Cell Signaling Technology Logo - Extra Large
Trial Size Available Flag
Recombinant Flag
Recombinant: Superior lot-to-lot consistency, continuous supply, and animal-free manufacturing.

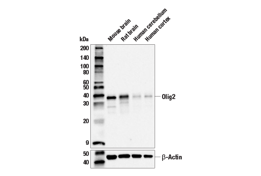
Olig2 (E6G6Q) Rabbit Monoclonal Antibody #65915

Filter:
  • WB
  • IP
  • IHC
  • IF

    Product Specifications

    REACTIVITY H M R
    SENSITIVITY Endogenous
    MW (kDa) 35
    Source/Isotype Rabbit IgG
    Application Key:
    • WB-Western Blotting 
    • IP-Immunoprecipitation 
    • IHC-Immunohistochemistry 
    • IF-Immunofluorescence 
    Species Cross-Reactivity Key:
    • H-Human 
    • M-Mouse 
    • R-Rat 

    Product Information

    Product Usage Information

    Application Dilution
    Western Blotting 1:1000
    Simple Western™ 1:50 - 1:250
    Immunoprecipitation 1:50
    Immunohistochemistry (Paraffin) 1:50 - 1:200
    Immunofluorescence (Frozen) 1:100 - 1:400
    Immunofluorescence (Immunocytochemistry) 1:200 - 1:800

    Storage

    Supplied in 10 mM sodium HEPES (pH 7.5), 150 mM NaCl, 100 µg/ml BSA, 50% glycerol and less than 0.02% sodium azide. Store at –20°C. Do not aliquot the antibody.

    For a carrier free (BSA and azide free) version of this product see product #71735.

    实验步骤

    Specificity / Sensitivity

    Olig2 (E6G6Q) Rabbit Monoclonal Antibody recognizes endogenous levels of total Olig2 protein.

    Species Reactivity:

    Human, Mouse, Rat

    Source / Purification

    Monoclonal antibody is produced by immunizing animals with recombinant protein specific to the carboxy terminus of human Olig2 protein.

    Background

    Olig2 is a basic helix–loop–helix (bHLH) transcription factor necessary for oligodendrocyte and motor neuron differentiation and development in the central nervous system (1,2). Olig2 has been shown to play a role in Purkinje cell specification in the early cerebellum (3). Olig2 has also been shown to be a useful marker for primary and mature oligodendrocytes and is universally expressed in diffuse gliomas (4,5).

    Alternate Names

    basic domain, helix-loop-helix protein, class B, 1; BHLHB1; BHLHE19; Class B basic helix-loop-helix protein 1; Class E basic helix-loop-helix protein 19; human protein kinase C-binding protein RACK17; OLIG2; Oligo2; oligodendrocyte lineage transcription factor 2; Oligodendrocyte transcription factor 2; oligodendrocyte-specific bHLH transcription factor 2; PRKCBP2; protein kinase C binding protein 2; Protein kinase C-binding protein 2; Protein kinase C-binding protein RACK17; RACK17

    For Research Use Only. Not for Use in Diagnostic Procedures.
    Cell Signaling Technology is a trademark of Cell Signaling Technology, Inc.
    Alexa Fluor is a registered trademark of Life Technologies Corporation.
    All other trademarks are the property of their respective owners. Visit our Trademark Information page.