Cell Signaling Technology Logo - Extra Large
Trial Size Available Flag
Recombinant Flag
Recombinant: Superior lot-to-lot consistency, continuous supply, and animal-free manufacturing.

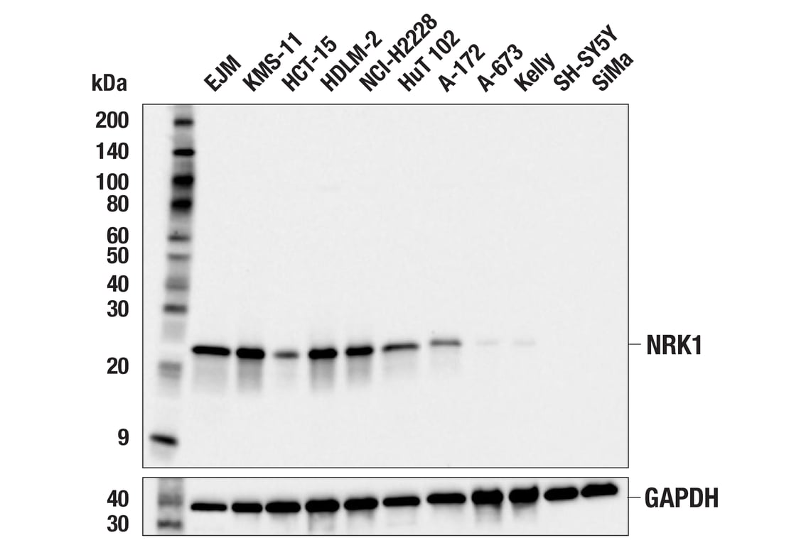
NRK1 (F4F8L) Rabbit Monoclonal Antibody #29786

Filter:
  • WB
  • IP

    Product Specifications

    REACTIVITY H
    SENSITIVITY Endogenous
    MW (kDa) 23
    Source/Isotype Rabbit IgG
    Application Key:
    • WB-Western Blotting 
    • IP-Immunoprecipitation 
    Species Cross-Reactivity Key:
    • H-Human 

    Product Information

    Product Usage Information

    Application Dilution
    Western Blotting 1:1000
    Fluorescent Western 1:1000
    Simple Western™ 1:50 - 1:250
    Immunoprecipitation 1:50

    Storage

    Supplied in 10 mM sodium HEPES (pH 7.5), 150 mM NaCl, 100 µg/mL BSA, 50% glycerol, and less than 0.02% sodium azide. Store at –20°C. Do not aliquot the antibody.

    实验步骤

    Specificity / Sensitivity

    NRK1 (F4F8L) Rabbit Monoclonal Antibody recognizes endogenous levels of total NRK1 protein. This antibody does not cross-react with NRK2 protein.

    Species Reactivity:

    Human

    Source / Purification

    Monoclonal antibody is produced by immunizing animals with a synthetic peptide corresponding to residues surrounding Asp48 of human NRK1 protein.

    Background

    Nicotinamide riboside (NR) is converted to NAD precursor nicotinamide mononucleotide (NMN) by nicotinamide riboside kinase 1 and 2 (NRK1 and NRK2), a function shared by yeast Nrk1 (1). Cytosolic NRK1, encoded by the NMRK1 gene, is expressed in most tissues and enriched in liver and kidney, while NRK2 expression is limited to muscle (2). Primary hepatocytes from NRK1 mice were used to demonstrate that NRK1 is essential for utilization of exogenous NR or NMN to produce NAD+ (2). Tissue-specific expression of NAD synthesis enzymes can drive cancer cell survival and treatment strategies. Cancer cells can arise in tissues with variable expression of rate-limiting enzymes for NAD synthesis, including nicotinate phosphoribosyltransferase (NAPRT) or nicotinamide phosphoribosyltransferase (NAMPT) (3). In instances where this expression is low, NRK1-driven NAD synthesis is key for cancer cell survival and may bypass inhibitors of the other NAD+ pathways (3).

    Alternate Names

    bA235O14.2; C9orf95; chromosome 9 open reading frame 95; FLJ20559; Nicotinamide riboside kinase 1; Nicotinic acid riboside kinase 1; NmR-K 1; NMRK1; NRK 1; NRK1; Ribosylnicotinamide kinase 1; Ribosylnicotinic acid kinase 1; RNK 1; RP11-235O14.2

    For Research Use Only. Not for Use in Diagnostic Procedures.
    Cell Signaling Technology is a trademark of Cell Signaling Technology, Inc.
    All other trademarks are the property of their respective owners. Visit our Trademark Information page.