Cell Signaling Technology Logo - Extra Large
Trial Size Available Flag
Recombinant Flag
Recombinant: Superior lot-to-lot consistency, continuous supply, and animal-free manufacturing.

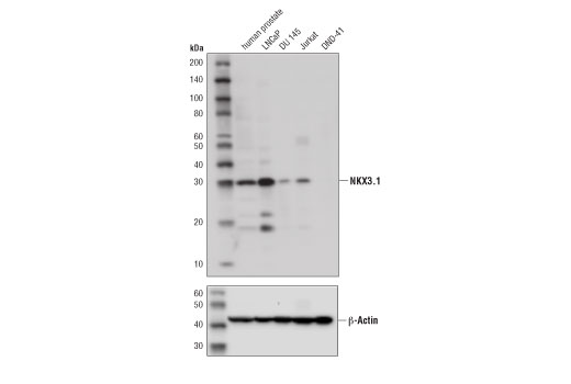
NKX3.1 (D6D2Z) Rabbit Monoclonal Antibody #92998

Filter:
  • WB
  • IHC

    Product Specifications

    REACTIVITY H
    SENSITIVITY Endogenous
    MW (kDa) 30
    Source/Isotype Rabbit IgG
    Application Key:
    • WB-Western Blotting 
    • IHC-Immunohistochemistry 
    Species Cross-Reactivity Key:
    • H-Human 

    Product Information

    Product Usage Information

    Application Dilution
    Western Blotting 1:1000
    Immunohistochemistry (Paraffin) 1:250

    Storage

    Supplied in 10 mM sodium HEPES (pH 7.5), 150 mM NaCl, 100 µg/ml BSA, 50% glycerol and less than 0.02% sodium azide. Store at –20°C. Do not aliquot the antibody.

    For a carrier free (BSA and azide free) version of this product see product #32253.

    实验步骤

    Specificity / Sensitivity

    NKX3.1 (D6D2Z) Rabbit Monoclonal Antibody recognizes endogenous levels of total NKX3.1 protein.

    Species Reactivity:

    Human

    Source / Purification

    Monoclonal antibody is produced by immunizing animals with recombinant protein specific to the amino terminus of human NKX3.1 protein. The epitope is near the amino terminus, in a region that is 100% conserved between isoforms 1 and 5 of human NKX3.1.

    Background

    NKX3.1 is a homeobox transcription factor that in mammals plays a defining role in embryonic prostate morphogenesis. The expression of mammalian NKX3.1 is androgen-dependent, restricted primarily to developing and mature prostate epithelium, and is frequently reduced or lost in prostate cancer (1-3). The human NKX3.1 gene is located on chromsome 8p21.2, within a region that shows loss of heterozygosity (LOH) in >50% of prostate cancer cases (2). Allelic loss at the NKX3.1 locus is also common in high grade Prostate Intraepithelial Neoplasia (PIN), thought to be a putative precursor lesion to invasive prostate adenocarcinomas, suggesting that LOH at the NKX3.1 locus is a critical early step in prostate cancer development (4). Notably, the remaining NKX3.1 allele is intact in the majority of LOH cases, leading to the suggestion that NKX3.1 functions as a haploinsufficient tumor suppressor (4-6). Due to its highly restricted expression in prostate epithelial cells, NKX3.1 has been suggested as a diagnostic marker of prostate carcinoma (7), and may have additional utility as a biomarker of metastatic lesions originating in the prostate (8).

    Alternate Names

    BAPX2; Homeobox protein NK-3 homolog A; Homeobox protein Nkx-3.1; NK homeobox, family 3, A; NK3 homeobox 1; NK3 transcription factor homolog A; NK3 transcription factor related, locus 1; NKX3; NKX3-1; NKX3.1; NKX31; NKX3A

    For Research Use Only. Not for Use in Diagnostic Procedures.
    Cell Signaling Technology is a trademark of Cell Signaling Technology, Inc.
    SignalStain is a registered trademark of Cell Signaling Technology, Inc.
    All other trademarks are the property of their respective owners. Visit our Trademark Information page.