Cell Signaling Technology Logo - Extra Large
Trial Size Available Flag
Recombinant Flag
Recombinant: Superior lot-to-lot consistency, continuous supply, and animal-free manufacturing.

Granzyme K (E9I3O) Rabbit Monoclonal Antibody #47465

Filter:
  • WB

    Product Specifications

    REACTIVITY H
    SENSITIVITY Endogenous
    MW (kDa) 17-27
    Source/Isotype Rabbit IgG
    Application Key:
    • WB-Western Blotting 
    Species Cross-Reactivity Key:
    • H-Human 

    Product Information

    Product Usage Information

    Application Dilution
    Western Blotting 1:1000

    Storage

    Supplied in 10 mM sodium HEPES (pH 7.5), 150 mM NaCl, 100 µg/ml BSA, 50% glycerol and less than 0.02% sodium azide. Store at –20°C. Do not aliquot the antibody.

    实验步骤

    Specificity / Sensitivity

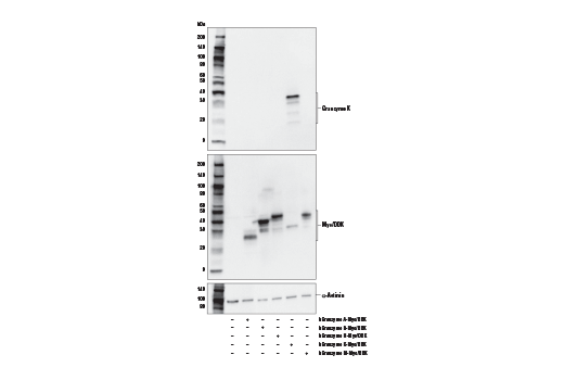
    Granzyme K (E9I3O) Rabbit Monoclonal Antibody recognizes endogenous levels of total Granzyme K protein. This antibody does not cross-react with human Granzyme A, B, H, or M proteins.

    Species Reactivity:

    Human

    Source / Purification

    Monoclonal antibody is produced by immunizing animals with a synthetic peptide corresponding to residues surrounding Asp196 of human Granzyme K protein.

    Background

    Granzymes are a family of serine proteases expressed by cytotoxic T lymphocytes and natural killer (NK) cells and are key components of immune responses to pathogens and transformed cells (1). Granzymes are synthesized as zymogens and are processed into mature enzymes by cleavage of a leader sequence. They are released by exocytosis in lysosome-like granules containing perforin, a membrane pore-forming protein. Granzyme B has the strongest apoptotic activity of all the granzymes as a result of its caspase-like ability to cleave substrates at aspartic acid residues thereby activating procaspases directly and cleaving downstream caspase substrates (2,3).
    Granzyme K has tryptase-like activity with a preference for cleaving its specific substrates after basic residues, arginine or lysine (4-7). Granzyme K is expressed by NK T cells, cytotoxic T cells, and NK cells (8,9). After perforin-mediated entry into a target cell, Granzyme K induces apoptosis via generation of reactive oxygen species, DNA damage, and BID-dependent mitochondrial damage (10-12).

    Alternate Names

    Fragmentin-3; GRAK; granzyme 3; Granzyme K; granzyme K (granzyme 3; granzyme K (serine protease, granzyme 3; Granzyme-3; GZMK; NK-Tryp-2; NK-tryptase-2; TRYP2; tryptase II; tryptase II)

    For Research Use Only. Not for Use in Diagnostic Procedures.
    Cell Signaling Technology is a trademark of Cell Signaling Technology, Inc.
    All other trademarks are the property of their respective owners. Visit our Trademark Information page.