Cell Signaling Technology Logo - Extra Large

IL-2R beta Antibody #4198

Filter:
  • WB

    Product Specifications

    REACTIVITY H
    SENSITIVITY Transfected Only
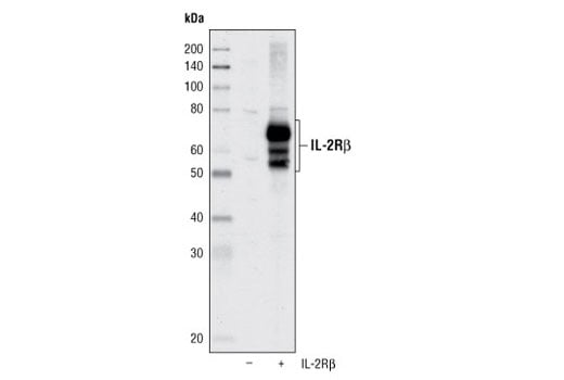
    MW (kDa) 60-70
    SOURCE Rabbit
    Application Key:
    • WB-Western Blotting 
    Species Cross-Reactivity Key:
    • H-Human 

    Product Information

    Product Usage Information

    Application Dilution
    Western Blotting 1:1000

    Storage

    Supplied in 10 mM sodium HEPES (pH 7.5), 150 mM NaCl, 100 µg/ml BSA and 50% glycerol. Store at –20°C. Do not aliquot the antibody.

    Protocol

    Specificity / Sensitivity

    IL-2R beta Antibody detects transfected levels of total IL-2Rβ protein.

    Species Reactivity:

    Human

    Source / Purification

    Polyclonal antibodies are produced by immunizing animals with a synthetic peptide corresponding to residues surrounding Thr420 of human IL-2Rβ. Antibodies are purified by protein A and peptide affinity chromatography.

    Background

    Interleukin-2 (IL-2) is a T cell stimulatory cytokine best known for inducing T cell proliferation and NK cell proliferation and activation (1,2). IL-2 also promotes peripheral development of regulatory T cells (Tregs) (3,4). Conversely, IL-2 is involved in the activation-induced cell death (AICD) that is observed post T cell expansion by increasing levels of Fas on CD4+ T cells (5). The effects of IL-2 are mediated through a trimeric receptor complex consisting of IL-2Rα, IL-2Rβ, and the common gamma chain, γc (1,2). IL-2Rα binds exclusively to IL-2 with low affinity and increases the binding affinity of the whole receptor complex including IL-2Rβ and γc subunits. IL-15 also binds to IL-2Rβ (1,2). γc is used by other cytokines, including IL-4, IL-7, IL-9, IL-15, and IL-21 (1,2). Binding of IL-2 initiates signaling cascades involving Jak1, Jak3, Stat5, and the PI3K/Akt pathways (1,2).

    Alternate Names

    CD122; CD122 antigen; high affinity IL-2 receptor beta subunit; High affinity IL-2 receptor subunit beta; IL-2 receptor subunit beta; IL-2R subunit beta; IL-2RB; IL15RB; IL2RB; IMD63; interleukin 15 receptor, beta; interleukin 2 receptor subunit beta; interleukin 2 receptor, beta; Interleukin-15 receptor subunit beta; Interleukin-2 receptor subunit beta; p70-75; p75

    For Research Use Only. Not for Use in Diagnostic Procedures.
    Cell Signaling Technology is a trademark of Cell Signaling Technology, Inc.
    All other trademarks are the property of their respective owners. Visit our Trademark Information page.