Cell Signaling Technology Logo - Extra Large
Trial Size Available Flag
Recombinant Flag
Recombinant: Superior lot-to-lot consistency, continuous supply, and animal-free manufacturing.

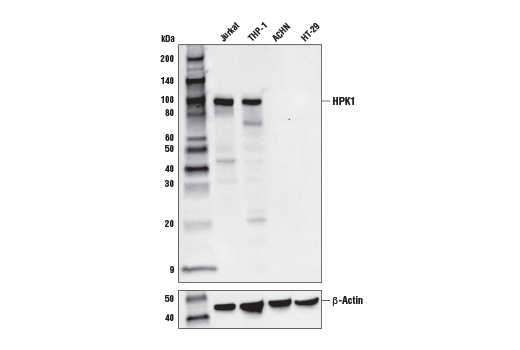
HPK1 (E1C3L) Rabbit Monoclonal Antibody #46510

Filter:
  • WB
  • IP
  • IHC
  • IF
  • F

    Product Specifications

    REACTIVITY H
    SENSITIVITY Endogenous
    MW (kDa) 97
    Source/Isotype Rabbit IgG
    Application Key:
    • WB-Western Blotting 
    • IP-Immunoprecipitation 
    • IHC-Immunohistochemistry 
    • IF-Immunofluorescence 
    • F-Flow Cytometry 
    Species Cross-Reactivity Key:
    • H-Human 

    Product Information

    Product Usage Information

    Application Dilution
    Western Blotting 1:1000
    Simple Western™ 1:10 - 1:50
    Immunoprecipitation 1:100
    IHC Leica Bond 1:100 - 1:400
    Immunohistochemistry (Paraffin) 1:50 - 1:200
    Immunofluorescence (Immunocytochemistry) 1:100
    Flow Cytometry (Fixed/Permeabilized) 1:50 - 1:200

    Storage

    Supplied in 10 mM sodium HEPES (pH 7.5), 150 mM NaCl, 100 µg/ml BSA, 50% glycerol and less than 0.02% sodium azide. Store at –20°C. Do not aliquot the antibody.

    For a carrier free (BSA and azide free) version of this product see product #29833.

    实验步骤

    Specificity / Sensitivity

    HPK1 (E1C3L) Rabbit Monoclonal Antibody recognizes endogenous levels of total HPK1 protein.

    Species Reactivity:

    Human

    Source / Purification

    Monoclonal antibody is produced by immunizing animals with a synthetic peptide corresponding to residues near the amino terminus of human HPK1 protein.

    Background

    Hematopoietic progenitor kinase 1 (HPK1) is a member of the germinal center kinases that is predominantly expressed in hematopoietic cells. HPK1 is a key component linking T or B cell receptors to SAPK/JNK and IkappaB kinase pathways in lymphocytes (1-3). Through its proline-rich motif, HPK1 associates with multiple SH3 domain-containing adaptor proteins, including GRB2, Nck, Crk, SLP-76, and BLNK. Phosphorylation of Tyr379 by Syk is necessary for HPK1 association with BLNK and SLP-76, as well as for HPK1 activity (4,5). Caspase cleavage of HPK1 also modulates the biological function of HPK1 (3,6,7).

    Alternate Names

    Hematopoietic progenitor kinase; hematopoietic progenitor kinase 1; HPK1; M4K1; MAP4K1; MAPK/ERK kinase kinase kinase 1; MEK kinase kinase 1; MEKKK 1; Mitogen-activated protein kinase kinase kinase kinase 1

    For Research Use Only. Not for Use in Diagnostic Procedures.
    Cell Signaling Technology is a trademark of Cell Signaling Technology, Inc.
    Alexa Fluor is a registered trademark of Life Technologies Corporation.
    All other trademarks are the property of their respective owners. Visit our Trademark Information page.