Cell Signaling Technology Logo - Extra Large
Trial Size Available Flag

IFN-alpha (8C21) Mouse Monoclonal Antibody #3115

Filter:
  • WB

    Product Specifications

    REACTIVITY H
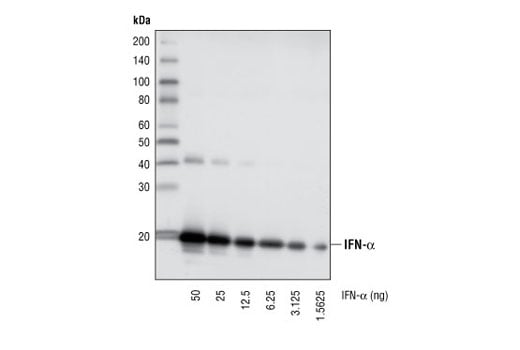
    SENSITIVITY Recombinant protein
    MW (kDa) 19
    Source/Isotype Mouse IgG1
    Application Key:
    • WB-Western Blotting 
    Species Cross-Reactivity Key:
    • H-Human 

    Product Information

    Product Usage Information

    Application Dilution
    Western Blotting 1:1000

    Storage

    Supplied in 10 mM sodium HEPES (pH 7.5), 150 mM NaCl, 100 µg/ml BSA, 50% glycerol and less than 0.02% sodium azide. Store at –20°C. Do not aliquot the antibody.

    Protocol

    Specificity / Sensitivity

    IFN-alpha (8C21) Mouse Monoclonal Antibody detects recombinant human interferon-α protein. This antibody does not cross-react with human interferon-β and -γ.

    Species Reactivity:

    Human

    Source / Purification

    Monoclonal antibody is produced by immunizing animals with purified natural human interferon-α proteins.

    Background

    Interferons (IFNs) appear both locally and systematically early after viral infection and participate in limiting the spread of infection. They also affect cell differentiation, growth, surface antigen expression, and immunoregulation (1). There are three naturally occurring interferons: α, β, and γ. IFN-α is derived from lymphoblastic tissue and has a number of therapeutic applications in the treatment of various human cancers and diseases of viral origin. Recombinant IFN-α from both natural and synthetic genes binds to a common cell surface receptor and induces antiviral activity in a variety of cell lines. When binding to discrete cell surface receptors on target cells, IFN-α induces rapid changes in Jak/Stat phosphorylation, which initiates the Jak/Stat signaling pathway (2). IFN-α signaling also involves production of DAG without an increased intracellular free calcium concentration and the subsequent activation of calcium-independent isoforms of PKC (β and ε) (3). All IFN-α signaling pathways lead to final alterations of gene expression, which mediate their pleiotropic biologic activities.

    Alternate Names

    IFL; IFN; IFN-ALPHA; IFN-alpha-1/13; IFN-alphaD; IFNA@; IFNA1; IFNA1/13; IFNA13; interferon alpha 1; interferon alpha 1b; Interferon alpha-1/13; Interferon alpha-D; interferon-alpha1; interferon, alpha 1; interferon, alpha 13; LeIF D

    For Research Use Only. Not for Use in Diagnostic Procedures.
    Cell Signaling Technology is a trademark of Cell Signaling Technology, Inc.
    All other trademarks are the property of their respective owners. Visit our Trademark Information page.