Cell Signaling Technology Logo - Extra Large
Trial Size Available Flag
Recombinant Flag
Recombinant: Superior lot-to-lot consistency, continuous supply, and animal-free manufacturing.

GRB2 (D2M8M) Rabbit Monoclonal Antibody #36344

Filter:
  • WB

    Product Specifications

    REACTIVITY H M R
    SENSITIVITY Endogenous
    MW (kDa) 25
    Source/Isotype Rabbit IgG
    Application Key:
    • WB-Western Blotting 
    Species Cross-Reactivity Key:
    • H-Human 
    • M-Mouse 
    • R-Rat 

    Product Information

    Product Usage Information

    Application Dilution
    Western Blotting 1:1000

    Storage

    Supplied in 10 mM sodium HEPES (pH 7.5), 150 mM NaCl, 100 µg/ml BSA, 50% glycerol and less than 0.02% sodium azide. Store at –20°C. Do not aliquot the antibody.

    实验步骤

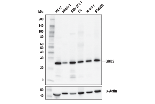
    Specificity / Sensitivity

    GRB2 (D2M8M) Rabbit Monoclonal Antibody recognizes endogenous levels of total GRB2 protein.

    Species Reactivity:

    Human, Mouse, Rat

    Source / Purification

    Monoclonal antibody is produced by immunizing animals with recombinant protein specific to human GRB2 protein.

    Background

    Growth factor receptor-binding protein 2 (GRB2) is an adaptor protein that is involved in RTK signal transduction. The SH2 domain of GRB2 binds to tyrosine phosphorylated proteins, such as EGFR, IRS-1, Shc, and Gab1 (1). The SH3 domain of GRB2 associates with SOS, which stimulates the Ras GTP-binding activity, leading to the activation of the MAP kinase and other signaling pathways. Phosphorylation of GRB2 at Tyr209 by Bcr-Abl and EGFR abolishes its association with SOS and negatively regulates downstream signaling (2).

    Alternate Names

    abundant SRC homology; Adapter protein GRB2; ASH; EGFRBP-GRB2; epidermal growth factor receptor-binding protein GRB2; epididymis secretory sperm binding protein; GRB2; Grb3-3; growth factor receptor bound protein 2; Growth factor receptor-bound protein 2; growth factor receptor-bound protein 3; HT027; MST084; MSTP084; NCKAP2; Protein Ash; SH2/SH3 adapter GRB2

    For Research Use Only. Not for Use in Diagnostic Procedures.
    Cell Signaling Technology is a trademark of Cell Signaling Technology, Inc.
    All other trademarks are the property of their respective owners. Visit our Trademark Information page.