Cell Signaling Technology Logo - Extra Large
Trial Size Available Flag

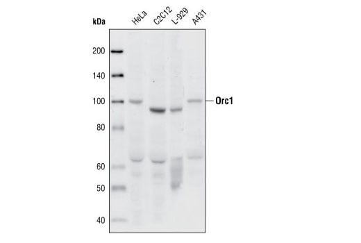
ORC1 (7A7) Rat Monoclonal Antibody #4731

Filter:
  • WB

    Product Specifications

    REACTIVITY H M R Hm
    SENSITIVITY Endogenous
    MW (kDa) 100, 95 (Mouse)
    Source/Isotype Rat IgG1
    Application Key:
    • WB-Western Blotting 
    Species Cross-Reactivity Key:
    • H-Human 
    • M-Mouse 
    • R-Rat 
    • Hm-Hamster 

    Product Information

    Product Usage Information

    Application Dilution
    Western Blotting 1:1000

    Storage

    Supplied in 10 mM sodium HEPES (pH 7.5), 150 mM NaCl, 100 µg/ml BSA, 50% glycerol and less than 0.02% sodium azide. Store at –20°C. Do not aliquot the antibody.

    实验步骤

    Specificity / Sensitivity

    ORC1 (7A7) Rat Monoclonal Antibody recognizes endogenous levels of total ORC1 protein. This antibody does not cross-react with other ORC subunits.

    Species Reactivity:

    Human, Mouse, Rat, Hamster

    Source / Purification

    Monoclonal antibody is produced by immunizing animals with a His6-tagged recombinant human ORC1 protein.

    Background

    The origin recognition complex (ORC) is a highly conserved heterohexameric protein complex that associates with DNA at or near initiation of DNA replication sites. All six ORC subunits are essential for initiation of DNA replication (1-3), and ORC may be involved in regulation of gene expression in response to stress (4). ORC binding to DNA permits the ordered binding of other proteins such as cdc6 and MCMs to form pre-replication complexes (Pre-RCs). Pre-RCs form between telophase and early G1 phase of the cell cycle and are inactivated at the onset of DNA synthesis, allowing coordinated regulation of DNA replication and cell division (5). Modification of one or more of the six ORC subunits may be responsible for its inactivation during S phase, but the chromatin binding behavior of the ORC subunits during the cell division cycle is still under investigation (6-7).

    Alternate Names

    HSORC1; ORC1; ORC1L; origin recognition complex 1; Origin recognition complex subunit 1; origin recognition complex, subunit 1 homolog; origin recognition complex, subunit 1-like (yeast); origin recognition complex, subunit 1, S. cerevisiae, homolog-like; PARC1; Replication control protein 1

    For Research Use Only. Not for Use in Diagnostic Procedures.
    Cell Signaling Technology is a trademark of Cell Signaling Technology, Inc.
    All other trademarks are the property of their respective owners. Visit our Trademark Information page.