Cell Signaling Technology Logo - Extra Large
Trial Size Available Flag
Recombinant Flag
Recombinant: Superior lot-to-lot consistency, continuous supply, and animal-free manufacturing.

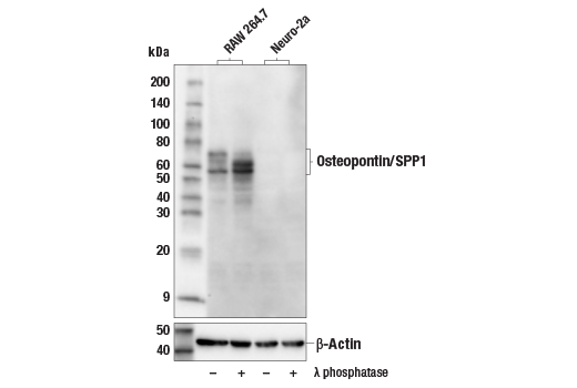
Osteopontin/SPP1 (E9Z1D) Rabbit Monoclonal Antibody #88742

Filter:
  • WB
  • IP
  • IHC
  • IF
  • F

    Product Specifications

    REACTIVITY M
    SENSITIVITY Endogenous
    MW (kDa) 58-75
    Source/Isotype Rabbit IgG
    Application Key:
    • WB-Western Blotting 
    • IP-Immunoprecipitation 
    • IHC-Immunohistochemistry 
    • IF-Immunofluorescence 
    • F-Flow Cytometry 
    Species Cross-Reactivity Key:
    • M-Mouse 

    Product Information

    Product Usage Information

    Application Dilution
    Western Blotting 1:1000
    Simple Western™ 1:10 - 1:50
    Immunoprecipitation 1:200
    Immunohistochemistry (Paraffin) 1:50 - 1:200
    Immunofluorescence (Frozen) 1:200 - 1:800
    Immunofluorescence (Immunocytochemistry) 1:200 - 1:800
    Flow Cytometry (Fixed/Permeabilized) 1:200 - 1:800

    Storage

    Supplied in 10 mM sodium HEPES (pH 7.5), 150 mM NaCl, 100 µg/mL BSA, 50% glycerol, and less than 0.02% sodium azide. Store at –20°C. Do not aliquot the antibody.

    For a carrier free (BSA and azide free) version of this product see product #17090.

    Protocol

    Specificity / Sensitivity

    Osteopontin/SPP1 (E9Z1D) Rabbit Monoclonal Antibody recognizes endogenous levels of total osteopontin/SPP1 protein.

    Species Reactivity:

    Mouse

    Source / Purification

    Monoclonal antibody is produced by immunizing animals with a synthetic peptide corresponding to residues surrounding Ala149 of mouse osteopontin/SPP1 protein.

    Background

    Osteopontin is a highly phosphorylated secreted glycoprotein expressed in a variety of cell types. Osteopontin, encoded by the gene secreted phosphoprotein 1 (SPP1), was originally isolated and cloned from a rat osteosarcoma cell line (1). Osteopontin is a highly negatively charged protein that likely regulates extracellular matrix turnover and remodeling, both in bone and other tissue (2). Osteopontin also has three highly conserved receptor-binding domains, otherwise known as arginine-glycine-aspartic acid (RGD) domains. Binding of osteopontin to cell surface integrins likely activates cell signaling pathways that regulate cell proliferation, adhesion, invasion, migration, and fibrosis (3,4). Osteopontin may be regulated by posttranslational regulation, including phosphorylation, glycosylation, and proteolytic cleavage (5). Osteopontin is also linked to several human diseases. For example, cleaved osteopontin is higher in patients suffering with cirrhosis, a disease involving fibrosis of the liver (5). Its role in the brain is unclear, but SPP1 expression in microglia, the resident macrophages of the brain, is upregulated in mouse neurodegenerative disease models, including Alzheimer’s disease (6). Osteopontin’s role in disease likely involves its function as a key mediator of inflammatory responses (4).

    Alternate Names

    2AR; 44 kDa bone phosphoprotein; AA960535; AI790405; Apl-1; BNSP; Bone sialoprotein 1; Bsp; BSPI; Calcium oxalate crystal growth inhibitor protein; Early T-lymphocyte activation 1 protein; Eta; ETA-; Eta-1; Minopontin; Op; Opn; Opnl; ost; Osteopontin; osteopontin-like protein; OSTP; OTTMUSP00000029095; OTTMUSP00000029097; OTTMUSP00000029098; Ric; Secreted phosphoprotein 1; SPP-1; Spp1

    For Research Use Only. Not for Use in Diagnostic Procedures.
    Cell Signaling Technology is a trademark of Cell Signaling Technology, Inc.
    Alexa Fluor is a registered trademark of Life Technologies Corporation.
    All other trademarks are the property of their respective owners. Visit our Trademark Information page.