Render Target: STATIC
Render Timestamp:
5/20/2026, 8:44:51 PM EDT
5/21/2026, 12:44:51 AM UTC
Commit: 7ed46ecc04b401f23a28df741b5078df405d23e4
XML generation date: 2025-11-12 16:13:17.753
Product last modified at: 2026-03-20T08:05:46.102Z
Cell Signaling Technology Logo - Extra Large
1% for the planet logo
PDP - Template Name: Monoclonal Antibody
PDP - Template ID: *******c5e4b77
Recombinant Flag
Recombinant: Superior lot-to-lot consistency, continuous supply, and animal-free manufacturing.

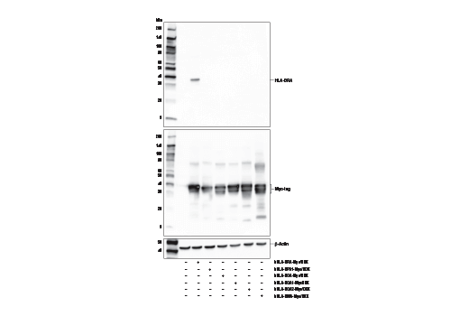
HLA-DRA (E9R2Q) Rabbit Monoclonal Antibody (BSA and Azide Free) #25328

Filter:
  • WB
  • IHC

    Product Specifications

    REACTIVITY H Mk
    SENSITIVITY Endogenous
    MW (kDa) 30-40
    Source/Isotype Rabbit IgG
    Application Key:
    • WB-Western Blotting 
    • IHC-Immunohistochemistry 
    Species Cross-Reactivity Key:
    • H-Human 
    • Mk-Monkey 

    Product Information

    Product Usage Information

    This product is the carrier free version of product #97971. All data were generated using the same antibody clone in the standard formulation which contains BSA and glycerol.

    This formulation is ideal for use with technologies requiring specialized or custom antibody labeling, including fluorophores, metals, lanthanides, and oligonucleotides. It is not recommended for ChIP, ChIP-seq, CUT&RUN, or CUT&Tag assays. If you require a carrier free formulation for chromatin profiling, please contact us. Optimal dilutions/concentrations should be determined by the end user.

    BSA and Azide Free antibodies are quality control tested by size exclusion chromatography (SEC) to determine antibody integrity.

    Formulation

    Supplied in 1X PBS (10 mM Na2HPO4, 3 mM KCl, 2 mM KH2PO4, and 140 mM NaCl (pH 7.8)). BSA and Azide Free.

    For standard formulation of this product see product #97971.

    Storage

    Store at -20°C. This product will freeze at -20°C so it is recommended to aliquot into single-use vials to avoid multiple freeze/thaw cycles. A slight precipitate may be present and can be dissolved by gently vortexing. This will not interfere with antibody performance.

    Specificity / Sensitivity

    HLA-DRA (E9R2Q) Rabbit Monoclonal Antibody (BSA and Azide Free) recognizes endogenous levels of total HLA-DRA protein.

    Species Reactivity:

    Human, Monkey

    Source / Purification

    Monoclonal antibody is produced by immunizing animals with a synthetic peptide corresponding to residues surrounding Val153 of human HLA-DRA protein.

    Background

    Major histocompatibility complex class II (MHC class II) molecules are heterodimeric, transmembrane glycoproteins expressed on the surface of antigen-presenting cells, such as macrophages, dendritic cells, and B cells. Expression can also be induced on other cell types through interferon-γ signaling (1). Prior to being displayed on the cell membrane, MHC class II molecules are loaded with exogenous peptide antigens approximately 15-24 amino acids in length that were derived from endocytosed extracellular proteins digested in the lysosome (2). Antigen-presentation through MHC class II is required for T cell activation during the immune response to extracellular pathogens (2). In humans, the MHC class II protein complex is encoded by the human leukocyte antigen gene complex (HLA). HLAs corresponding to MHC class II are HLA-DP, HLA-DM, HLA-DOA, HLA-DOB, HLA-DQ, and HLA-DR (3).

    Alternate Names

    DRA; histocompatibility antigen HLA-DR alpha; HLA class II histocompatibility antigen, DR alpha chain; HLA-DRA; HLA-DRA1; major histocompatibility complex, class II, DR alpha; MHC cell surface glycoprotein; MHC class II antigen DRA; MLRW

    For Research Use Only. Not for Use in Diagnostic Procedures.
    Cell Signaling Technology is a trademark of Cell Signaling Technology, Inc.
    SignalStain is a registered trademark of Cell Signaling Technology, Inc.
    All other trademarks are the property of their respective owners. Visit our Trademark Information page.