Cell Signaling Technology Logo - Extra Large
Trial Size Available Flag
Recombinant Flag
Recombinant: Superior lot-to-lot consistency, continuous supply, and animal-free manufacturing.

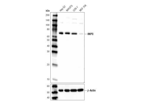
IMP3 (D6U2N) Rabbit Monoclonal Antibody #57145

Filter:
  • WB

    Product Specifications

    REACTIVITY H M Mk
    SENSITIVITY Endogenous
    MW (kDa) 70
    Source/Isotype Rabbit IgG
    Application Key:
    • WB-Western Blotting 
    Species Cross-Reactivity Key:
    • H-Human 
    • M-Mouse 
    • Mk-Monkey 

    Product Information

    Product Usage Information

    Application Dilution
    Western Blotting 1:1000

    Storage

    Supplied in 10 mM sodium HEPES (pH 7.5), 150 mM NaCl, 100 µg/ml BSA, 50% glycerol and less than 0.02% sodium azide. Store at –20°C. Do not aliquot the antibody.

    实验步骤

    Specificity / Sensitivity

    IMP3 (D6U2N) Rabbit Monoclonal Antibody recognizes endogenous levels of total IMP3 protein.

    Species Reactivity:

    Human, Mouse, Monkey

    Source / Purification

    Monoclonal antibody is produced by immunizing animals with a synthetic peptide corresponding to residues surrounding Gly572 of human IMP3 protein.

    Background

    Insulin-like growth factor-II mRNA-binding proteins (IMPs) belong to a family of zipcode-binding proteins (1,2). Three members of this family, IMP1, IMP2, and IMP3, have been identified (1,2). They contain two RNA recognition motifs, four K homology domains, and were found to function in mRNA localization, turnover, and translation control (1,2). Research studies have implicated these proteins in a variety of physiological and pathological processes, such as growth and development (3), testicular neoplasia (4), and melanocytic neoplasia (5).

    IMP3 is an oncofetal protein expressed in developing tissues as well as in many tumor types. Expression of IMP3 is a marker for poor prognosis and metastasis in a variety of cancers (6-10).

    Alternate Names

    cancer/testis antigen 98; CT98; DKFZp686F1078; hKOC; IF2B3; IGF II mRNA binding protein 3; IGF-II mRNA-binding protein 3; IGF2 mRNA-binding protein 3; IGF2BP3; IMP-3; IMP3; insulin like growth factor 2 mRNA binding protein 3; insulin-like growth factor 2 mRNA binding protein 3; Insulin-like growth factor 2 mRNA-binding protein 3; KH domain containing protein overexpressed in cancer; KH domain-containing protein overexpressed in cancer; KOC; KOC1; VICKZ family member 3; VICKZ3

    For Research Use Only. Not for Use in Diagnostic Procedures.
    Cell Signaling Technology is a trademark of Cell Signaling Technology, Inc.
    All other trademarks are the property of their respective owners. Visit our Trademark Information page.