Cell Signaling Technology Logo - Extra Large
Trial Size Available Flag

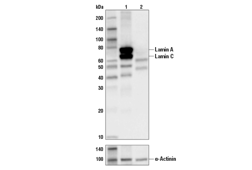
Lamin A/C (4C11) Mouse Monoclonal Antibody #4777

Filter:
  • WB
  • IP
  • IHC
  • IF
  • F

    Product Specifications

    REACTIVITY H M R Mk
    SENSITIVITY Endogenous
    MW (kDa) 74 (Lamin A), 63 (Lamin C)
    Source/Isotype Mouse IgG2a
    Application Key:
    • WB-Western Blotting 
    • IP-Immunoprecipitation 
    • IHC-Immunohistochemistry 
    • IF-Immunofluorescence 
    • F-Flow Cytometry 
    Species Cross-Reactivity Key:
    • H-Human 
    • M-Mouse 
    • R-Rat 
    • Mk-Monkey 

    Product Information

    Product Usage Information

    Application Dilution
    Western Blotting 1:2000
    Fluorescent Western 1:2000
    Simple Western™ 1:10 - 1:50
    Immunoprecipitation 1:50
    Immunohistochemistry (Paraffin) 1:100 - 1:400
    Immunofluorescence (Frozen) 1:50 - 1:200
    Immunofluorescence (Immunocytochemistry) 1:50 - 1:200
    Flow Cytometry (Fixed/Permeabilized) 1:50 - 1:200

    Storage

    Supplied in 10 mM sodium HEPES (pH 7.5), 150 mM NaCl, 100 µg/ml BSA, 50% glycerol and less than 0.02% sodium azide. Store at –20°C. Do not aliquot the antibody.

    For a carrier free (BSA and azide free) version of this product see product #34698.

    实验步骤

    Specificity / Sensitivity

    Lamin A/C (4C11) Mouse Monoclonal Antibody detects endogenous levels of lamin A and lamin C proteins. This antibody also reacts with the larger fragments of lamin A (50 kDa) and lamin C (41 kDa) produced by caspase cleavage during apoptosis. This antibody does not cross-react with lamins B1 and B2.

    Species Reactivity:

    Human, Mouse, Rat, Monkey

    Source / Purification

    Monoclonal antibody is produced by immunizing animals with a recombinant fragment of human lamin A protein.

    Background

    Lamins are nuclear membrane structural components that are important in maintaining normal cell functions such as cell cycle control, DNA replication, and chromatin organization (1-3). Lamin A/C is cleaved by caspase-6 and serves as a marker for caspase-6 activation. During apoptosis, lamin A/C is specifically cleaved into a large (41-50 kDa) and a small (28 kDa) fragment (3,4). The cleavage of lamins results in nuclear dysregulation and cell death (5,6).

    Alternate Names

    70 kDa lamin; CDCD1; CDDC; CMD1A; CMT2B1; EMD2; epididymis secretory sperm binding protein; FPL; FPLD; FPLD2; HGPS; IDC; lamin; lamin A/C; lamin A/C-like 1; Lamin-A/C; LDP1; LFP; LGMD1B; LMN1; LMNA; LMNC; LMNL1; MADA; mandibuloacral dysplasia type A; Prelamin-A/C; PRO1; Renal carcinoma antigen NY-REN-32

    For Research Use Only. Not for Use in Diagnostic Procedures.
    Cell Signaling Technology is a trademark of Cell Signaling Technology, Inc.
    All other trademarks are the property of their respective owners. Visit our Trademark Information page.