Cell Signaling Technology Logo - Extra Large
Trial Size Available Flag
Recombinant Flag
Recombinant: Superior lot-to-lot consistency, continuous supply, and animal-free manufacturing.

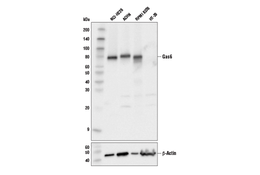
GAS6 (D3A3G) Rabbit Monoclonal Antibody #67202

Filter:
  • WB
  • IHC
  • IF

    Product Specifications

    REACTIVITY H
    SENSITIVITY Endogenous
    MW (kDa) 78
    Source/Isotype Rabbit IgG
    Application Key:
    • WB-Western Blotting 
    • IHC-Immunohistochemistry 
    • IF-Immunofluorescence 
    Species Cross-Reactivity Key:
    • H-Human 

    Product Information

    Product Usage Information

    Application Dilution
    Western Blotting 1:1000
    Immunohistochemistry (Paraffin) 1:50
    Immunofluorescence (Immunocytochemistry) 1:200 - 1:400

    Storage

    Supplied in 10 mM sodium HEPES (pH 7.5), 150 mM NaCl, 100 µg/ml BSA, 50% glycerol and less than 0.02% sodium azide. Store at –20°C. Do not aliquot the antibody.

    For a carrier free (BSA and azide free) version of this product see product #82314.

    Protocol

    Specificity / Sensitivity

    GAS6 (D3A3G) Rabbit Monoclonal Antibody recognizes endogenous levels of total GAS6 protein.

    Species Reactivity:

    Human

    Source / Purification

    Monoclonal antibody is produced by immunizing animals with recombinant protein specific to the amino terminus of human GAS6 protein.

    Background

    GAS6 (Growth Arrest Specific gene 6) is a vitamin K-dependent ligand of the TAM (Tyro3, Axl and MerTK) RTK family. It has an N-terminal Gla domain containing multiple Asp gamma-carboxylation sites, followed by four EGF repeats and two C-terminal LG domains. Vitamin K mediates multiple gamma-carboxylations of glutamic acid residues in the GAS6 Gla domain. These modifications are required for GAS6 to to activate its receptor (1,2). The two C-terminal LG (SHBG) domains form a V-shaped structure and provide a direct binding site for receptor interaction. Among the TAM family members, GAS6 has high affinity for Axl and low affinity for Tyro3 and MerTK. Ligand/receptor interaction activates multiple downstream signaling pathways such as PI3K/AKT, STAT/SOCS, PLC/FAK, and Grb2/RAS, and promotes cell survival, proliferation, migration and differentiation (3,4). GAS6 has been implicated in cancer development and immune-related disorders (inflammation and multiple sclerosis), and as such has been identified as a potential therapeutic target (3-6).

    Alternate Names

    AXL receptor tyrosine kinase ligand; AXL stimulatory factor; AXLLG; AXSF; DKFZp666G247; FLJ34709; GAS-6; GAS6; growth arrest specific 6; growth arrest-specific 6; Growth arrest-specific protein 6

    For Research Use Only. Not for Use in Diagnostic Procedures.
    Cell Signaling Technology is a trademark of Cell Signaling Technology, Inc.
    SignalStain is a registered trademark of Cell Signaling Technology, Inc.
    All other trademarks are the property of their respective owners. Visit our Trademark Information page.