Cell Signaling Technology Logo - Extra Large
Trial Size Available Flag
Recombinant Flag
Recombinant: Superior lot-to-lot consistency, continuous supply, and animal-free manufacturing.

NME1/NDKA (D18F10) Rabbit Monoclonal Antibody #5389

Filter:
  • WB

    Product Specifications

    REACTIVITY H M R Mk B
    SENSITIVITY Endogenous
    MW (kDa) 16, 18
    Source/Isotype Rabbit IgG
    Application Key:
    • WB-Western Blotting 
    Species Cross-Reactivity Key:
    • H-Human 
    • M-Mouse 
    • R-Rat 
    • Mk-Monkey 
    • B-Bovine 

    Product Information

    Product Usage Information

    Application Dilution
    Western Blotting 1:1000

    Storage

    Supplied in 10 mM sodium HEPES (pH 7.5), 150 mM NaCl, 100 µg/ml BSA, 50% glycerol and less than 0.02% sodium azide. Store at –20°C. Do not aliquot the antibody.

    Protocol

    Specificity / Sensitivity

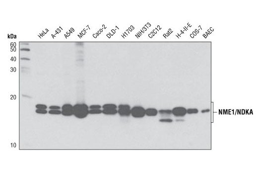
    NME1/NDKA (D18F10) Rabbit Monoclonal Antibody detects endogenous levels of total NME1/NDKA protein. This antibody is predicted to cross-react with NME2/NDKB protein.

    Species Reactivity:

    Human, Mouse, Rat, Monkey, Bovine

    Source / Purification

    Monoclonal antibody is produced by immunizing animals with a synthetic peptide corresponding to a region surrounding Pro96 of human NME1/NDKA protein.

    Background

    The NDK/NME/NM23 kinase family (encoded by the NME gene family) consists of at least eight distinct proteins that exhibit different cellular localization (1). Members of this group inhibit metastasis in a variety of tumor cell types (2). All NDK/NME/NM23 proteins possess nucleoside diphosphatase kinase (NDK) activity and catalyze the phosphorylation of nucleoside diphosphate to the corresponding nucleoside triphosphate to regulate a diverse array of cellular events (3). At least four classes of NDK biochemical activities have been described, including protein-protein interactions (4-6), regulation of GTP-binding protein function (7-9), DNA-associated activities (10,11), and histidine-dependent protein phosphotransferase activity (12). NDK/NME proteins participate in the regulation of a broad spectrum of cellular responses, including development, differentiation, proliferation, endocytosis, and apoptosis (13). Because of its role in metastasis suppression and oncogenesis, NDKA (NME1/NM23-H1) has been widely studied (14). NDKA (NM23-H1) and NDKB (NM23-H2) are encoded by adjacent NME1 and NME2 genes and share 90% sequence identity. Two serine residues (Ser122 and Ser144) on NDKA/NM23-H1 can be phosphorylated by AMPKα1, but only phosphorylation at Ser122 determines whether NDKA channels ATP to AMPKα1. This regulates AMPKα1 activity towards ACC1, an important regulator of fatty acid metabolism (15). Mutation of NDKB/NM23-H2 at Ser122 (S122P) in melanoma cells results in altered phosphoryl transfer activity (16).
    1. Lacombe, M.L. et al. (2000) J Bioenerg Biomembr 32, 247-58.
    2. Tee, Y.T. et al. (2006) Taiwan J Obstet Gynecol 45, 107-13.
    3. Ishikawa, N. et al. (2003) J Bioenerg Biomembr 35, 7-18.
    4. Paravicini, G. et al. (1996) Biochem Biophys Res Commun 227, 82-7.
    5. Reymond, A. et al. (1999) Oncogene 18, 7244-52.
    6. Subramanian, C. et al. (2001) Nat Med 7, 350-5.
    7. Zhu, J. et al. (1999) Proc Natl Acad Sci USA 96, 14911-8.
    8. Otsuki, Y. et al. (2001) Proc Natl Acad Sci USA 98, 4385-90.
    9. Palacios, F. et al. (2002) Nat Cell Biol 4, 929-36.
    10. Fan, Z. et al. (2003) Cell 112, 659-72.
    11. Postel, E.H. (2003) J Bioenerg Biomembr 35, 31-40.
    12. Wagner, P.D. and Vu, N.D. (2000) Biochem J 346 Pt 3, 623-30.
    13. Kimura, N. et al. (2000) J Bioenerg Biomembr 32, 309-15.
    14. Steeg, P.S. (2004) J Natl Cancer Inst 96, E4.
    15. Crawford, R.M. et al. (2006) Mol Cell Biol 26, 5921-31.
    16. Schaertl, S. et al. (1999) J Biol Chem 274, 20159-64.

    Alternate Names

    AWD; epididymis secretory sperm binding protein; GAAD; Granzyme A-activated DNase; Metastasis inhibition factor nm23; NB; NBS; NDK A; NDKA; NDP kinase A; NDPK-A; NDPKA; NM23; nm23-H1; NME/NM23 nucleoside diphosphate kinase 1; NME1; NME1A; non-metastatic cells 1, protein (NM23A) expressed in; Nucleoside diphosphate kinase A; Tumor metastatic process-associated protein

    For Research Use Only. Not for Use in Diagnostic Procedures.
    Cell Signaling Technology is a trademark of Cell Signaling Technology, Inc.
    All other trademarks are the property of their respective owners. Visit our Trademark Information page.