognostic information.

    Keratins 8 and 18 (K8/K18) are expressed in simple epithelia of normal tissue, as well as in adenocarcinomas of the breast, lung, ovary, and gastrointestinal tract. Keratin 17 is expressed in basal keratinocytes of stratified epithelia, hair follicles, and sebaceous glands. Onset of keratin 17 expression coincides with the definition of major epithelial lineages during skin development (4). Keratin 14 (K14) is expressed in basal cells of stratified epithelia, and in basal-like subtypes of breast cancer and squamous cell carcinomas. Keratin 19 (K19) is expressed in glandular epithelia, including the liver, gallbladder, and pancreas, as well as in adenocarcinomas of the breast, thyroid, and bile duct. Keratin 20 (K20) is expressed in gastrointestinal epithelium, urothelium, and Merkel cells in the skin, as well as in colorectal carcinomas and some urothelial carcinomas. Keratin 5/6 (K5/6) is expressed in basal cells of stratified epithelia, including the skin, prostate, and breast, as well as in basal-like breast cancers, squamous cell carcinomas, and some lung carcinomas. Keratin 7 (K7) is expressed in glandular epithelia, such as those in the lung, breast, and female reproductive tract, as well as in adenocarcinomas of the lung, breast, and ovary (5,6).

    Keratins, particularly K8, K18, and K19, serve as biomarkers for identification of circulating tumor cells (CTCs) (5).

    Post-translational modifications, including phosphorylation, acetylation, ubiquitylation, sumoylation, glycosylation, and transamidation, have been shown to affect the functions of keratins in normal and disease states (6). Understanding the molecular mechanisms underlying these PTMs may provide insights into cancer pathogenesis.

    Alternate Names

    56 cytoskeletal type II keratin; 58 kDa cytokeratin; BCIE; BIE; CARD2; Cell proliferation-inducing gene 46 protein; cell proliferation-inducing protein 46; CK-10; CK-13; CK-18; CK-4; CK-5; CK-6A; CK-6B; CK-6C; CK-6D; CK-6E; CK-8; CK10; CK13; CK4; CK5; CK6A; CK6B; CK6C; CK6D; CK8; CYK18; CYK4; CYK8; cytokeratin 10; cytokeratin 13; cytokeratin 18; cytokeratin 4; cytokeratin 6A; cytokeratin 6B; cytokeratin 6C; cytokeratin 6D; cytokeratin 8; Cytokeratin-10; Cytokeratin-13; Cytokeratin-18; Cytokeratin-4; Cytokeratin-5; Cytokeratin-6A; Cytokeratin-6B; Cytokeratin-6C; Cytokeratin-6D; Cytokeratin-6E; Cytokeratin-8; DDD; DDD1; EBS2; EHK; epidermolysis bullosa simplex 2 Dowling-Meara/Kobner/Weber-Cockayne types; FLJ31692; K10; K13; K18; K1C10; K1C13; K1C18; K2C4; K2C5; K2C6A; K2C6B; K2C6C; K2C8; K4; K5; K6A; K6B; K6C; K6D; K6D keratin; K6E; K8; keratin 10; keratin 10, type I; keratin 13; keratin 13, type I; keratin 18; keratin 18, type I; keratin 4; keratin 4, type II; keratin 5; keratin 5 (epidermolysis bullosa simplex, Dowling-Meara/Kobner/Weber-Cockayne types); keratin 5, type II; Keratin 6; keratin 6A; keratin 6A, , type II; keratin 6A, type II; keratin 6B; keratin 6B, type II; keratin 6C; keratin 6C, type II; keratin 6E; keratin 8; keratin 8, type II; Keratin K6h; Keratin-10; Keratin-13; Keratin-18; Keratin-4; Keratin-5; Keratin-6A; Keratin-6B; Keratin-6C; Keratin-8; keratin-like 1 (a type II keratin sequence); keratin, epidermal type II, K6A; keratin, epidermal type II, K6C; keratin, epidermal, type II, K6B; Keratin, type I cytoskeletal 10; Keratin, type I cytoskeletal 13; Keratin, type I cytoskeletal 18; Keratin, type II cytoskeletal 4; Keratin, type II cytoskeletal 5; Keratin, type II cytoskeletal 6A; Keratin, type II cytoskeletal 6B; Keratin, type II cytoskeletal 6C; keratin, type II cytoskeletal 6D; Keratin, type II cytoskeletal 8; KO; KPP; KRT10; KRT13; KRT18; KRT4; KRT5; KRT5A; KRT6A; KRT6B; KRT6C; KRT6D; KRT6E; KRT8; KRTL1; MGC102925; MGC161462; MGC163455; MGC163457; MGC3781; PC2; PC3; PC4; PPKNEFD; type II keratin isoform K6c; Type-II keratin Kb10; Type-II keratin Kb12; Type-II keratin Kb4; Type-II keratin Kb5; Type-II keratin Kb6; Type-II keratin Kb8; WSN1; WSN2

    For Research Use Only. Not for Use in Diagnostic Procedures.
    Cell Signaling Technology is a trademark of Cell Signaling Technology, Inc.
    SignalStain is a registered trademark of Cell Signaling Technology, Inc.
    All other trademarks are the property of their respective owners. Visit our Trademark Information page.