Cell Signaling Technology Logo - Extra Large
Trial Size Available Flag
Recombinant Flag
Recombinant: Superior lot-to-lot consistency, continuous supply, and animal-free manufacturing.

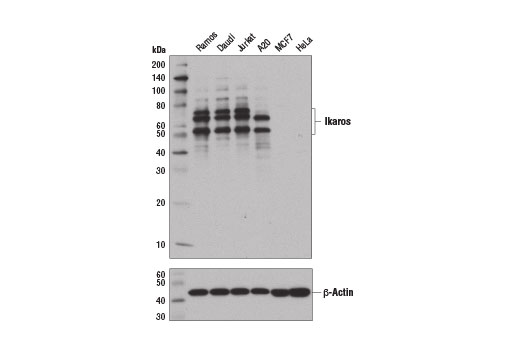
Ikaros (D6N9Y) Rabbit Monoclonal Antibody #14859

Filter:
  • WB
  • IHC
  • IF
  • F
  • ChIP
  • C&R

    Product Specifications

    REACTIVITY H M
    SENSITIVITY Endogenous
    MW (kDa) 50-70
    Source/Isotype Rabbit IgG
    Application Key:
    • WB-Western Blotting 
    • IHC-Immunohistochemistry 
    • IF-Immunofluorescence 
    • F-Flow Cytometry 
    • ChIP-Chromatin Immunoprecipitation 
    • C&R-CUT & RUN 
    Species Cross-Reactivity Key:
    • H-Human 
    • M-Mouse 

    Product Information

    Product Usage Information

    For optimal ChIP and ChIP-seq results, use 5 μl of antibody and 10 μg of chromatin (approximately 4 x 106 cells) per IP. This antibody has been validated using SimpleChIP® Enzymatic Chromatin IP Kits.

    The CUT&RUN dilution was determined using CUT&RUN Assay Kit #86652.
    Application Dilution
    Western Blotting 1:1000
    Simple Western™ 1:10 - 1:50
    Immunohistochemistry (Paraffin) 1:250 - 1:1000
    Immunofluorescence (Frozen) 1:50 - 1:100
    Immunofluorescence (Immunocytochemistry) 1:100
    Flow Cytometry (Fixed/Permeabilized) 1:50 - 1:200
    Chromatin IP 1:100
    Chromatin IP-seq 1:100
    CUT&RUN 1:100

    Storage

    Supplied in 10 mM sodium HEPES (pH 7.5), 150 mM NaCl, 100 µg/ml BSA, 50% glycerol and less than 0.02% sodium azide. Store at –20°C. Do not aliquot the antibody.

    For a carrier free (BSA and azide free) version of this product see product #30979.

    实验步骤

    Specificity / Sensitivity

    Ikaros (D6N9Y) Rabbit Monoclonal Antibody recognizes endogenous levels of total Ikaros protein.

    Species Reactivity:

    Human, Mouse

    Source / Purification

    Monoclonal antibody is produced by immunizing animals with a synthetic peptide corresponding to residues surrounding Pro329 of human Ikaros protein.

    Background

    The Ikaros family of zinc-finger DNA-binding proteins belongs to the Kruppel transcription factor superfamily. Ikaros proteins are characterized by the presence of an amino-terminal zinc finger DNA-binding domain and a carboxy-terminal dimerization domain. Members of the Ikaros family include Ikaros, Aiolos, Helios, EOS, and Pegasus (1). All family members can form homodimers and heterodimers with other members of the Ikaros family. Most also contain multiple isoforms that are generated as a result of differential splicing, with some isoforms behaving in a dominant negative manner upon dimerization (2).

    Ikaros (IKZF1, LYF1) is the prototypical Ikaros family zinc-finger transcription factor and is expressed abundantly in lymphoid cells. Genetic studies in mice demonstrate that Ikaros is a tumor suppressor that is important for the normal development of B, T, natural killer, and dendritic cells (3,4). Additional studies show that imbalanced expression of different Ikaros isoforms, as well as mutations in the corresponding IKAROS gene, can be associated with a number of hematologic malignancies in humans (2,5,6).

    Alternate Names

    CLL-associated antigen KW-6; CVID13; DNA-binding protein Ikaros; hIk-1; Hs.54452; IK1; IKAROS; Ikaros (zinc finger protein); IKAROS family zinc finger 1; IKAROS family zinc finger 1 (Ikaros); Ikaros family zinc finger protein 1; IKZF1; LyF-1; LYF1; Lymphoid transcription factor LyF-1; PPP1R92; PRO0758; protein phosphatase 1, regulatory subunit 92; zinc finger protein, subfamily 1A, 1 (Ikaros); ZNFN1A1

    For Research Use Only. Not for Use in Diagnostic Procedures.
    Cell Signaling Technology is a trademark of Cell Signaling Technology, Inc.
    Alexa Fluor is a registered trademark of Life Technologies Corporation.
    All other trademarks are the property of their respective owners. Visit our Trademark Information page.