Render Target: STATIC
Render Timestamp:
5/19/2026, 9:02:33 PM EDT
5/20/2026, 1:02:33 AM UTC
Commit: 7ed46ecc04b401f23a28df741b5078df405d23e4
XML generation date: 2026-02-24 18:32:01.918
Product last modified at: 2026-03-20T08:10:03.042Z
Cell Signaling Technology Logo - Extra Large
1% for the planet logo
PDP - Template Name: Monoclonal Antibody
PDP - Template ID: *******c5e4b77
Trial Size Available Flag
Recombinant Flag
Recombinant: Superior lot-to-lot consistency, continuous supply, and animal-free manufacturing.

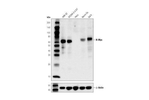
N-Myc (D1V2A) Rabbit Monoclonal Antibody #84406

Filter:
  • WB
  • IP
  • IF
  • F
  • ChIP
  • C&R

    Product Specifications

    REACTIVITY H M
    SENSITIVITY Endogenous
    MW (kDa) 62
    Source/Isotype Rabbit IgG
    Application Key:
    • WB-Western Blotting 
    • IP-Immunoprecipitation 
    • IF-Immunofluorescence 
    • F-Flow Cytometry 
    • ChIP-Chromatin Immunoprecipitation 
    • C&R-CUT & RUN 
    Species Cross-Reactivity Key:
    • H-Human 
    • M-Mouse 

    Product Information

    Product Usage Information

    For optimal ChIP and ChIP-seq results, use 10 μl of antibody and 10 μg of chromatin (approximately 4 x 106 cells) per IP. This antibody has been validated using SimpleChIP® Enzymatic Chromatin IP Kits.

    The CUT&RUN dilution was determined using CUT&RUN Assay Kit #86652.

    Application Dilution
    Western Blotting 1:1000
    Immunoprecipitation 1:200
    Immunofluorescence (Immunocytochemistry) 1:100 - 1:400
    Flow Cytometry (Fixed/Permeabilized) 1:200 - 1:800
    Chromatin IP 1:50
    Chromatin IP-seq 1:50
    CUT&RUN 1:50

    Storage

    Supplied in 10 mM sodium HEPES (pH 7.5), 150 mM NaCl, 100 µg/ml BSA, 50% glycerol and less than 0.02% sodium azide. Store at –20°C. Do not aliquot the antibody.

    For a carrier free (BSA and azide free) version of this product see product #51063.

    实验步骤

    Specificity / Sensitivity

    N-Myc (D1V2A) Rabbit Monoclonal Antibody recognizes endogenous levels of total N-Myc protein.

    Species Reactivity:

    Human, Mouse

    Source / Purification

    Monoclonal antibody is produced by immunizing animals with a synthetic peptide corresponding to residues surrounding Pro335 of human N-Myc protein.

    Background

    Members of the Myc/Max/Mad network function as transcriptional regulators with roles in various aspects of cell behavior, including proliferation, differentiation, and apoptosis (1). These proteins share a common basic-helix-loop-helix leucine zipper (bHLH-ZIP) motif required for dimerization and DNA-binding. Max was originally discovered based on its ability to associate with c-Myc and found to be required for the ability of Myc to bind DNA and activate transcription (2). Subsequently, Max has been viewed as a central component of the transcriptional network, forming homodimers as well as heterodimers with other members of the Myc and Mad families (1). The association between Max and either Myc or Mad can have opposing effects on transcriptional regulation and cell behavior (1). The Mad family consists of four related proteins; Mad1, Mad2 (Mxi1), Mad3, and Mad4, and the more distantly related members of the bHLH-ZIP family, Mnt and Mga. Like Myc, the Mad proteins are tightly regulated with short half-lives. In general, Mad family members interfere with Myc-mediated processes, such as proliferation, transformation, and prevention of apoptosis by inhibiting transcription (3,4).

    In humans the Myc family consists of 5 genes: c-Myc, N-Myc, L-Myc, R-Myc, and B-Myc. While c-Myc is expressed in many proliferating cells, N-Myc expression is very restricted, with highest levels in during embryonic development and then in the adult during B-cell development. These expression patterns and results from targeted deletion of N-Myc suggest that N-Myc plays an important role in tissue development and differentiation (5). In addition, amplification or overexpression of N-Myc has been found in human neuroblastomas and is associated with rapid progression and poor prognosis (6,7).

    Alternate Names

    BHLHE37; Class E basic helix-loop-helix protein 37; MODED; MYCN; MYCN proto-oncogene, bHLH transcription factor; N-myc; N-myc proto-oncogene protein; neuroblastoma MYC oncogene; neuroblastoma-derived v-myc avian myelocytomatosis viral related oncogene; NMYC; ODED; oncogene NMYC; pp65/67; v-myc avian myelocytomatosis viral oncogene neuroblastoma derived homolog; v-myc avian myelocytomatosis viral related oncogene, neuroblastoma derived; v-myc myelocytomatosis viral related oncogene, neuroblastoma derived (avian)

    For Research Use Only. Not for Use in Diagnostic Procedures.
    Cell Signaling Technology is a trademark of Cell Signaling Technology, Inc.
    Alexa Fluor is a registered trademark of Life Technologies Corporation.
    All other trademarks are the property of their respective owners. Visit our Trademark Information page.