Cell Signaling Technology Logo - Extra Large
Trial Size Available Flag
Recombinant Flag
Recombinant: Superior lot-to-lot consistency, continuous supply, and animal-free manufacturing.

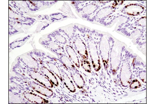
Ki-67 (D3B5) Rabbit Monoclonal Antibody (IHC Formulated) #12202

Filter:
  • IHC

    Product Specifications

    REACTIVITY M
    SENSITIVITY Endogenous
    MW (kDa)
    Source/Isotype Rabbit IgG
    Application Key:
    • IHC-Immunohistochemistry 
    Species Cross-Reactivity Key:
    • M-Mouse 

    Product Information

    Product Usage Information

    Application Dilution
    Immunohistochemistry (Paraffin) 1:200 - 1:800

    Storage

    Supplied in 10 mM sodium HEPES (pH 7.5), 150 mM NaCl, 100 µg/ml BSA, 50% glycerol and less than 0.02% sodium azide. Store at –20°C. Do not aliquot the antibody.

    For a carrier free (BSA and azide free) version of this product see product #34330.

    实验步骤

    Specificity / Sensitivity

    Ki-67 (D3B5) Rabbit Monoclonal Antibody (IHC Formulated) recognizes endogenous levels of murine Ki-67 protein. This antibody will also detect endogenous levels of human Ki-67 protein; however, Ki-67 (D2H10) Rabbit Monoclonal Antibody #9027 is recommended for the detection of human Ki-67 protein in paraffin-embedded tissues.

    Species Reactivity:

    Mouse

    Source / Purification

    Monoclonal antibody is produced by immunizing animals with a recombinant protein fragment corresponding to residues near the central region of human Ki-67 protein.

    Background

    Ki-67, named after the location where it was discovered (Kiel University, Germany), is a nuclear nonhistone protein (1) that is universally expressed among proliferating cells and absent in quiescent cells (2). Ki-67 detects proliferating cells in G1, S, G2, and mitosis, but not in the G0 resting phase. Research studies have shown that high levels of Ki-67 are associated with poorer breast cancer survival (3). Research studies have explored the use of Ki-67, along with other markers, as potential prognostic or predictive markers in breast cancer and other malignant diseases (4).

    Alternate Names

    antigen identified by monoclonal antibody Ki-67; Antigen KI-67; Antigen Ki67; KI-67; KI67; KIA; marker of proliferation Ki-67; MIB-; MIB-1; MKI67; PPP1R105; Proliferation marker protein Ki-67; proliferation-related Ki-67 antigen; protein phosphatase 1, regulatory subunit 105

    For Research Use Only. Not for Use in Diagnostic Procedures.
    Cell Signaling Technology is a trademark of Cell Signaling Technology, Inc.
    All other trademarks are the property of their respective owners. Visit our Trademark Information page.