Cell Signaling Technology Logo - Extra Large
Trial Size Available Flag
Recombinant Flag
Recombinant: Superior lot-to-lot consistency, continuous supply, and animal-free manufacturing.

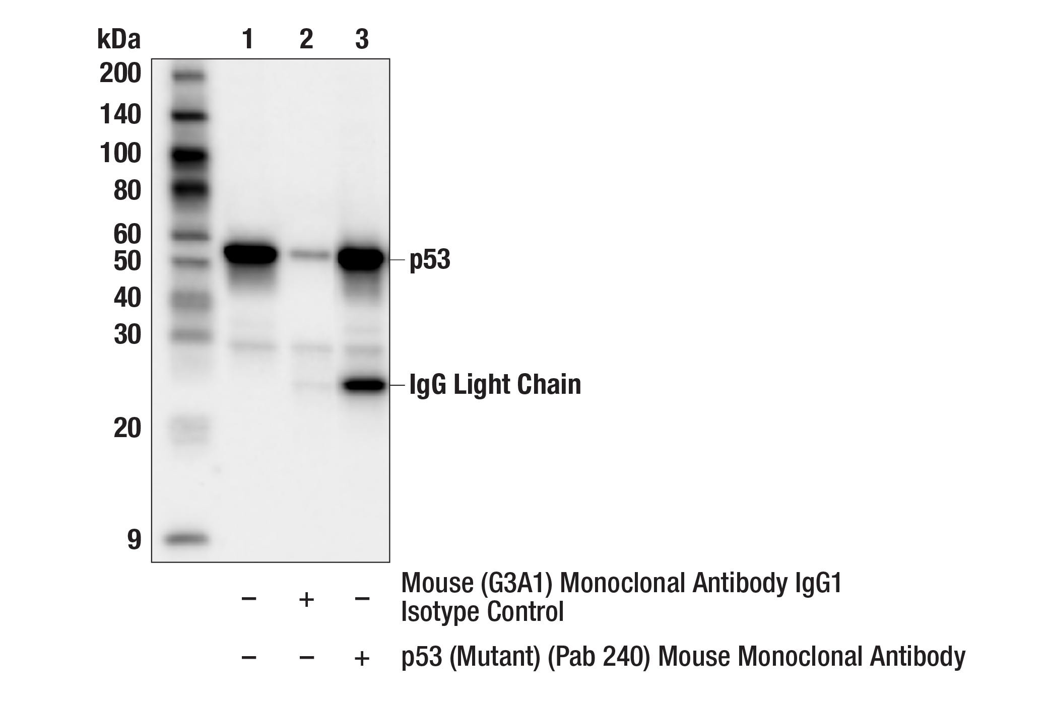
p53 (Mutant) (Pab 240) Mouse Monoclonal Antibody #26817

Filter:
  • IP

    Product Specifications

    REACTIVITY H
    SENSITIVITY Endogenous
    MW (kDa) 53
    Source/Isotype Mouse IgG1
    Application Key:
    • IP-Immunoprecipitation 
    Species Cross-Reactivity Key:
    • H-Human 

    Product Information

    Product Usage Information

    Application Dilution
    Immunoprecipitation 1:100

    Storage

    Supplied in 10 mM sodium HEPES (pH 7.5), 150 mM NaCl, 100 µg/mL BSA, 50% glycerol, and less than 0.02% sodium azide. Store at –20°C. Do not aliquot the antibody.

    实验步骤

    Specificity / Sensitivity

    p53 (Mutant) (Pab 240) Mouse Monoclonal Antibody recognizes mutant p53 protein and does not cross-react with wild-type p53 protein under non-denaturing conditions. Under denaturing conditions, this antibody is expected to detect both mutant and wild-type p53 protein.

    Species Reactivity:

    Human

    The antigen sequence used to produce this antibody shares 100% sequence homology with the species listed here, but reactivity has not been tested or confirmed to work by CST. Use of this product with these species is not covered under our Product Performance Guarantee.

    Species predicted to react based on 100% sequence homology:

    Mouse

    Source / Purification

    Monoclonal antibody is produced by immunizing animals with a p53-beta-galactosidase fusion protein containing murine p53.

    Background

    The p53 tumor suppressor protein plays a major role in cellular response to DNA damage and other genomic aberrations. Activation of p53 can lead to either cell cycle arrest and DNA repair or apoptosis (1). p53 is phosphorylated at multiple sites in vivo and by several different protein kinases in vitro (2,3). DNA damage induces phosphorylation of p53 at Ser15 and Ser20 and leads to a reduced interaction between p53 and its negative regulator, the oncoprotein MDM2 (4). MDM2 inhibits p53 accumulation by targeting it for ubiquitination and proteasomal degradation (5,6). p53 can be phosphorylated by ATM, ATR, and DNA-PK at Ser15 and Ser37. Phosphorylation impairs the ability of MDM2 to bind p53, promoting both the accumulation and activation of p53 in response to DNA damage (4,7). Chk2 and Chk1 can phosphorylate p53 at Ser20, enhancing its tetramerization, stability, and activity (8,9). p53 is phosphorylated at Ser392 in vivo (10,11) and by CAK in vitro (11). Phosphorylation of p53 at Ser392 is increased in human tumors (12) and has been reported to influence the growth suppressor function, DNA binding, and transcriptional activation of p53 (10,13,14). p53 is phosphorylated at Ser6 and Ser9 by CK1δ and CK1ε both in vitro and in vivo (13,15). Phosphorylation of p53 at Ser46 regulates the ability of p53 to induce apoptosis (16). Acetylation of p53 is mediated by p300 and CBP acetyltransferases. Inhibition of deacetylation suppressing MDM2 from recruiting HDAC1 complex by p19 (ARF) stabilizes p53. Acetylation appears to play a positive role in the accumulation of p53 protein in stress response (17). Following DNA damage, human p53 becomes acetylated at Lys382 (Lys379 in mouse) in vivo to enhance p53-DNA binding (18). Deacetylation of p53 occurs through interaction with the SIRT1 protein, a deacetylase that may be involved in cellular aging and the DNA damage response (19).
    1. Levine, A.J. (1997) Cell 88, 323-31.
    2. Meek, D.W. (1994) Semin Cancer Biol 5, 203-10.
    3. Milczarek, G.J. et al. (1997) Life Sci 60, 1-11.
    4. Shieh, S.Y. et al. (1997) Cell 91, 325-34.
    5. Chehab, N.H. et al. (1999) Proc Natl Acad Sci U S A 96, 13777-82.
    6. Honda, R. et al. (1997) FEBS Lett 420, 25-7.
    7. Tibbetts, R.S. et al. (1999) Genes Dev 13, 152-7.
    8. Shieh, S.Y. et al. (1999) EMBO J 18, 1815-23.
    9. Hirao, A. et al. (2000) Science 287, 1824-7.
    10. Hao, M. et al. (1996) J Biol Chem 271, 29380-5.
    11. Lu, H. et al. (1997) Mol Cell Biol 17, 5923-34.
    12. Ullrich, S.J. et al. (1993) Proc Natl Acad Sci U S A 90, 5954-8.
    13. Kohn, K.W. (1999) Mol Biol Cell 10, 2703-34.
    14. Lohrum, M. and Scheidtmann, K.H. (1996) Oncogene 13, 2527-39.
    15. Knippschild, U. et al. (1997) Oncogene 15, 1727-36.
    16. Oda, K. et al. (2000) Cell 102, 849-62.
    17. Ito, A. et al. (2001) EMBO J 20, 1331-40.
    18. Sakaguchi, K. et al. (1998) Genes Dev 12, 2831-41.
    19. Solomon, J.M. et al. (2006) Mol Cell Biol 26, 28-38.

    Alternate Names

    Antigen NY-CO-13; BCC7; BMFS5; Cellular tumor antigen p53; FLJ92943; LFS1; mutant tumor protein 53; P53; p53 antigen; p53 transformation suppressor; p53 tumor suppressor; Phosphoprotein p53; TP53; transformation-related protein 53; TRP53; tumor protein 53; tumor protein p53; Tumor suppressor p53; tumor supressor p53

    For Research Use Only. Not for Use in Diagnostic Procedures.
    Cell Signaling Technology is a trademark of Cell Signaling Technology, Inc.
    All other trademarks are the property of their respective owners. Visit our Trademark Information page.