Cell Signaling Technology Logo - Extra Large
Trial Size Available Flag
Recombinant Flag
Recombinant: Superior lot-to-lot consistency, continuous supply, and animal-free manufacturing.

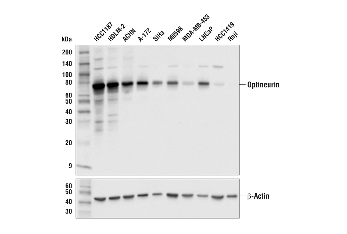
Optineurin (E4P8C) Rabbit Monoclonal Antibody #70928

Filter:
  • WB
  • IP
  • IF
  • F

    Product Specifications

    REACTIVITY H
    SENSITIVITY Endogenous
    MW (kDa) 75
    Source/Isotype Rabbit IgG
    Application Key:
    • WB-Western Blotting 
    • IP-Immunoprecipitation 
    • IF-Immunofluorescence 
    • F-Flow Cytometry 
    Species Cross-Reactivity Key:
    • H-Human 

    Product Information

    Product Usage Information

    Application Dilution
    Western Blotting 1:1000
    Immunoprecipitation 1:50
    Immunofluorescence (Immunocytochemistry) 1:400 - 1:1600
    Flow Cytometry (Fixed/Permeabilized) 1:200 - 1:800

    Storage

    Supplied in 10 mM sodium HEPES (pH 7.5), 150 mM NaCl, 100 µg/ml BSA, 50% glycerol and less than 0.02% sodium azide. Store at –20°C. Do not aliquot the antibody.

    For a carrier free (BSA and azide free) version of this product see product #85171.

    实验步骤

    Specificity / Sensitivity

    Optineurin (E4P8C) Rabbit Monoclonal Antibody recognizes endogenous levels of total optineurin protein.

    Species Reactivity:

    Human

    Source / Purification

    Monoclonal antibody is produced by immunizing animals with recombinant protein specific to human optineurin protein.

    Background

    Optineurin is a signaling protein involved in maintenance of the Golgi complex, membrane trafficking, NF-κB, and interferon signaling. Mutations in the gene encoding optineurin have been associated with human diseases including glaucoma, Paget disease of bone, and amyotrophic lateral sclerosis (ALS) (1-2). Optineurin is thought to contribute to these pathologies through regulation of inflammatory signaling, autophagy, and mitophagy (1, 3). The NF-κB-activating kinase/TANK-binding kinase 1 (NAK/TBK1) phosphorylates optineurin at serine 177, regulating optineurin’s role in autophagy and mitophagy (4-6). The tumor suppressor HACE1 ubiquitylates optineurin, promoting the interaction of optineurin with the autophagy receptor p62/SQSTM1 (7).

    Alternate Names

    ALS12; E3-14.7K-interacting protein; FIP-2; FIP2; GLC1E; HIP-7; HIP7; Huntingtin interacting protein L; Huntingtin yeast partner L; Huntingtin-interacting protein 7; Huntingtin-interacting protein L; HYPL; NEMO-related protein; NRP; Optic neuropathy-inducing protein; Optineurin; OPTN; TFIIIA-IntP; Transcription factor IIIA-interacting protein; transcrption factor IIIA-interacting protein; tumor necrosis factor alpha-inducible cellular protein containing leucine zipper domains

    For Research Use Only. Not for Use in Diagnostic Procedures.
    Cell Signaling Technology is a trademark of Cell Signaling Technology, Inc.
    Alexa Fluor is a registered trademark of Life Technologies Corporation.
    All other trademarks are the property of their respective owners. Visit our Trademark Information page.