Render Target: STATIC
Render Timestamp:
5/21/2026, 7:45:51 PM EDT
5/21/2026, 11:45:51 PM UTC
Commit: 7ed46ecc04b401f23a28df741b5078df405d23e4
XML generation date: 2026-02-24 18:32:13.383
Product last modified at: 2026-03-20T08:02:44.253Z
Cell Signaling Technology Logo - Extra Large
1% for the planet logo
PDP - Template Name: Monoclonal Antibody
PDP - Template ID: *******c5e4b77
Trial Size Available Flag
Recombinant Flag
Recombinant: Superior lot-to-lot consistency, continuous supply, and animal-free manufacturing.

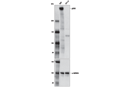
p300 (D2X6N) Rabbit Monoclonal Antibody #54062

Filter:
  • WB
  • IP
  • ChIP
  • C&R
  • C&T

    Product Specifications

    REACTIVITY H
    SENSITIVITY Endogenous
    MW (kDa) 300
    Source/Isotype Rabbit IgG
    Application Key:
    • WB-Western Blotting 
    • IP-Immunoprecipitation 
    • ChIP-Chromatin Immunoprecipitation 
    • C&R-CUT & RUN 
    • C&T-CUT & Tag 
    Species Cross-Reactivity Key:
    • H-Human 

    Product Information

    Product Usage Information

    For optimal ChIP results, use 10 μl of antibody and 10 μg of chromatin (approximately 4 x 106 cells) per IP. This antibody has been validated using SimpleChIP® Enzymatic Chromatin IP Kits.

    The CUT&RUN dilution was determined using CUT&RUN Assay Kit #86652.

    The CUT&Tag dilution was determined using CUT&Tag Assay Kit #77552.

    Application Dilution
    Western Blotting 1:1000
    Immunoprecipitation 1:200
    Chromatin IP 1:50
    CUT&RUN 1:50
    CUT&Tag 1:50

    Storage

    Supplied in 10 mM sodium HEPES (pH 7.5), 150 mM NaCl, 100 µg/ml BSA, 50% glycerol and less than 0.02% sodium azide. Store at –20°C. Do not aliquot the antibody.

    For a carrier free (BSA and azide free) version of this product see product #66176.

    实验步骤

    Specificity / Sensitivity

    p300 (D2X6N) Rabbit Monoclonal Antibody recognizes endogenous levels of total p300 protein. This antibody does not cross-react with CBP protein.

    Species Reactivity:

    Human

    Source / Purification

    Monoclonal antibody is produced by immunizing animals with a synthetic peptide corresponding to residues surrounding Leu733 of human p300 protein.

    Background

    CBP (CREB-binding protein) and p300 are highly conserved and functionally related transcriptional co-activators that associate with transcriptional regulators and signaling molecules, integrating multiple signal transduction pathways with the transcriptional machinery (1,2). CBP/p300 also contain histone acetyltransferase (HAT) activity, allowing them to acetylate histones and other proteins (2). Phosphorylation of p300 at Ser89 by PKC represses its transcriptional activity, and phosphorylation at the same site by AMPK disrupts the association of p300 with nuclear receptors (3,4). Ser1834 phosphorylation of p300 by Akt disrupts its association with C/EBPβ (5). Growth factors induce phosphorylation of CBP at Ser437, which is required for CBP recruitment to the transcription complex (6). CaM kinase IV phosphorylates CBP at Ser302, which is required for CBP-dependent transcriptional activation in the CNS (7). The role of acetylation of CBP/p300 is of particular interest (2,8). Acetylation of p300 at Lys1499 has been demonstrated to enhance its HAT activity and affect a wide variety of signaling events (9).

    Alternate Names

    E1A binding protein p300; E1A-associated protein p300; E1A-binding protein, 300kD; EP300; Histone acetyltransferase p300; Histone butyryltransferase p300; Histone crotonyltransferase p300; KAT3B; MKHK2; P300; p300 HAT; Protein 2-hydroxyisobutyryltransferase p300; Protein propionyltransferase p300; RSTS2

    For Research Use Only. Not for Use in Diagnostic Procedures.
    Cell Signaling Technology is a trademark of Cell Signaling Technology, Inc.
    SimpleChIP is a registered trademark of Cell Signaling Technology, Inc.
    All other trademarks are the property of their respective owners. Visit our Trademark Information page.