Cell Signaling Technology Logo - Extra Large
Trial Size Available Flag
Recombinant Flag
Recombinant: Superior lot-to-lot consistency, continuous supply, and animal-free manufacturing.

IL-33 (E2T5L) Rabbit Monoclonal Antibody #88513

Filter:
  • WB

    Product Specifications

    REACTIVITY H
    SENSITIVITY Endogenous
    MW (kDa) 30
    Source/Isotype Rabbit IgG
    Application Key:
    • WB-Western Blotting 
    Species Cross-Reactivity Key:
    • H-Human 

    Product Information

    Product Usage Information

    Application Dilution
    Western Blotting 1:1000

    Storage

    Supplied in 10 mM sodium HEPES (pH 7.5), 150 mM NaCl, 100 µg/ml BSA, 50% glycerol and less than 0.02% sodium azide. Store at –20°C. Do not aliquot the antibody.

    实验步骤

    Specificity / Sensitivity

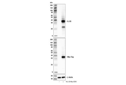
    IL-33 (E2T5L) Rabbit Monoclonal Antibody recognizes endogenous levels of total IL-33 protein.

    Species Reactivity:

    Human

    Source / Purification

    Monoclonal antibody is produced by immunizing animals with human IL-33 recombinant protein and reacts with an epitope surrounding Glu165.

    Background

    IL-33 (Interleukin-33, NF-HEV) is a nuclear cytokine that is part of the IL-1 family (1,2). Originally discovered as the ‘nuclear factor from high endothelial venules,’ it is widely expressed by endothelial cells as well as epithelial barrier tissues (1,5). IL-33 is involved in regulating type 2-associated innate immune responses (2,4). It is the ligand for ST2 which, along with IL-1RAcP, forms the IL-33R signaling complex (2,3). IL-33 functions as an alarmin upon cellular damage or stress, and is associated with allergic inflammation and asthma (5,6).

    Alternate Names

    C9orf26; DKFZp586H0523; DVS27; DVS27-related protein; IL-1F11; IL-33; IL1F11; IL33; interleukin 33; Interleukin-1 family member 11; Interleukin-33; Interleukin-33 (109-270); Interleukin-33 (95-270); Interleukin-33 (99-270); NF-HEV; NFEHEV; NFHEV; nuclear factor for high endothelial venules; Nuclear factor from high endothelial venules; RP11-575C20.2

    For Research Use Only. Not for Use in Diagnostic Procedures.
    Cell Signaling Technology is a trademark of Cell Signaling Technology, Inc.
    All other trademarks are the property of their respective owners. Visit our Trademark Information page.