Render Target: STATIC
Render Timestamp:
5/26/2026, 8:50:32 PM EDT
5/27/2026, 12:50:32 AM UTC
Commit: 7ed46ecc04b401f23a28df741b5078df405d23e4
XML generation date: 2026-02-06 17:51:32.436
Product last modified at: 2026-03-20T08:06:32.684Z
Cell Signaling Technology Logo - Extra Large
1% for the planet logo
PDP - Template Name: Monoclonal Antibody
PDP - Template ID: *******c5e4b77
Trial Size Available Flag
Recombinant Flag
Recombinant: Superior lot-to-lot consistency, continuous supply, and animal-free manufacturing.

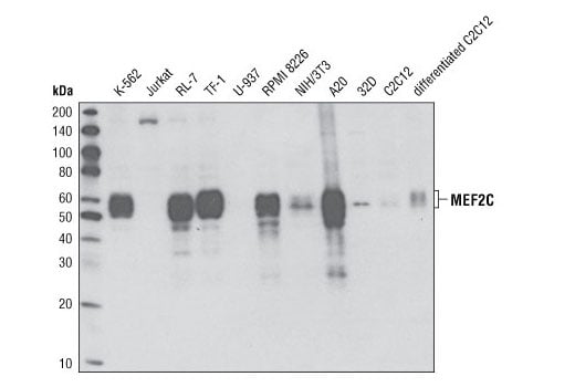
MEF2C (D80C1) Rabbit Monoclonal Antibody #5030

Filter:
  • WB
  • IP
  • IF

    Product Specifications

    REACTIVITY H M
    SENSITIVITY Endogenous
    MW (kDa) 50-60
    Source/Isotype Rabbit IgG
    Application Key:
    • WB-Western Blotting 
    • IP-Immunoprecipitation 
    • IF-Immunofluorescence 
    Species Cross-Reactivity Key:
    • H-Human 
    • M-Mouse 

    Product Information

    Product Usage Information

    Application Dilution
    Western Blotting 1:1000
    Immunoprecipitation 1:50
    Immunofluorescence (Immunocytochemistry) 1:400

    Storage

    Supplied in 10 mM sodium HEPES (pH 7.5), 150 mM NaCl, 100 µg/ml BSA, 50% glycerol and less than 0.02% sodium azide. Store at –20°C. Do not aliquot the antibody.

    实验步骤

    Specificity / Sensitivity

    MEF2C (D80C1) Rabbit Monoclonal Antibody detects endogenous levels of total MEF2C protein.

    Species Reactivity:

    Human, Mouse

    Source / Purification

    Monoclonal antibody is produced by immunizing animals with a synthetic peptide corresponding to a region surrounding Met182 of human MEF2C protein.

    Background

    MEF2C is a member of the MEF2 (myocyte enhancer factor 2) family of transcription factors. In mammals, there are four MEF2C-related genes (MEF2A, MEF2B, MEF2C and MEF2D) that encode proteins that exhibit significant amino acid sequence similarity within their DNA binding domains and, to a lesser extent, throughout the rest of the proteins (1). The MEF2 family members were originally described as muscle-specific DNA binding proteins that recognize MEF2 motifs found within the promoters of many muscle-specific genes (2,3). Recently, several groups have reported MEF2 binding activity and MEF2 proteins in a wide variety of cell types where these proteins appear to play an important role in growth factor- and stress-induced early gene responses (4-6).

    Alternate Names

    C5DELq14.3; DEL5q14.3; MADS box transcription enhancer factor 2, polypeptide C; MADS box transcription enhancer factor 2, polypeptide C (myocyte enhancer factor 2C); MEF2C; myocyte enhancer factor 2C; Myocyte-specific enhancer factor 2C

    For Research Use Only. Not for Use in Diagnostic Procedures.
    Cell Signaling Technology is a trademark of Cell Signaling Technology, Inc.
    All other trademarks are the property of their respective owners. Visit our Trademark Information page.