Render Target: STATIC
Render Timestamp:
5/27/2026, 8:32:52 PM EDT
5/28/2026, 12:32:52 AM UTC
Commit: 7ed46ecc04b401f23a28df741b5078df405d23e4
XML generation date: 2025-11-13 18:05:56.419
Product last modified at: 2026-03-20T08:04:28.005Z
Cell Signaling Technology Logo - Extra Large
1% for the planet logo
PDP - Template Name: Polyclonal Antibody
PDP - Template ID: *******59c6464

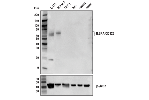
IL3RA/CD123 Antibody #57481

Filter:
  • WB

    Product Specifications

    REACTIVITY H
    SENSITIVITY Endogenous
    MW (kDa) 70
    SOURCE Rabbit
    Application Key:
    • WB-Western Blotting 
    Species Cross-Reactivity Key:
    • H-Human 

    Product Information

    Product Usage Information

    Application Dilution
    Western Blotting 1:1000

    Storage

    Supplied in 10 mM sodium HEPES (pH 7.5), 150 mM NaCl, 100 µg/ml BSA and 50% glycerol. Store at –20°C. Do not aliquot the antibody.

    实验步骤

    Specificity / Sensitivity

    IL3RA/CD123 Antibody recognizes endogenous levels of total IL3RA/CD123 protein.

    Species Reactivity:

    Human

    Source / Purification

    Polyclonal antibodies are produced by immunizing animals with a synthetic peptide corresponding to residues near the amino terminus of human IL3RA/CD123 protein. Antibodies are purified by peptide affinity chromatography.

    Background

    IL3RA/CD123 is the alpha subunit of an IL-3 receptor that also contains the common beta chain (βc) shared with receptors for other cytokines. IL3RA/CD123 alone binds to IL-3 with high specificity but low affinity and it does not transduce intracellular signaling, while βc alone does not bind to IL-3 appreciably. Together, IL3RA/CD123 and βc form the functional high-affinity receptor for IL-3. IL3RA/CD123 is mainly expressed on the hematopoietic progenitor cells, primarily the granulocytic and monocytic linages (1,2). IL3RA/CD123 is highly expressed on leukemic stem cells in the majority of AML (acute myeloid leukemia) patients and is correlated with poor prognosis. In addition, overexpression of IL3RA/CD123 has also been reported for other hematopoietic malignancies (3-5). It is considered as a valuable therapeutic target for these malignancies (6-8).

    Alternate Names

    CD123; CD123 antigen; hIL-3Ra; IL-3 receptor subunit alpha; IL-3R subunit alpha; IL-3R-alpha; IL-3RA; IL3R; IL3RA; IL3RAY; IL3RX; IL3RY; interleukin 3 receptor subunit alpha; interleukin 3 receptor, alpha (low affinity); Interleukin-3 receptor subunit alpha; MGC34174

    For Research Use Only. Not for Use in Diagnostic Procedures.
    Cell Signaling Technology is a trademark of Cell Signaling Technology, Inc.
    All other trademarks are the property of their respective owners. Visit our Trademark Information page.