Render Target: STATIC
Render Timestamp:
5/21/2026, 8:24:10 PM EDT
5/22/2026, 12:24:10 AM UTC
Commit: 7ed46ecc04b401f23a28df741b5078df405d23e4
XML generation date: 2025-11-12 16:09:29.796
Product last modified at: 2026-03-20T08:05:03.790Z
Cell Signaling Technology Logo - Extra Large
1% for the planet logo
PDP - Template Name: Monoclonal Antibody
PDP - Template ID: *******c5e4b77
Trial Size Available Flag

p35/25 (C64B10) Rabbit Monoclonal Antibody #2680

Filter:
  • WB
  • IP
  • IHC
  • IF

    Product Specifications

    REACTIVITY H M R
    SENSITIVITY Endogenous
    MW (kDa) 25, 35
    Source/Isotype Rabbit
    Application Key:
    • WB-Western Blotting 
    • IP-Immunoprecipitation 
    • IHC-Immunohistochemistry 
    • IF-Immunofluorescence 
    Species Cross-Reactivity Key:
    • H-Human 
    • M-Mouse 
    • R-Rat 

    Product Information

    Product Usage Information

    Application Dilution
    Western Blotting 1:1000
    Immunoprecipitation 1:50
    Immunohistochemistry (Paraffin) 1:50
    Immunofluorescence (Frozen) 1:100

    Storage

    Supplied in 10 mM sodium HEPES (pH 7.5), 150 mM NaCl, 100 µg/ml BSA, 50% glycerol and less than 0.02% sodium azide. Store at –20°C. Do not aliquot the antibody.

    For a carrier free (BSA and azide free) version of this product see product #52675.

    实验步骤

    Specificity / Sensitivity

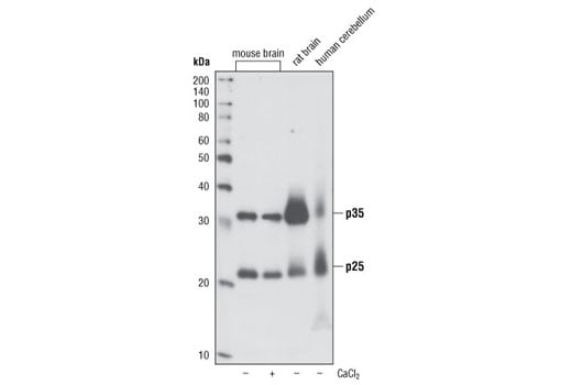
    p35/25 (C64B10) Rabbit Monoclonal Antibody detects endogenous levels of total p35 protein. This antibody also detects endogenous p25 resulting from calpain-mediated cleavage upon neurotoxic insult.

    Species Reactivity:

    Human, Mouse, Rat

    Source / Purification

    Monoclonal antibody is produced by immunizing animals with a synthetic peptide from the carboxy terminus of human p35.

    Background

    Cyclin-dependent kinases (CDKs) are serine/threonine kinases that are activated by cyclins and govern eukaryotic cell cycle progression. While CDK5 shares high sequence homology with its family members, it is thought mainly to function in postmitotic neurons, regulating the cytoarchitecture of these cells. Analogous to cyclins, p35 and p39 associate with and activate CDK5 despite the lack of sequence homology. CDK5 is ubiquitously expressed, but high levels of kinase activity are detected primarily in the nervous system due to the narrow expression pattern of p35 and p39 in post-mitotic neurons. A large number of CDK5 substrates have been identified although no discrete substrates have been attributed as a function of p35 vs. p39. Amongst many, substrates of CDK5 include p35 and p39. p35 is rapidly degraded (T1/2 <20 min) by the ubiquitin-proteasome pathway (1). However, p35 stability increases as CDK5 kinase activity decreases, and this is likely a result of decreased phosphorylation of p35 at Thr138 by CDK5 (2). NGF activates Erk and EGR1, and induces p35 expression in PC12 cells (3). Proteolytic cleavage of p35 by calpain produces p25 upon neurotoxic insult, resulting in prolonged activation of CDK5 by p25. Accumulation of p25 is found in neurodegenerative diseases such as Alzheimer's disease and Amyotrophic Lateral Sclerosis (ALS) (4-5).

    Alternate Names

    CD5R1; CDK5 activator 1; CDK5P35; CDK5R; CDK5R1; cyclin dependent kinase 5 regulatory subunit 1; Cyclin-dependent kinase 5 activator 1; Cyclin-dependent kinase 5 activator 1, p25; Cyclin-dependent kinase 5 activator 1, p35; Cyclin-dependent kinase 5 regulatory subunit 1; cyclin-dependent kinase 5, regulatory subunit 1; cyclin-dependent kinase 5, regulatory subunit 1 (p35); MGC33831; NCK5A; neuronal CDK5 activator; p23; p25; p35; p35nck5a; regulatory partner for CDK5 kinase; Tau protein kinase II 23 kDa subunit; tau protein kinase II 23kDa subunit; TPKII regulatory subunit

    For Research Use Only. Not for Use in Diagnostic Procedures.
    Cell Signaling Technology is a trademark of Cell Signaling Technology, Inc.
    U.S. Patent No. 7,429,487, foreign equivalents, and child patents deriving therefrom.
    All other trademarks are the property of their respective owners. Visit our Trademark Information page.