Cell Signaling Technology Logo - Extra Large
Trial Size Available Flag
Recombinant Flag
Recombinant: Superior lot-to-lot consistency, continuous supply, and animal-free manufacturing.

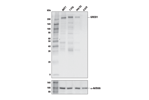
GREB1 (E8M3F) Rabbit Monoclonal Antibody #65171

Filter:
  • WB
  • IP

    Product Specifications

    REACTIVITY H
    SENSITIVITY Endogenous
    MW (kDa) 216
    Source/Isotype Rabbit IgG
    Application Key:
    • WB-Western Blotting 
    • IP-Immunoprecipitation 
    Species Cross-Reactivity Key:
    • H-Human 

    Product Information

    Product Usage Information

    Application Dilution
    Western Blotting 1:1000
    Immunoprecipitation 1:100

    Storage

    Supplied in 10 mM sodium HEPES (pH 7.5), 150 mM NaCl, 100 µg/ml BSA, 50% glycerol and less than 0.02% sodium azide. Store at –20°C. Do not aliquot the antibody.

    实验步骤

    Specificity / Sensitivity

    GREB1 (E8M3F) Rabbit Monoclonal Antibody recognizes endogenous levels of total GREB1 protein.

    Species Reactivity:

    Human

    Source / Purification

    Monoclonal antibody is produced by immunizing animals with a synthetic peptide corresponding to residues surrounding Pro242 of human GREB1 protein.

    Background

    GREB1 was first identified as a gene with a strong response to estrogen receptor (ER) activity (1,2). It has been shown to bind chromatin as an ER-coactivator where it stabilizes interactions with other ER-related cofactors (3). In tamoxifen resistance, Ezh2 represses expression of GREB1, which retargeted ER coregulators (4). In addition to having numerous implications in ER-based pathologies, GREB1 expression has also been found in prostate cancer, where it is regulated by androgen (5). Similarly to breast cancer, GREB1 seems to function as a tumor suppressor and its expression has been found to be correlated with a more favorable prognosis (6). However, GREB1 has also been shown to amplify androgen receptor (AR) output, resulting in enzalutamide resistance (7).

    Alternate Names

    gene regulated by estrogen in breast cancer; gene regulated by estrogen in breast cancer protein; Gene regulated in breast cancer 1 protein; GREB1; growth regulating estrogen receptor binding 1; growth regulation by estrogen in breast cancer 1; KIAA0575; Protein GREB1

    For Research Use Only. Not for Use in Diagnostic Procedures.
    Cell Signaling Technology is a trademark of Cell Signaling Technology, Inc.
    All other trademarks are the property of their respective owners. Visit our Trademark Information page.