Cell Signaling Technology Logo - Extra Large
Trial Size Available Flag
Recombinant Flag
Recombinant: Superior lot-to-lot consistency, continuous supply, and animal-free manufacturing.

Nav1.5 (D9J7S) Rabbit Monoclonal Antibody #14421

Filter:
  • WB
  • IP

    Product Specifications

    REACTIVITY H M R
    SENSITIVITY Endogenous
    MW (kDa) 230-280
    Source/Isotype Rabbit IgG
    Application Key:
    • WB-Western Blotting 
    • IP-Immunoprecipitation 
    Species Cross-Reactivity Key:
    • H-Human 
    • M-Mouse 
    • R-Rat 

    Product Information

    Product Usage Information

    Application Dilution
    Western Blotting 1:1000
    Immunoprecipitation 1:50

    Storage

    Supplied in 10 mM sodium HEPES (pH 7.5), 150 mM NaCl, 100 µg/ml BSA, 50% glycerol and less than 0.02% sodium azide. Store at –20°C. Do not aliquot the antibody.

    Protocol

    Specificity / Sensitivity

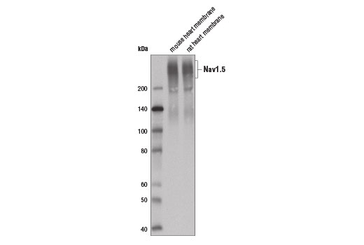
    Nav1.5 (D9J7S) Rabbit Monoclonal Antibody recognizes endogenous levels of total Nav1.5 protein. This antibody also recognizes bands at 190 and 135 kDa that are likely degradation products of Nav1.5.

    Species Reactivity:

    Human, Mouse, Rat

    Source / Purification

    Monoclonal antibody is produced by immunizing animals with a synthetic peptide corresponding to residues near the carboxy terminus of human Nav1.5 protein.

    Background

    Voltage gated sodium channels are composed of a large alpha subunit and auxiliary beta subunits. The alpha subunit has 4 homologous domains, with each domain containing 6 transmembrane segments. These segments function as the voltage sensor and sodium permeable pore. Upon change of membrane potential, the sodium channel is activated, which allows sodium ions to flow through (1,2). When associated with beta subunits or other accessory proteins, the alpha subunit is regulated at the level of cell surface expression, kinetics, and voltage dependence (3,4).

    There are 9 mammalian alpha subunits, named Nav1.1-Nav1.9 (5). These alpha subunits differ in tissue specificity and biophysical functions (6,7). Seven of these subunits are essential for the initiation and propagation of action potentials in the central and peripheral nervous system while Nav1.4 and Nav1.5 are mainly expressed in skeletal muscle and cardiac muscle (8,9). Mutations in these alpha channel subunits have been identified in patients with epilepsy, seizure, ataxia, sensitivity to pain, and cardiomyopathy (reviewed in 10).
    Nav1.5 is a type V alpha subunit. It is expressed primarily in cardiac muscle and is accountable for the initiation and propagation of the cardiac action potentials (11). Mutations in the SCN5A gene encoding Nav1.5 have been associated with arrhythmic cardiac diseases such as Brugada syndrome, long QT syndrome 3, and Progressive familial heart block 1A (PFHB1A) (12-15). Nav1.5 is also expressed in jejunal circular smooth muscle (HJCSM) cells. Research studies identified loss of function of Nav1.5 in 2% of patients with irritable bowel syndrome (9,16). Nav1.5 has multiple splice variants, several of which are expressed in the brain (17-18).
    1. Catterall, W.A. (2000) Neuron 26, 13-25.
    2. Yu, F.H. and Catterall, W.A. (2003) Genome Biol 4, 207.
    3. Isom, L.L. et al. (1994) Neuron 12, 1183-94.
    4. Yu, F.H. et al. (2003) J Neurosci 23, 7577-85.
    5. Goldin, A.L. et al. (2000) Neuron 28, 365-8.
    6. Plummer, N.W. and Meisler, M.H. (1999) Genomics 57, 323-31.
    7. Goldin, A.L. (2001) Annu Rev Physiol 63, 871-94.
    8. George, A.L. et al. (1992) Ann Neurol 31, 131-7.
    9. Ou, Y. et al. (2002) Neurogastroenterol Motil 14, 477-86.
    10. Meisler, M.H. and Kearney, J.A. (2005) J Clin Invest 115, 2010-7.
    11. Gellens, M.E. et al. (1992) Proc Natl Acad Sci U S A 89, 554-8.
    12. Wang, Q. et al. (1995) Cell 80, 805-11.
    13. Chen, Q. et al. (1998) Nature 392, 293-6.
    14. Schott, J.J. et al. (1999) Nat Genet 23, 20-1.
    15. Tan, H.L. et al. (2001) Nature 409, 1043-7.
    16. Beyder, A. et al. (2014) Gastroenterology 146, 1659-68.
    17. Wang, J. et al. (2009) Neurosci Res 64, 339-47.
    18. Ren, C.T. et al. (2012) Mol Cell Biochem 365, 139-48.

    Alternate Names

    cardiac sodium channel alpha subunit; cardiac tetrodotoxin-insensitive voltage-dependent sodium channel alpha subunit; CDCD2; CMD1E; CMPD2; HB1; HB2; HBBD; HH1; ICCD; IVF; LQT3; Nav1.5; PFHB1; SCN5A; Sodium channel protein cardiac muscle subunit alpha; Sodium channel protein type 5 subunit alpha; sodium channel protein type V alpha subunit; Sodium channel protein type V subunit alpha; sodium channel, voltage-gated, type V, alpha subunit; sodium voltage-gated channel alpha subunit 5; SSS1; VF1; Voltage-gated sodium channel subunit alpha Nav1.5

    For Research Use Only. Not for Use in Diagnostic Procedures.
    Cell Signaling Technology is a trademark of Cell Signaling Technology, Inc.
    All other trademarks are the property of their respective owners. Visit our Trademark Information page.