Cell Signaling Technology Logo - Extra Large
Trial Size Available Flag
Recombinant Flag
Recombinant: Superior lot-to-lot consistency, continuous supply, and animal-free manufacturing.

Hydroxy-HIF-1 alpha (Pro564) (D43B5) Rabbit Monoclonal Antibody #3434

Filter:
  • WB
  • IP
  • IF

    Product Specifications

    REACTIVITY H Mk
    SENSITIVITY Endogenous
    MW (kDa) 120
    Source/Isotype Rabbit IgG
    Application Key:
    • WB-Western Blotting 
    • IP-Immunoprecipitation 
    • IF-Immunofluorescence 
    Species Cross-Reactivity Key:
    • H-Human 
    • Mk-Monkey 

    Product Information

    Product Usage Information

    Application Dilution
    Western Blotting 1:1000
    Immunoprecipitation 1:50
    Immunofluorescence (Immunocytochemistry) 1:3200 - 1:6400

    Storage

    Supplied in 10 mM sodium HEPES (pH 7.5), 150 mM NaCl, 100 µg/ml BSA, 50% glycerol and less than 0.02% sodium azide. Store at –20°C. Do not aliquot the antibody.

    实验步骤

    Specificity / Sensitivity

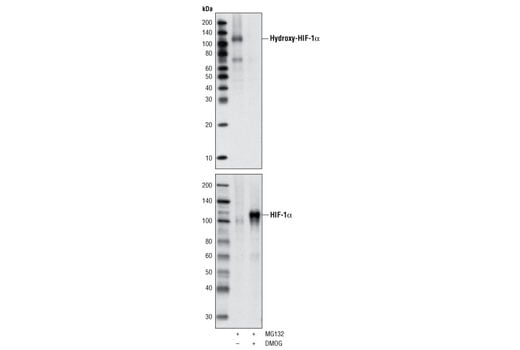
    Hydroxy-HIF-1 alpha (Pro564) (D43B5) Rabbit Monoclonal Antibody detects endogenous levels of HIF-1α only when hydroxylated at Pro564. This antibody may cross react with other overexpressed proline hydroxylated proteins.

    Species Reactivity:

    Human, Monkey

    The antigen sequence used to produce this antibody shares 100% sequence homology with the species listed here, but reactivity has not been tested or confirmed to work by CST. Use of this product with these species is not covered under our Product Performance Guarantee.

    Species predicted to react based on 100% sequence homology:

    Mouse, Rat, Chicken, Xenopus, Zebrafish, Pig

    Source / Purification

    Monoclonal antibody is produced by immunizing animals with a synthetic hydroxypeptide corresponding to residues surrounding Pro564 of human HIF-1α.

    Background

    Hypoxia-inducible factor 1 (HIF1) is a heterodimeric transcription factor that plays a critical role in the cellular response to hypoxia (1). The HIF1 complex consists of two subunits, HIF-1α and HIF-1β, which are basic helix-loop-helix proteins of the PAS (Per, ARNT, Sim) family (2). HIF1 regulates the transcription of a broad range of genes that facilitate responses to the hypoxic environment, including genes regulating angiogenesis, erythropoiesis, cell cycle, metabolism, and apoptosis. The widely expressed HIF-1α is typically degraded rapidly in normoxic cells by the ubiquitin/proteasomal pathway. Under normoxic conditions, HIF-1α is proline hydroxylated leading to a conformational change that promotes binding to the von Hippel-Lindau protein (VHL) E3 ligase complex; ubiquitination and proteasomal degradation follows (3,4). Both hypoxic conditions and chemical hydroxylase inhibitors (such as desferrioxamine and cobalt) inhibit HIF-1α degradation and lead to its stabilization. In addition, HIF-1α can be induced in an oxygen-independent manner by various cytokines through the PI3K-AKT-mTOR pathway (5-7).

    HIF-1β is also known as AhR nuclear translocator (ARNT) due to its ability to partner with the aryl hydrocarbon receptor (AhR) to form a heterodimeric transcription factor complex (8). Together with AhR, HIF-1β plays an important role in xenobiotic metabolism (8). In addition, a chromosomal translocation leading to a TEL-ARNT fusion protein is associated with acute myeloblastic leukemia (9). Studies also found that ARNT/HIF-1β expression levels decrease significantly in pancreatic islets from patients with type 2 diabetes, suggesting that HIF-1β plays an important role in pancreatic β-cell function (10).

    Two critical prolines in HIF-1α (Pro564 and Pro402) can be hydroxylated by proline hydroxylase under normoxia conditions. Hydroxylation of HIF-1α leads to its binding to VHL and ubiquitin mediated degradation (3,11,12).

    Alternate Names

    ARNT interacting protein; ARNT-interacting protein; Basic-helix-loop-helix-PAS protein MOP1; BHLHE78; Class E basic helix-loop-helix protein 78; HIF-1-alpha; HIF-1A; HIF-1alpha; HIF1; HIF1-alpha; HIF1A; hypoxia inducible factor 1 alpha subunit; hypoxia inducible factor 1 subunit alpha; hypoxia inducible factor 1, alpha subunit (basic helix-loop-helix transcription factor); hypoxia-inducible factor 1 alpha isoform I.3; Hypoxia-inducible factor 1-alpha; hypoxia-inducible factor 1, alpha subunit (basic helix-loop-helix transcription factor); hypoxia-inducible factor1alpha; Member of PAS protein 1; member of PAS superfamily 1; MOP1; PAS domain-containing protein 8; PASD8

    For Research Use Only. Not for Use in Diagnostic Procedures.
    Cell Signaling Technology is a trademark of Cell Signaling Technology, Inc.
    MultiMab is a registered trademark of Cell Signaling Technology, Inc.
    All other trademarks are the property of their respective owners. Visit our Trademark Information page.