Cell Signaling Technology Logo - Extra Large

Lamin A/C Antibody #2032

Filter:
  • WB
  • IHC

    Product Specifications

    REACTIVITY H M R
    SENSITIVITY Endogenous
    MW (kDa) 28, 70
    SOURCE Rabbit
    Application Key:
    • WB-Western Blotting 
    • IHC-Immunohistochemistry 
    Species Cross-Reactivity Key:
    • H-Human 
    • M-Mouse 
    • R-Rat 

    Product Information

    Product Usage Information

    Application Dilution
    Western Blotting 1:1000
    Immunohistochemistry (Paraffin) 1:300 - 1:1200

    Storage

    Supplied in 10 mM sodium HEPES (pH 7.5), 150 mM NaCl, 100 µg/ml BSA and 50% glycerol. Store at –20°C. Do not aliquot the antibody.

    实验步骤

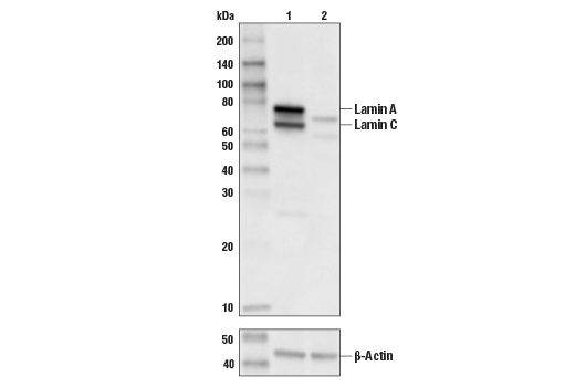
    Specificity / Sensitivity

    Lamin A/C Antibody detects endogenous levels of total full length lamin A (and lamin C) (70 kDa), as well as the small fragment of lamin A (and lamin C) resulting from cleavage at aspartic acid 230 (28 kDa).

    Species Reactivity:

    Human, Mouse, Rat

    The antigen sequence used to produce this antibody shares 100% sequence homology with the species listed here, but reactivity has not been tested or confirmed to work by CST. Use of this product with these species is not covered under our Product Performance Guarantee.

    Species predicted to react based on 100% sequence homology:

    Bovine

    Source / Purification

    Polyclonal antibodies are produced by immunizing animals with a synthetic peptide corresponding to residues surrounding Asp230 of human lamin A. Antibodies are purified by protein A and peptide affinity chromatography.

    Background

    Lamins are nuclear membrane structural components that are important in maintaining normal cell functions such as cell cycle control, DNA replication, and chromatin organization (1-3). Lamin A/C is cleaved by caspase-6 and serves as a marker for caspase-6 activation. During apoptosis, lamin A/C is specifically cleaved into a large (41-50 kDa) and a small (28 kDa) fragment (3,4). The cleavage of lamins results in nuclear dysregulation and cell death (5,6).

    Alternate Names

    70 kDa lamin; CDCD1; CDDC; CMD1A; CMT2B1; EMD2; epididymis secretory sperm binding protein; FPL; FPLD; FPLD2; HGPS; IDC; lamin; lamin A/C; lamin A/C-like 1; Lamin-A/C; LDP1; LFP; LGMD1B; LMN1; LMNA; LMNC; LMNL1; MADA; mandibuloacral dysplasia type A; Prelamin-A/C; PRO1; Renal carcinoma antigen NY-REN-32

    For Research Use Only. Not for Use in Diagnostic Procedures.
    Cell Signaling Technology is a trademark of Cell Signaling Technology, Inc.
    All other trademarks are the property of their respective owners. Visit our Trademark Information page.