Cell Signaling Technology Logo - Extra Large
Trial Size Available Flag
Recombinant Flag
Recombinant: Superior lot-to-lot consistency, continuous supply, and animal-free manufacturing.

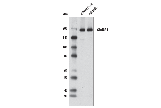
NMDA Receptor 2B (GluN2B) (D8E10) Rabbit Monoclonal Antibody #14544

Filter:
  • WB
  • IP

    Product Specifications

    REACTIVITY M R
    SENSITIVITY Endogenous
    MW (kDa) 190
    Source/Isotype Rabbit IgG
    Application Key:
    • WB-Western Blotting 
    • IP-Immunoprecipitation 
    Species Cross-Reactivity Key:
    • M-Mouse 
    • R-Rat 

    Product Information

    Product Usage Information

    Application Dilution
    Western Blotting 1:1000
    Immunoprecipitation 1:50

    Storage

    Supplied in 10 mM sodium HEPES (pH 7.5), 150 mM NaCl, 100 µg/ml BSA, 50% glycerol and less than 0.02% sodium azide. Store at –20°C. Do not aliquot the antibody.

    实验步骤

    Specificity / Sensitivity

    NMDA Receptor 2B (GluN2B) (D8E10) Rabbit Monoclonal Antibody recognizes endogenous levels of total NMDA Receptor 2B (GluN2B) protein.

    Species Reactivity:

    Mouse, Rat

    The antigen sequence used to produce this antibody shares 100% sequence homology with the species listed here, but reactivity has not been tested or confirmed to work by CST. Use of this product with these species is not covered under our Product Performance Guarantee.

    Species predicted to react based on 100% sequence homology:

    Human

    Source / Purification

    Monoclonal antibody is produced by immunizing animals with a synthetic peptide corresponding to residues surrounding Asp1253 of human NMDA Receptor 2B (GluN2B) protein.

    Background

    N-methyl-D-aspartate receptor (NMDAR) forms a heterodimer of at least one NR1 and one NR2A-D subunit. Multiple receptor isoforms with distinct brain distributions and functional properties arise by selective splicing of the NR1 transcripts and differential expression of the NR2 subunits. NR1 subunits bind the co-agonist glycine and NR2 subunits bind the neurotransmitter glutamate. Activation of the NMDA receptor or opening of the ion channel allows flow of Na+ and Ca2+ ions into the cell, and K+ out of the cell (1). Each subunit has a cytoplasmic domain that can be directly modified by the protein kinase/phosphatase (2). PKC can phosphorylate the NR1 subunit (NMDAR1) of the receptor at Ser890/Ser896, and PKA can phosphorylate NR1 at Ser897 (3). The phosphorylation of NR1 by PKC decreases its affinity for calmodulin, thus preventing the inhibitory effect of calmodulin on NMDAR (4). The phosphorylation of NR1 by PKA probably counteracts the inhibitory effect of calcineurin on the receptor (5). NMDAR mediates long-term potentiation and slow postsynaptic excitation, which play central roles in learning, neurodevelopment, and neuroplasticity (6).
    EphrinB2 binding to the receptor EphB leads to the activation of Src family tyrosine kinases, which phosphorylate NMDAR2B at Tyr1252, Tyr1336 and Tyr1472. In turn, phosphorylated NMDAR2B enhances the ability of the functional NMDA receptor to regulate Ca2+ influx in response to glutamate (7).

    Alternate Names

    EIEE27; GluN2B; Glutamate [NMDA] receptor subunit epsilon-2; glutamate ionotropic receptor NMDA type subunit 2B; Glutamate receptor ionotropic, NMDA 2B; glutamate receptor subunit epsilon-2; glutamate receptor, ionotropic, N-methyl D-aspartate 2B; GRIN2B; hNR3; MGC142178; MGC142180; MRD6; N-methyl D-aspartate receptor subtype 2B; N-methyl-D-aspartate receptor subunit 3; NMDAR2B; NMDE2; NR2B; NR3

    For Research Use Only. Not for Use in Diagnostic Procedures.
    Cell Signaling Technology is a trademark of Cell Signaling Technology, Inc.
    All other trademarks are the property of their respective owners. Visit our Trademark Information page.