Render Target: STATIC
Render Timestamp:
5/25/2026, 9:16:02 PM EDT
5/26/2026, 1:16:02 AM UTC
Commit: 7ed46ecc04b401f23a28df741b5078df405d23e4
XML generation date: 2026-01-05 22:01:08.471
Product last modified at: 2026-03-20T08:04:27.507Z
Cell Signaling Technology Logo - Extra Large
1% for the planet logo
PDP - Template Name: Monoclonal Antibody
PDP - Template ID: *******c5e4b77
Recombinant Flag
Recombinant: Superior lot-to-lot consistency, continuous supply, and animal-free manufacturing.

NEDD8 (19E3) Rabbit Monoclonal Antibody (BSA and Azide Free) #42039

Filter:
  • WB
  • IHC

    Product Specifications

    REACTIVITY H M R Mk
    SENSITIVITY Endogenous
    MW (kDa) 9
    Source/Isotype Rabbit IgG
    Application Key:
    • WB-Western Blotting 
    • IHC-Immunohistochemistry 
    Species Cross-Reactivity Key:
    • H-Human 
    • M-Mouse 
    • R-Rat 
    • Mk-Monkey 

    Product Information

    Product Usage Information

    This product is the carrier free version of product #2754. All data were generated using the same antibody clone in the standard formulation which contains BSA and glycerol.

    This formulation is ideal for use with technologies requiring specialized or custom antibody labeling, including fluorophores, metals, lanthanides, and oligonucleotides. It is not recommended for ChIP, ChIP-seq, CUT&RUN or CUT&Tag assays. If you require a carrier free formulation for chromatin profiling, please contact us. Optimal dilutions/concentrations should be determined by the end user.

    BSA and Azide Free antibodies are quality control tested by size exclusion chromatography (SEC) to determine antibody integrity.

    Formulation

    Supplied in 1X PBS (10 mM Na2HPO4, 3 mM KCl, 2 mM KH2PO4, and 140 mM NaCl (pH 7.8)). BSA and Azide Free.

    For standard formulation of this product see product #2754

    Storage

    Store at -20°C. This product will freeze at -20°C so it is recommended to aliquot into single-use vials to avoid multiple freeze/thaw cycles. A slight precipitate may be present and can be dissolved by gently vortexing. This will not interfere with antibody performance.

    Specificity / Sensitivity

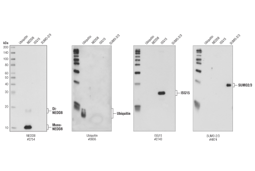
    NEDD8 (19E3) Rabbit Monoclonal Antibody (BSA and Azide Free) detects endogenous levels of both free and conjugated NEDD8 protein. This antibody does not cross-react with other ubiquitin family members, including ubiquitin, SUMO-1, SUMO-2, SUMO-3 and ISG15.

    Species Reactivity:

    Human, Mouse, Rat, Monkey

    The antigen sequence used to produce this antibody shares 100% sequence homology with the species listed here, but reactivity has not been tested or confirmed to work by CST. Use of this product with these species is not covered under our Product Performance Guarantee.

    Species predicted to react based on 100% sequence homology:

    Xenopus, Zebrafish, Bovine

    Source / Purification

    Monoclonal antibody is produced by immunizing animals with a synthetic peptide corresponding to amino acids at the amino terminus of human NEDD8 protein.

    Background

    Neural precursor cell-expressed developmentally downregulated protein 8 (NEDD8), also known as Rub1 (related to ubiquitin 1) in plants and yeast, is a member of the ubiquitin-like protein family (1,2). The covalent attachment of NEDD8 to target proteins, termed neddylation, is a reversible, multi-step process analogous to ubiquitination. NEDD8 is first synthesized in a precursor form with a carboxy-terminal extension peptide that is removed by either the UCH-L3 or NEDP1/DEN1 hydrolase protein to yield a mature NEDD8 protein (3,4). Mature NEDD8 is then covalently linked to target proteins via the carboxy-terminal glycine residue in a reaction catalyzed by the APP-BP1/Uba3 heterodimer complex and Ubc12 as the E1- and E2-like enzymes, respectively (5). An E3 ligase protein, Roc1/Rbx1, is also required for neddylation of the cullin proteins (6). Protein de-neddylation is catalyzed by a number of enzymes in the cell, including a "ubiquitin-specific" protease USP21, the NEDP1/DEN1 hydrolase and the COP9/signalosome (CSN) (7,8,9). In contrast to the ubiquitin pathway, the NEDD8 modification system acts on only a few substrates and does not appear to target proteins for degradation. Neddylation of cullin proteins activates the SCF (Skp1-Cullin-F-box) E3 ubiquitin ligase complex by promoting complex formation and enhancing the recruitment of the E2-ubiquitin intermediate (10). While NEDD8 modification of VHL is not required for ubiquitination of HIF1-α, it is required for fibronectin matrix assembly (11). Mdm2-dependent neddylation of p53 inhibits its transcriptional activity (12).

    Alternate Names

    FLJ43224; MGC104393; MGC125896; MGC125897; NEDD-8; NEDD8; NEDD8 ubiquitin like modifier; Neddylin; Neural precursor cell expressed developmentally down-regulated protein 8; neural precursor cell expressed, developmentally down-regulated 8; Ubiquitin-like protein Nedd8

    For Research Use Only. Not for Use in Diagnostic Procedures.
    Cell Signaling Technology is a trademark of Cell Signaling Technology, Inc.
    All other trademarks are the property of their respective owners. Visit our Trademark Information page.