Cell Signaling Technology Logo - Extra Large
Recombinant Flag
Recombinant: Superior lot-to-lot consistency, continuous supply, and animal-free manufacturing.

Gelsolin (D9W8Y) Rabbit Monoclonal Antibody (BSA and Azide Free) #57376

Filter:
  • WB
  • IHC

    Product Specifications

    REACTIVITY H M R Mk
    SENSITIVITY Endogenous
    MW (kDa) 83
    Source/Isotype Rabbit IgG
    Application Key:
    • WB-Western Blotting 
    • IHC-Immunohistochemistry 
    Species Cross-Reactivity Key:
    • H-Human 
    • M-Mouse 
    • R-Rat 
    • Mk-Monkey 

    Product Information

    Product Usage Information

    This product is the carrier free version of product #12953. All data were generated using the same antibody clone in the standard formulation which contains BSA and glycerol.

    This formulation is ideal for use with technologies requiring specialized or custom antibody labeling, including fluorophores, metals, lanthanides, and oligonucleotides. It is not recommended for ChIP, ChIP-seq, CUT&RUN or CUT&Tag assays. If you require a carrier free formulation for chromatin profiling, please contact us. Optimal dilutions/concentrations should be determined by the end user.

    BSA and Azide Free antibodies are quality control tested by size exclusion chromatography (SEC) to determine antibody integrity.

    Formulation

    Supplied in 1X PBS (10 mM Na2HPO4, 3 mM KCl, 2 mM KH2PO4, and 140 mM NaCl (pH 7.8)). BSA and Azide Free.

    For standard formulation of this product see product #12953.

    Storage

    Store at -20°C. This product will freeze at -20°C so it is recommended to aliquot into single-use vials to avoid multiple freeze/thaw cycles. A slight precipitate may be present and can be dissolved by gently vortexing. This will not interfere with antibody performance.

    Specificity / Sensitivity

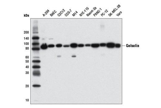
    Gelsolin (D9W8Y) Rabbit Monoclonal Antibody (BSA and Azide Free) recognizes endogenous levels of total gelsolin protein.

    Species Reactivity:

    Human, Mouse, Rat, Monkey

    Source / Purification

    Monoclonal antibody is produced by immunizing animals with a synthetic peptide corresponding to residues surrounding Val377 of human gelsolin protein.

    Background

    Gelsolin (actin-depolymerizing factor, ADF, AGEL, Brevin) is an 83 kDa protein that shares structural and functional homology to villin and adseverin/scinderin (1,2). Gelsolin plays an important role in actin filament assembly by capping and severing actin proteins in a Ca2+-dependent manner (3,4). Gelsolin is important for cellular events (e.g., membrane ruffling, chemotaxis, ciliogenesis) that require cytoskeletal remodeling (3). Accordingly, cells from gelsolin knockout mice exhibit motility defects, including a failure to ruffle in response to growth factor stimulation (5,6). In humans, defects in gelsolin have been linked to amyloidosis type 5 (AMYL5), a hereditary disease characterized by cranial neuropathy, which appears to result from gelsolin amyloid deposition (7).

    Alternate Names

    Actin-depolymerizing factor; ADF; AGEL; Brevin; DKFZp313L0718; epididymis secretory sperm binding protein; GELS; Gelsolin; gelsolin (amyloidosis, Finnish type); GSN

    For Research Use Only. Not for Use in Diagnostic Procedures.
    Cell Signaling Technology is a trademark of Cell Signaling Technology, Inc.
    All other trademarks are the property of their respective owners. Visit our Trademark Information page.