Cell Signaling Technology Logo - Extra Large
Trial Size Available Flag
Recombinant Flag
Recombinant: Superior lot-to-lot consistency, continuous supply, and animal-free manufacturing.

HPCAL1 (F5R3N) Rabbit Monoclonal Antibody #25638

Filter:
  • WB
  • IP
  • IF

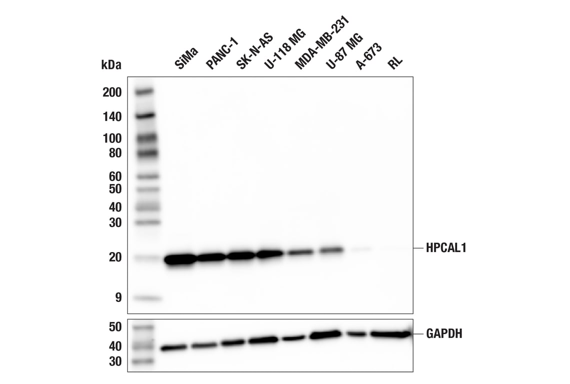
    Product Specifications

    REACTIVITY H
    SENSITIVITY Endogenous
    MW (kDa) 20
    Source/Isotype Rabbit IgG
    Application Key:
    • WB-Western Blotting 
    • IP-Immunoprecipitation 
    • IF-Immunofluorescence 
    Species Cross-Reactivity Key:
    • H-Human 

    Product Information

    Product Usage Information

    Application Dilution
    Western Blotting 1:1000
    Immunoprecipitation 1:50
    Immunofluorescence (Immunocytochemistry) 1:50 - 1:200

    Storage

    Supplied in 10 mM sodium HEPES (pH 7.5), 150 mM NaCl, 100 µg/mL BSA, 50% glycerol, and less than 0.02% sodium azide. Store at –20°C. Do not aliquot the antibody.

    实验步骤

    Specificity / Sensitivity

    HPCAL1 (F5R3N) Rabbit Monoclonal Antibody recognizes endogenous levels of total HPCAL1 protein. HPCAL1 (F5R3N) Rabbit Monoclonal Antibody lacks sensitivity in some low-expressing cell lines by immunofluorescence.

    Species Reactivity:

    Human

    Source / Purification

    Monoclonal antibody is produced by immunizing animals with recombinant protein specific to human HPCAL1 protein.

    Background

    Hippocalcin-like 1 (HPCAL1), also known as visinin-like protein 3 (VILIP-3), is a neuron-specific calcium-binding protein, primarily found in retina and brain, which is involved in calcium-dependent signal transduction and neuronal differentiation (1). Through its non-canonical calcium-independent role, HPCAL1 also functions as a specific autophagy receptor that drives ferroptosis by facilitating N-cadherin degradation, preserving membrane integrity, and promoting lipid peroxidation (2).

    HPCAL1 has been implicated in both tumor-suppressing and tumor-promoting roles depending on the cancer type. In hepatocellular carcinoma (HCC), HPCAL1 acts as a tumor suppressor by stabilizing cell cycle regulators, suppressing mTOR signaling, and inhibiting lipid metabolism (3). Loss or downregulation of HPCAL1 has also been observed in HCC patients (4). Conversely, studies have shown that HPCAL1 promotes tumor progression in glioblastoma via activation of the Wnt/β-catenin pathway (5) and in non-small cell lung carcinoma via activation of lactate dehydrogenase A (LDHA) (6). Elevated HPCAL1 expression is also correlated with poor prognosis in both glioblastoma (7) and cholangiocarcinoma (8), further supporting its potential as a novel proto-oncogene.

    Alternate Names

    BDR1; Calcium-binding protein BDR-1; hippocalcin like 1; hippocalcin-like 1; Hippocalcin-like protein 1; HLP2; HPCAL1; HPCL1; VILIP-3; Visinin-like protein 3

    For Research Use Only. Not for Use in Diagnostic Procedures.
    Cell Signaling Technology is a trademark of Cell Signaling Technology, Inc.
    All other trademarks are the property of their respective owners. Visit our Trademark Information page.