Cell Signaling Technology Logo - Extra Large
Trial Size Available Flag
Recombinant Flag
Recombinant: Superior lot-to-lot consistency, continuous supply, and animal-free manufacturing.

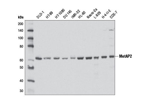
MetAP2 (D3I1H) Rabbit Monoclonal Antibody #12547

Filter:
  • WB

    Product Specifications

    REACTIVITY H M R Mk
    SENSITIVITY Endogenous
    MW (kDa) 63
    Source/Isotype Rabbit IgG
    Application Key:
    • WB-Western Blotting 
    Species Cross-Reactivity Key:
    • H-Human 
    • M-Mouse 
    • R-Rat 
    • Mk-Monkey 

    Product Information

    Product Usage Information

    Application Dilution
    Western Blotting 1:1000

    Storage

    Supplied in 10 mM sodium HEPES (pH 7.5), 150 mM NaCl, 100 µg/ml BSA, 50% glycerol and less than 0.02% sodium azide. Store at –20°C. Do not aliquot the antibody.

    实验步骤

    Specificity / Sensitivity

    MetAP2 (D3I1H) Rabbit Monoclonal Antibody recognizes endogenous levels of total MetAP2 protein. Based upon sequence alignment, this antibody is not predicted to cross-react with MetAP1.

    Species Reactivity:

    Human, Mouse, Rat, Monkey

    The antigen sequence used to produce this antibody shares 100% sequence homology with the species listed here, but reactivity has not been tested or confirmed to work by CST. Use of this product with these species is not covered under our Product Performance Guarantee.

    Species predicted to react based on 100% sequence homology:

    Hamster, Dog, Pig, Horse

    Source / Purification

    Monoclonal antibody is produced by immunizing animals with a synthetic peptide corresponding to residues surrounding Gly390 of human MetAP2 protein.

    Background

    Eukaryotic initiation factor 2 (eIF2)-associated glycoprotein, p67/methionine aminopeptidase 2 (MetAP2) is one of the three known MetAPs responsible for the co-translational processing of the N-terminal initiator methionine from nascent proteins in cells. MetAP2 regulates the rates of global protein synthesis by controlling the levels of eIF2α phosphorylation (1). MetAP2 has also been shown to bind Erk1/2 to inhibit their activation and activity, thus connecting the protein synthesis machinery with the cell signaling pathway mediated by Erk1/2 MAP kinases (2-4). Although MetAP2 is characterized as having aminopeptidase activity that removes the N-terminal methionine from nascent peptides in vitro, mounting evidence suggests that MetAP2 has no methionine aminopeptidase activity. Rather, MetAP2 possesses auto-proteolytic activity that can be inhibited by several small molecule inhibitors including anti-angiogenic drugs, fumagillin and its derivatives (5). It has also been demonstrated that O-GlcNAcylation of MetAP2 plays a major role in its stability, eIF2α binding, and maintenance of eIF2α phosphorylation (6).

    MetAP2 knockout mice show embryonic lethality, suggesting its role in embryonic development and survival at the initiation of gastrulation (7). It is likely that lowering the levels of MetAP2 in mammalian cells causes cell growth inhibition and leads to apoptosis due to the high levels of eIF2α phosphorylation that inhibits global protein synthesis (8). During pathological or various stress conditions, MetAP2 dissociates from eIF2 subunits possibly due to its deglycosylation-induced autoproteolytic cleavage. As a result, eIF2α becomes hyperphosphorylated and global protein synthesis is inhibited. eIF2 complex-dissociated MetAP2 also displays a higher affinity toward Erk1/2, which results in the blockade of Erk1/2 activity. Thus, MetAP2 mediates cooperation between cell signaling and protein synthesis machinery to regulate cell growth and proliferation during physiological and pathological conditions (9). Research studies have shown higher expression of MetAP2 in human cancers, supporting the contention that MetAP2 plays a role in oncogenesis. For example, investigators have reported high MetAP2 expression in follicular lymphomas, large B-cell lymphomas, and Burkitt's lymphomas (10). Elevated expression of MetAP2 has also been reported in human colorectal adenocarcinomas (11).

    Alternate Names

    AMPM2; eIF-2-associated p67 homolog; Initiation factor 2-associated 67 kDa glycoprotein; MAP 2; MAP2; MetAP 2; METAP2; Methionine aminopeptidase 2; methionyl aminopeptidase 2; MNPEP; p67; P67EIF2; Peptidase M; Peptidase M 2; testicular tissue protein Li 17

    For Research Use Only. Not for Use in Diagnostic Procedures.
    Cell Signaling Technology is a trademark of Cell Signaling Technology, Inc.
    All other trademarks are the property of their respective owners. Visit our Trademark Information page.