Render Target: STATIC
Render Timestamp:
5/20/2026, 7:48:30 PM EDT
5/20/2026, 11:48:30 PM UTC
Commit: 7ed46ecc04b401f23a28df741b5078df405d23e4
XML generation date: 2025-11-12 16:12:25.042
Product last modified at: 2026-03-20T08:06:40.660Z
Cell Signaling Technology Logo - Extra Large
1% for the planet logo
PDP - Template Name: Monoclonal Antibody
PDP - Template ID: *******c5e4b77
Trial Size Available Flag
Recombinant Flag
Recombinant: Superior lot-to-lot consistency, continuous supply, and animal-free manufacturing.

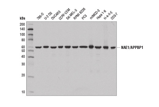
NAE1/APPBP1 (D9I4Z) Rabbit Monoclonal Antibody #14321

Filter:
  • WB

    Product Specifications

    REACTIVITY H M R Mk
    SENSITIVITY Endogenous
    MW (kDa) 60
    Source/Isotype Rabbit IgG
    Application Key:
    • WB-Western Blotting 
    Species Cross-Reactivity Key:
    • H-Human 
    • M-Mouse 
    • R-Rat 
    • Mk-Monkey 

    Product Information

    Product Usage Information

    Application Dilution
    Western Blotting 1:1000

    Storage

    Supplied in 10 mM sodium HEPES (pH 7.5), 150 mM NaCl, 100 µg/ml BSA, 50% glycerol and less than 0.02% sodium azide. Store at –20°C. Do not aliquot the antibody.

    实验步骤

    Specificity / Sensitivity

    NAE1/APPBP1 (D9I4Z) Rabbit Monoclonal Antibody recognizes endogenous levels of total NAE1/APPBP1 protein. This antibody does not cross-react with E1 activating enzymes for either ubiquitin or other ubiquitin-like proteins.

    Species Reactivity:

    Human, Mouse, Rat, Monkey

    The antigen sequence used to produce this antibody shares 100% sequence homology with the species listed here, but reactivity has not been tested or confirmed to work by CST. Use of this product with these species is not covered under our Product Performance Guarantee.

    Species predicted to react based on 100% sequence homology:

    Bovine, Dog

    Source / Purification

    Monoclonal antibody is produced by immunizing animals with a synthetic peptide corresponding to residues surrounding Ala179 of human NAE1/APPBP1 protein.

    Background

    Similar to ubiquitin, NEDD8 is covalently linked to target proteins through an enzymatic cascade composed of NEDD8-specific E1 (activating)- and E2 (conjugating)-enzymes (1,2). The E2 ligase specific for NEDD8 is Ubc12 (3-5). Ubc12 forms a heterodimeric conjugate with NEDD8 in order to catalyze the transfer of NEDD8 from E1 to lysine side chains of target proteins (1,2). Well known targets of NEDD8 are cullin-based RING E3 ligases. Neddylation of cullin isoforms activates the related ubiquitin E3 complex by promoting its interaction with a cognate ubiquitin-E2 ligase (6-7). Neddylation of Cul-1 complexes containing βTrCP and SKP2 has been shown to be required for controlling the stability of important signaling targets such as IκB, NF-κB, and p27 Kip (8-10), thereby regulating cell cycle progression, signaling cascades, and developmental programming processes (11).
    NAE1/APPBP1 (NEDD8-Activating Enzyme 1/Amyloid Beta Precursor Protein Binding Protein 1) exists in a heterodimeric complex with UBA3. This complex functions as an E1 NEDD8-activating enzyme, which utilizes ATP to adenylate the C-terminal glycine of NEDD8 (12-14). Research studies suggest that inhibition of the APPBP1-UBA3 complex may be of therapeutic value for the treatment of human cancers (15,16).

    Alternate Names

    A-116A10.1; amyloid beta precursor protein binding protein 1, 59kDa; Amyloid beta precursor protein-binding protein 1, 59 kDa; amyloid beta precursor protein-binding protein 1, 59kD; Amyloid protein-binding protein 1; APP-BP1; APPBP1; HPP1; NAE1; NEDD8 activating enzyme E1 subunit 1; NEDD8-activating enzyme E1 regulatory subunit; NEDD8-activating enzyme E1 subunit; Proto-oncogene protein 1; protooncogene protein 1; ula-1; ULA1

    For Research Use Only. Not for Use in Diagnostic Procedures.
    Cell Signaling Technology is a trademark of Cell Signaling Technology, Inc.
    All other trademarks are the property of their respective owners. Visit our Trademark Information page.