Render Target: STATIC
Render Timestamp:
5/21/2026, 7:49:24 PM EDT
5/21/2026, 11:49:24 PM UTC
Commit: 7ed46ecc04b401f23a28df741b5078df405d23e4
XML generation date: 2026-02-24 08:16:54.912
Product last modified at: 2026-03-20T08:04:52.471Z
Cell Signaling Technology Logo - Extra Large
1% for the planet logo
PDP - Template Name: Monoclonal Antibody
PDP - Template ID: *******c5e4b77
Trial Size Available Flag
Recombinant Flag
Recombinant: Superior lot-to-lot consistency, continuous supply, and animal-free manufacturing.

Notch1 (D1E11) Rabbit Monoclonal Antibody #3608

Filter:
  • WB
  • IP
  • IHC
  • ChIP

    Product Specifications

    REACTIVITY H M R
    SENSITIVITY Endogenous
    MW (kDa) 120, 300
    Source/Isotype Rabbit IgG
    Application Key:
    • WB-Western Blotting 
    • IP-Immunoprecipitation 
    • IHC-Immunohistochemistry 
    • ChIP-Chromatin Immunoprecipitation 
    Species Cross-Reactivity Key:
    • H-Human 
    • M-Mouse 
    • R-Rat 

    Product Information

    Product Usage Information

    For optimal ChIP results, use 5 μl of antibody and 10 μg of chromatin (approximately 4 x 106 cells) per IP. This antibody has been validated using SimpleChIP® Enzymatic Chromatin IP Kits.
    Application Dilution
    Western Blotting 1:1000
    Immunoprecipitation 1:50
    Immunohistochemistry (Paraffin) 1:200 - 1:800
    Chromatin IP 1:100

    Storage

    Supplied in 10 mM sodium HEPES (pH 7.5), 150 mM NaCl, 100 µg/ml BSA, 50% glycerol and less than 0.02% sodium azide. Store at –20°C. Do not aliquot the antibody.

    For a carrier free (BSA and azide free) version of this product see product #67334.

    实验步骤

    Specificity / Sensitivity

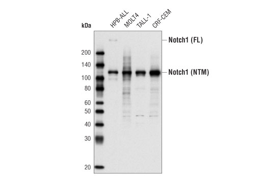
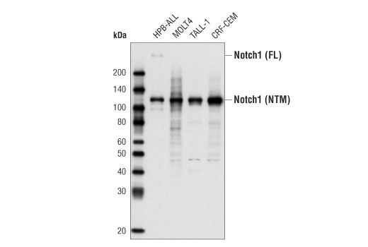
    Notch1 (D1E11) Rabbit Monoclonal Antibody detects intracellular epitopes between 2400 and 2500 amino acids of human Notch1. This antibody recognizes both the full-length (~300 KDa) and the NTM region (~120 KDa), which consists of a short extracellular juxtamembrane peptide, a transmembrane sequence and the intracellular domain (NICD). This antibody antibody cannot detect the extracellular (ligand-binding) domain of Notch1 following cleavage at the S2 site by ADAM-type metalloproteases.

    Species Reactivity:

    Human, Mouse, Rat

    Source / Purification

    Monoclonal antibody is produced by immunizing animals with a synthetic peptide corresponding to residues surrounding Pro2438 of human Notch1.

    Background

    Notch proteins (Notch1-4) are a family of transmembrane receptors that play important roles in development and the determination of cell fate (1). Mature Notch receptors are processed and assembled as heterodimeric proteins, with each dimer composed of a large extracellular ligand-binding domain, a single-pass transmembrane domain, and a smaller cytoplasmic subunit (Notch intracellular domain, NICD) (2). Binding of Notch receptors to ligands of the Delta-Serrate-Lag2 (DSL) family triggers heterodimer dissociation, exposing the receptors to proteolytic cleavages; these result in release of the NICD, which translocates to the nucleus and activates transcription of downstream target genes (3,4).

    Alternate Names

    AOS5; AOVD1; hN1; Neurogenic locus notch homolog protein 1; NEXT; NICD; NOTC1; Notch 1; Notch 1 extracellular truncation; Notch 1 intracellular domain; Notch homolog 1, translocation-associated; Notch homolog 1, translocation-associated (Drosophila); notch receptor 1; NOTCH1; TAN1; Translocation-associated notch protein TAN-1

    For Research Use Only. Not for Use in Diagnostic Procedures.
    Cell Signaling Technology is a trademark of Cell Signaling Technology, Inc.
    All other trademarks are the property of their respective owners. Visit our Trademark Information page.