Cell Signaling Technology Logo - Extra Large
Trial Size Available Flag

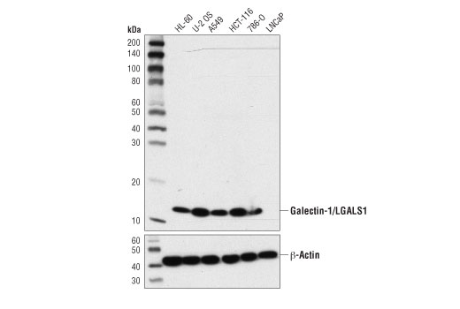
Galectin-1/LGALS1 (8A12) Mouse Monoclonal Antibody #40103

Filter:
  • WB
  • IHC

    Product Specifications

    REACTIVITY H
    SENSITIVITY Endogenous
    MW (kDa) 15
    Source/Isotype Mouse IgG1
    Application Key:
    • WB-Western Blotting 
    • IHC-Immunohistochemistry 
    Species Cross-Reactivity Key:
    • H-Human 

    Product Information

    Product Usage Information

    Application Dilution
    Western Blotting 1:1000
    Immunohistochemistry (Paraffin) 1:200

    Storage

    Supplied in 10 mM sodium HEPES (pH 7.5), 150 mM NaCl, 100 µg/ml BSA, 50% glycerol and less than 0.02% sodium azide. Store at –20°C. Do not aliquot the antibody.

    For a carrier free (BSA and azide free) version of this product see product #88084.

    Protocol

    Specificity / Sensitivity

    Galectin-1/LGALS1 (8A12) Mouse Monoclonal Antibody recognizes endogenous levels of total galectin-1 protein.

    Species Reactivity:

    Human

    Source / Purification

    Monoclonal antibody is produced by immunizing animals with recombinant protein specific to human galectin-1 protein.

    Background

    Galectins are a family of β-galactose binding proteins that are characterized by their affinity for poly-N-acetyllactosamine-enriched glycoconjugates and their carbohydrate-binding site (1,2). Members of the galectin family have been implicated in a variety of biological functions including cell adhesion (3), growth regulation (4), cytokine production (5), T cell apoptosis (6), and immune responses (7). Galectin-1/LGALS1 has been shown to be expressed in a wide range of tissues and cell types. The level and pattern of expression of galectin-1 have been shown to change during development (8). In addition to a role in developmental processes, galectin-1 has been shown to be involved in central immune tolerance and may function in tumorigenesis by modulating the immune response to the tumor (9,10). Research studies have shown that galectin-1 expression is increased in several human cancers, suggesting a correlation with metastatic potential (10).

    Alternate Names

    14 kDa laminin-binding protein; 14 kDa lectin; Beta-galactoside-binding lectin L-14-I; beta-galactoside-binding protein 14kDa; DKFZp686E23103; epididymis secretory sperm binding protein; Gal-1; GAL1; Galaptin; galectin 1; Galectin-1; GBP; HBL; HLBP14; HPL; Lactose-binding lectin 1; Lectin galactoside-binding soluble 1; lectin, galactoside-binding, soluble, 1; LEG1; LGALS1; Putative MAPK-activating protein PM12; S-Lac lectin 1

    For Research Use Only. Not for Use in Diagnostic Procedures.
    Cell Signaling Technology is a trademark of Cell Signaling Technology, Inc.
    SignalStain is a registered trademark of Cell Signaling Technology, Inc.
    All other trademarks are the property of their respective owners. Visit our Trademark Information page.