Cell Signaling Technology Logo - Extra Large
Trial Size Available Flag
Recombinant Flag
Recombinant: Superior lot-to-lot consistency, continuous supply, and animal-free manufacturing.

HER4/ErbB4 (111B2) Rabbit Monoclonal Antibody #4795

Filter:
  • WB
  • IP

    Product Specifications

    REACTIVITY H M
    SENSITIVITY Endogenous
    MW (kDa) 180
    Source/Isotype Rabbit IgG
    Application Key:
    • WB-Western Blotting 
    • IP-Immunoprecipitation 
    Species Cross-Reactivity Key:
    • H-Human 
    • M-Mouse 

    Product Information

    Product Usage Information

    Application Dilution
    Western Blotting 1:1000
    Immunoprecipitation 1:50

    Storage

    Supplied in 10 mM sodium HEPES (pH 7.5), 150 mM NaCl, 100 µg/ml BSA, 50% glycerol and less than 0.02% sodium azide. Store at –20°C. Do not aliquot the antibody.

    For a carrier free (BSA and azide free) version of this product see product #72663.

    实验步骤

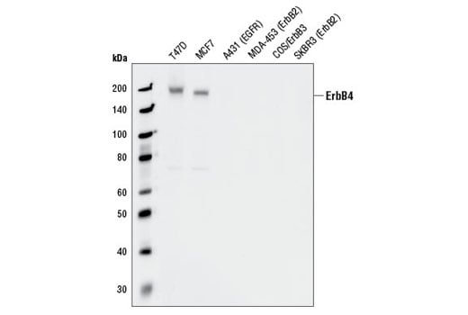
    Specificity / Sensitivity

    HER4/ErbB4 (111B2) Rabbit Monoclonal Antibody detects endogenous levels of ErbB4 protein. This antibody does not cross-react with other ErbB family members.

    Species Reactivity:

    Human, Mouse

    The antigen sequence used to produce this antibody shares 100% sequence homology with the species listed here, but reactivity has not been tested or confirmed to work by CST. Use of this product with these species is not covered under our Product Performance Guarantee.

    Species predicted to react based on 100% sequence homology:

    Rat

    Source / Purification

    Monoclonal antibody is produced by immunizing animals with a synthetic peptide corresponding to residues near the carboxy-terminus of human ErbB4.

    Background

    Research studies have implicated the HER/ErbB receptor tyrosine kinase family in normal development, cardiac function and cancer (1,2). HER4/ErbB4, like other family members, has four ectodomains, a single transmembrane domain and a cytoplasmic tail containing the active tyrosine kinase domain (3). By binding to neuregulins and/or EGF family ligands, ErbB4 forms either a homodimer or heterodimer with other ErbB family members, which results in receptor activation and signaling (3). ErbB4 is ubiquitously expressed with the highest expression occurring in brain and heart. The expression of ErbB4 in breast cancer, pediatric brain cancer and other types of carcinomas has been reported in research studies suggesting that ErbB4 expression is involved in both normal tissue development and carcinogenesis (3).

    Alternate Names

    4ICD; ALS19; avian erythroblastic leukemia viral (v-erb-b2) oncogene homolog 4; E4ICD; erb-b2 receptor tyrosine kinase 4; ERBB4; ERBB4 intracellular domain; HER4; human epidermal growth factor receptor 4; MGC138404; p180erbB4; Proto-oncogene-like protein c-ErbB-4; Receptor tyrosine-protein kinase erbB-4; s80HER4; Tyrosine kinase-type cell surface receptor HER4; v-erb-a erythroblastic leukemia viral oncogene homolog 4; v-erb-a erythroblastic leukemia viral oncogene homolog 4 (avian); v-erb-b2 avian erythroblastic leukemia viral oncogene homolog 4

    For Research Use Only. Not for Use in Diagnostic Procedures.
    Cell Signaling Technology is a trademark of Cell Signaling Technology, Inc.
    All other trademarks are the property of their respective owners. Visit our Trademark Information page.