Render Target: STATIC
Render Timestamp:
5/25/2026, 8:00:25 PM EDT
5/26/2026, 12:00:25 AM UTC
Commit: 7ed46ecc04b401f23a28df741b5078df405d23e4
XML generation date: 2025-11-12 16:12:47.455
Product last modified at: 2026-03-20T08:06:30.619Z
Cell Signaling Technology Logo - Extra Large
1% for the planet logo
PDP - Template Name: Monoclonal Antibody
PDP - Template ID: *******c5e4b77
Recombinant Flag
Recombinant: Superior lot-to-lot consistency, continuous supply, and animal-free manufacturing.

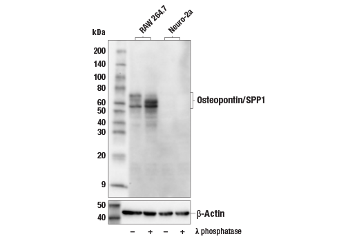
Osteopontin/SPP1 (E9Z1D) Rabbit Monoclonal Antibody (BSA and Azide Free) #17090

Filter:
  • WB
  • IHC
  • IF
  • F

    Product Specifications

    REACTIVITY M
    SENSITIVITY Endogenous
    MW (kDa) 58-75
    Source/Isotype Rabbit IgG
    Application Key:
    • WB-Western Blotting 
    • IHC-Immunohistochemistry 
    • IF-Immunofluorescence 
    • F-Flow Cytometry 
    Species Cross-Reactivity Key:
    • M-Mouse 

    Product Information

    Product Usage Information

    This product is the carrier free version of product #88742. All data were generated using the same antibody clone in the standard formulation which contains BSA and glycerol.

    This formulation is ideal for use with technologies requiring specialized or custom antibody labeling, including fluorophores, metals, lanthanides, and oligonucleotides. It is not recommended for ChIP, ChIP-seq, CUT&RUN or CUT&Tag assays. If you require a carrier free formulation for chromatin profiling, please contact us. Optimal dilutions/concentrations should be determined by the end user.

    BSA and Azide Free antibodies are quality control tested by size exclusion chromatography (SEC) to determine antibody integrity.

    Formulation

    Supplied in 1X PBS (10 mM Na2HPO4, 3 mM KCl, 2 mM KH2PO4, and 140 mM NaCl (pH 7.8)). BSA and Azide Free.

    For standard formulation of this product see product #88742

    Storage

    Store at -20°C. This product will freeze at -20°C so it is recommended to aliquot into single-use vials to avoid multiple freeze/thaw cycles. A slight precipitate may be present and can be dissolved by gently vortexing. This will not interfere with antibody performance.

    Specificity / Sensitivity

    Osteopontin/SPP1 (E9Z1D) Rabbit Monoclonal Antibody (BSA and Azide Free) recognizes endogenous levels of total osteopontin/SPP1 protein.

    Species Reactivity:

    Mouse

    Source / Purification

    Monoclonal antibody is produced by immunizing animals with a synthetic peptide corresponding to residues surrounding Ala149 of mouse osteopontin/SPP1 protein.

    Background

    Osteopontin is a highly phosphorylated secreted glycoprotein expressed in a variety of cell types. Osteopontin, encoded by the gene secreted phosphoprotein 1 (SPP1), was originally isolated and cloned from a rat osteosarcoma cell line (1). Osteopontin is a highly negatively charged protein that likely regulates extracellular matrix turnover and remodeling, both in bone and other tissue (2). Osteopontin also has three highly conserved receptor-binding domains, otherwise known as arginine-glycine-aspartic acid (RGD) domains. Binding of osteopontin to cell surface integrins likely activates cell signaling pathways that regulate cell proliferation, adhesion, invasion, migration, and fibrosis (3,4). Osteopontin may be regulated by posttranslational regulation, including phosphorylation, glycosylation, and proteolytic cleavage (5). Osteopontin is also linked to several human diseases. For example, cleaved osteopontin is higher in patients suffering with cirrhosis, a disease involving fibrosis of the liver (5). Its role in the brain is unclear, but SPP1 expression in microglia, the resident macrophages of the brain, is upregulated in mouse neurodegenerative disease models, including Alzheimer’s disease (6). Osteopontin’s role in disease likely involves its function as a key mediator of inflammatory responses (4).

    Alternate Names

    2AR; 44 kDa bone phosphoprotein; AA960535; AI790405; Apl-1; BNSP; Bone sialoprotein 1; Bsp; BSPI; Calcium oxalate crystal growth inhibitor protein; Early T-lymphocyte activation 1 protein; Eta; ETA-; Eta-1; Minopontin; Op; Opn; Opnl; ost; Osteopontin; osteopontin-like protein; OSTP; OTTMUSP00000029095; OTTMUSP00000029097; OTTMUSP00000029098; Ric; Secreted phosphoprotein 1; SPP-1; Spp1

    For Research Use Only. Not for Use in Diagnostic Procedures.
    Cell Signaling Technology is a trademark of Cell Signaling Technology, Inc.
    All other trademarks are the property of their respective owners. Visit our Trademark Information page.