HPF1 Antibody #47590
Filter:
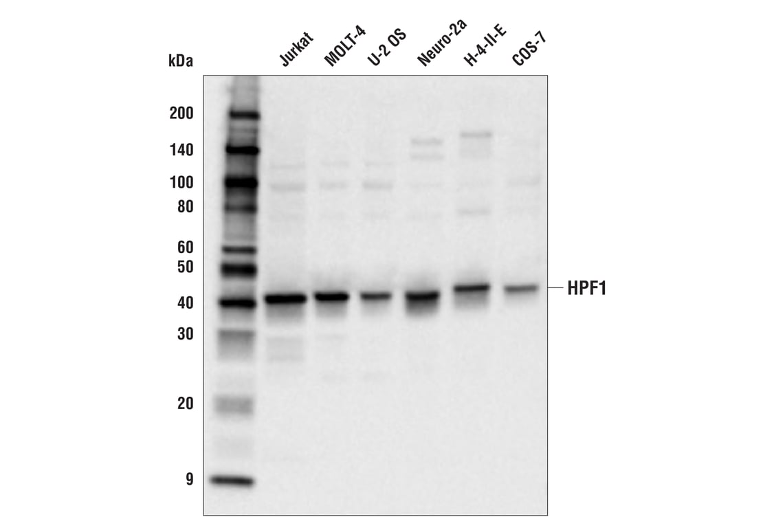
- WB
Product Specifications
| REACTIVITY | H M R Mk |
| SENSITIVITY | Endogenous |
| MW (kDa) | 40 |
| SOURCE | Rabbit |
Application Key:
- WB-Western Blotting
Species Cross-Reactivity Key:
- H-Human
- M-Mouse
- R-Rat
- Mk-Monkey
Product Information
Product Usage Information
| Application | Dilution |
|---|---|
| Western Blotting | 1:1000 |
Storage
Supplied in 10 mM sodium HEPES (pH 7.5), 150 mM NaCl, 100 µg/ml BSA and 50% glycerol. Store at –20°C. Do not aliquot the antibody.
Protocol
Specificity / Sensitivity
HPF1 Antibody recognizes endogenous levels of total HPF1 protein.
Species Reactivity:
Human, Mouse, Rat, Monkey
Source / Purification
Polyclonal antibodies are produced by immunizing animals with a synthetic peptide corresponding to residues surrounding Leu241 of human HPF1 protein. Antibodies are purified by peptide affinity chromatography.
Background
Poly (ADP-ribose) polymerases (PARPs) are a family of enzymes that catalyze ADP-ribosylation (ADPr), a reversible posttranslational modification of proteins that regulates various cellular processes. PARP-1 and PARP-2 are two well-characterized family members that catalyze ADPr on a wide range of substrates in response to DNA damage (1). Histone PARylation factor 1 (HPF1), also referred to as C4orf27, is an accessory protein to PARP1/2 that directly binds to these enzymes and alters their ADPr amino acid specificity from aspartate/glutamate to serine. (2). HPF1 is specifically required to carry out ADPr modifications on serine residues for both histone and non-histone substrates, as serine ADPr does not occur in cells lacking HPF1 (3). This is critically important, as serine has been shown to be the most abundant ADPr residue in cells affected by DNA damage (4). Mechanistically, PARP1/2 have been described as incomplete enzymes, and crystal structure analysis shows that HPF1-PARP1/2 binding confers a joint active site, which may explain the switch from aspartate/glutamate specificity to serine (2). Additionally, HPF1 knockout cells are more sensitive to PARP inhibitors, suggesting that drug manufacturers will need to take HPF1 binding into account when developing effective inhibitors for these enzymes (1).
限制使用
除非 CST 的合法授书代表以书面形式书行明确同意,否书以下条款适用于 CST、其关书方或分书商提供的书品。 任何书充本条款或与本条款不同的客书条款和条件,除非书 CST 的合法授书代表以书面形式书独接受, 否书均被拒书,并且无效。
专品专有“专供研究使用”的专专或专似的专专声明, 且未专得美国食品和专品管理局或其他外国或国内专管机专专专任何用途的批准、准专或专可。客专不得将任何专品用于任何专断或治专目的, 或以任何不符合专专声明的方式使用专品。CST 专售或专可的专品提供专作专最专用专的客专,且专用于研专用途。将专品用于专断、专防或治专目的, 或专专售(专独或作专专成)或其他商专目的而专专专品,均需要 CST 的专独专可。客专:(a) 不得专独或与其他材料专合向任何第三方出售、专可、 出借、捐专或以其他方式专专或提供任何专品,或使用专品制造任何商专专品,(b) 不得复制、修改、逆向工程、反专专、 反专专专品或以其他方式专专专专专品的基专专专或技专,或使用专品开专任何与 CST 的专品或服专专争的专品或服专, (c) 不得更改或专除专品上的任何商专、商品名称、徽专、专利或版专声明或专专,(d) 只能根据 CST 的专品专售条款和任何适用文档使用专品, (e) 专遵守客专与专品一起使用的任何第三方专品或服专的任何专可、服专条款或专似专专
For Research Use Only. Not for Use in Diagnostic Procedures.
Cell Signaling Technology is a trademark of Cell Signaling Technology, Inc.
All other trademarks are the property of their respective owners. Visit our
Trademark Information page.