Render Target: STATIC
Render Timestamp:
5/19/2026, 9:19:40 PM EDT
5/20/2026, 1:19:40 AM UTC
Commit: 7ed46ecc04b401f23a28df741b5078df405d23e4
XML generation date: 2025-11-12 16:18:08.734
Product last modified at: 2026-03-20T08:07:49.171Z
Cell Signaling Technology Logo - Extra Large
1% for the planet logo
PDP - Template Name: Monoclonal Antibody
PDP - Template ID: *******c5e4b77
Recombinant Flag
Recombinant: Superior lot-to-lot consistency, continuous supply, and animal-free manufacturing.

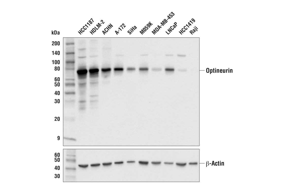
Optineurin (E4P8C) Rabbit Monoclonal Antibody (BSA and Azide Free) #85171

Filter:
  • WB
  • IF
  • F

    Product Specifications

    REACTIVITY H
    SENSITIVITY Endogenous
    MW (kDa) 75
    Source/Isotype Rabbit IgG
    Application Key:
    • WB-Western Blotting 
    • IF-Immunofluorescence 
    • F-Flow Cytometry 
    Species Cross-Reactivity Key:
    • H-Human 

    Product Information

    Product Usage Information

    This product is the carrier free version of product #70928. All data were generated using the same antibody clone in the standard formulation which contains BSA and glycerol.

    This formulation is ideal for use with technologies requiring specialized or custom antibody labeling, including fluorophores, metals, lanthanides, and oligonucleotides. It is not recommended for ChIP, ChIP-seq, CUT&RUN or CUT&Tag assays. If you require a carrier free formulation for chromatin profiling, please contact us. Optimal dilutions/concentrations should be determined by the end user.

    BSA and Azide Free antibodies are quality control tested by size exclusion chromatography (SEC) to determine antibody integrity.

    Formulation

    Supplied in 1X PBS (10 mM Na2HPO4, 3 mM KCl, 2 mM KH2PO4, and 140 mM NaCl (pH 7.8)). BSA and Azide Free.

    For standard formulation of this product see product #70928

    Storage

    Store at -20°C. This product will freeze at -20°C so it is recommended to aliquot into single-use vials to avoid multiple freeze/thaw cycles. A slight precipitate may be present and can be dissolved by gently vortexing. This will not interfere with antibody performance.

    Specificity / Sensitivity

    Optineurin (E4P8C) Rabbit Monoclonal Antibody (BSA and Azide Free) recognizes endogenous levels of total optineurin protein.

    Species Reactivity:

    Human

    Source / Purification

    Monoclonal antibody is produced by immunizing animals with recombinant protein specific to human optineurin protein.

    Background

    Optineurin is a signaling protein involved in maintenance of the Golgi complex, membrane trafficking, NF-κB, and interferon signaling. Mutations in the gene encoding optineurin have been associated with human diseases including glaucoma, Paget disease of bone, and amyotrophic lateral sclerosis (ALS) (1-2). Optineurin is thought to contribute to these pathologies through regulation of inflammatory signaling, autophagy, and mitophagy (1, 3). The NF-κB-activating kinase/TANK-binding kinase 1 (NAK/TBK1) phosphorylates optineurin at serine 177, regulating optineurin’s role in autophagy and mitophagy (4-6). The tumor suppressor HACE1 ubiquitylates optineurin, promoting the interaction of optineurin with the autophagy receptor p62/SQSTM1 (7).

    Alternate Names

    ALS12; E3-14.7K-interacting protein; FIP-2; FIP2; GLC1E; HIP-7; HIP7; Huntingtin interacting protein L; Huntingtin yeast partner L; Huntingtin-interacting protein 7; Huntingtin-interacting protein L; HYPL; NEMO-related protein; NRP; Optic neuropathy-inducing protein; Optineurin; OPTN; TFIIIA-IntP; Transcription factor IIIA-interacting protein; transcrption factor IIIA-interacting protein; tumor necrosis factor alpha-inducible cellular protein containing leucine zipper domains

    For Research Use Only. Not for Use in Diagnostic Procedures.
    Cell Signaling Technology is a trademark of Cell Signaling Technology, Inc.
    All other trademarks are the property of their respective owners. Visit our Trademark Information page.