Render Target: STATIC
Render Timestamp:
5/19/2026, 7:59:20 PM EDT
5/19/2026, 11:59:20 PM UTC
Commit: 7ed46ecc04b401f23a28df741b5078df405d23e4
XML generation date: 2025-11-13 17:58:39.957
Product last modified at: 2026-03-20T08:03:17.469Z
Cell Signaling Technology Logo - Extra Large
1% for the planet logo
PDP - Template Name: Polyclonal Antibody
PDP - Template ID: *******59c6464

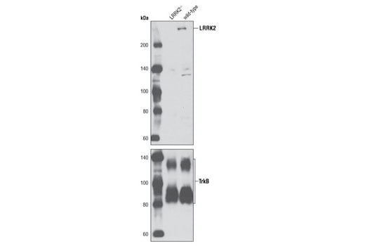
LRRK2 Antibody #5559

Filter:
  • WB
  • IP

    Product Specifications

    REACTIVITY H M R
    SENSITIVITY Endogenous
    MW (kDa) 290
    SOURCE Rabbit
    Application Key:
    • WB-Western Blotting 
    • IP-Immunoprecipitation 
    Species Cross-Reactivity Key:
    • H-Human 
    • M-Mouse 
    • R-Rat 

    Product Information

    Product Usage Information

    Application Dilution
    Western Blotting 1:1000
    Immunoprecipitation 1:50

    Storage

    Supplied in 10 mM sodium HEPES (pH 7.5), 150 mM NaCl, 100 µg/ml BSA and 50% glycerol. Store at –20°C. Do not aliquot the antibody.

    实验步骤

    Specificity / Sensitivity

    LRRK2 Antibody detects endogenous levels of total LRRK2 protein.

    Species Reactivity:

    Human, Mouse, Rat

    Source / Purification

    Polyclonal antibodies are produced by immunizing animals with a synthetic peptide corresponding to residues surrounding Leu1848 of human LRRK2 protein. Antibodies are purified by protein A and peptide affinity chromatography.

    Background

    Parkinson’s disease (PD), the second most common neurodegenerative disease after Alzheimer’s, is a progressive movement disorder characterized by rigidity, tremors, and postural instability. The pathological hallmarks of PD are progressive loss of dopaminergic neurons in the substantia nigra of the ventral midbrain and the presence of intracellular Lewy bodies (protein aggregates of α-synuclein, ubiquitin, and other components) in surviving neurons of the brain stem (1). Research studies have shown various genes and loci are genetically linked to PD including α-synuclein/PARK1 and 4, parkin/PARK2, UCH-L1/PARK5, PINK1/PARK6, DJ-1/PARK7, LRRK2/PARK8, synphilin-1, and NR4A2 (2).
    Leucine-rich repeat kinase 2 (LRRK2) contains amino-terminal leucine-rich repeats (LRR), a Ras-like small GTP binding protein-like (ROC) domain, an MLK protein kinase domain, and a carboxy-terminal WD40 repeat domain. Research studies have linked at least 20 LRRK2 mutations to PD, with the G2019S mutation being the most prevalent (3). The G2019S mutation causes increased LRRK2 kinase activity, which induces a progressive reduction in neurite length that leads to progressive neurite loss and decreased neuronal survival (4). Researchers are currently testing the MLK inhibitor CEP-1347 in PD clinical trials, indicating the potential value of LRRK2 as a therapeutic target for treatment of PD (5).

    Alternate Names

    augmented in rheumatoid arthritis 17; AURA17; Dardarin; leucine rich repeat kinase 2; leucine-rich repeat kinase 2; Leucine-rich repeat serine/threonine-protein kinase 2; LRRK2; PARK8; RIPK7; ROCO2

    For Research Use Only. Not for Use in Diagnostic Procedures.
    Cell Signaling Technology is a trademark of Cell Signaling Technology, Inc.
    All other trademarks are the property of their respective owners. Visit our Trademark Information page.