Cell Signaling Technology Logo - Extra Large

MED12 Antibody #4529

Filter:
  • WB
  • IP

    Product Specifications

    REACTIVITY H M R Mk
    SENSITIVITY Endogenous
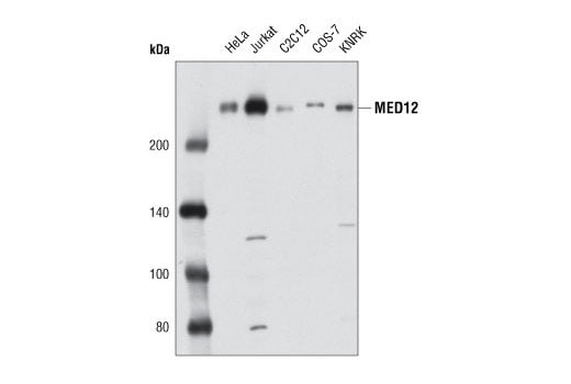
    MW (kDa) 240
    SOURCE Rabbit
    Application Key:
    • WB-Western Blotting 
    • IP-Immunoprecipitation 
    Species Cross-Reactivity Key:
    • H-Human 
    • M-Mouse 
    • R-Rat 
    • Mk-Monkey 

    Product Information

    Product Usage Information

    Application Dilution
    Western Blotting 1:1000
    Immunoprecipitation 1:50

    Storage

    Supplied in 10 mM sodium HEPES (pH 7.5), 150 mM NaCl, 100 µg/ml BSA and 50% glycerol. Store at –20°C. Do not aliquot the antibody.

    实验步骤

    Specificity / Sensitivity

    MED12 Antibody recognizes endogenous levels of total MED12 protein.

    Species Reactivity:

    Human, Mouse, Rat, Monkey

    The antigen sequence used to produce this antibody shares 100% sequence homology with the species listed here, but reactivity has not been tested or confirmed to work by CST. Use of this product with these species is not covered under our Product Performance Guarantee.

    Species predicted to react based on 100% sequence homology:

    Hamster, Bovine, Pig, Horse

    Source / Purification

    Polyclonal antibodies are produced by immunizing animals with a synthetic peptide corresponding to residues near the carboxy terminus of human MED12 protein. Antibodies are purified by protein A and peptide affinity chromatography.

    Background

    The mediator complex consists of about 25-30 proteins and is thought to facilitate transcription activation by acting as a molecular bridge between the RNA polymerase II (RNAPII) machinery and transcription factors (1). Mediator is recruited to target genes by transcription factors and plays an essential role in the recruitment and stabilization of the RNAPII transcription complex at promoters, as well as the activation of transcription post RNAPII recruitment (1-5). The mediator complex also plays an important role in creating ‘chromatin loops’ that occur as a result of interactions between the transcription factor bound at distal enhancers and RNAPII bound at the proximal promoter and works to sustain proper chromatin architecture during active transcription (6-8).

    MED12 is part of the CDK8 submodule of the Mediator complex and is required for the stable interaction of this module with the rest of the Mediator complex (1,9). The CDK8 module has been shown to be both a negative and positive regulator of transcription depending on the gene context. The CDK8 module may repress transcription by inhibiting the ability of Mediator to recruit RNAPII (10). In addition, the MED12 subunit can recruit the methyltransferase G9a to methylate histone H3K9 to repress a subset of neuronal genes in non-neuronal cells (11). MED12 and the CDK8 module can also positively regulate transcription of Wnt-responsive genes through its interaction with β-catenin, and p53-regulated genes upon UV-induced DNA damage (1,9,12).

    Alternate Names

    Activator-recruited cofactor 240 kDa component; ARC240; CAG repeat protein 45; CAGH45; FGS1; HOPA; human opposite paired; KIAA0192; Kohtalo homolog; Kto; MED12; MED12S; Mediator complex subunit 12; Mediator of RNA polymerase II transcription subunit 12; mediator of RNA polymerase II transcription, subunit 12 homolog; OHDOX; OKS; OPA-containing protein; OPA1; putative mediator subunit 12; Thyroid hormone receptor-associated protein complex 230 kDa component; thyroid hormone receptor-associated protein, 230 kDa subunit; TNRC11; TRAP230; trinucleotide repeat containing 11 (THR-associated protein, 230 kDa subunit); Trinucleotide repeat-containing gene 11 protein

    For Research Use Only. Not for Use in Diagnostic Procedures.
    Cell Signaling Technology is a trademark of Cell Signaling Technology, Inc.
    All other trademarks are the property of their respective owners. Visit our Trademark Information page.